
Phoebe (Joes Phoebe behind the picket fence) und Mighty (A Happy Mighty vom Lockhauser Feld)
Ahnentafel des geplanten Wurfes
Erster Eintrag am 03.02.2019
Unser Baby, unsere Kleine soll Mama werden...
Das ist noch ganz ungewohnt!
Aber die Vorfreude ist groß :) Gestern überraschte sie uns mit ersten Anzeichen.
Heute war es klar, es läuft ;)
14 Tage früher, als von mir gedacht.
Das ist nicht ungewöhnlich, aber meistens mussten wir eher auf die Läufigkeit warten...
Nun kann man schon ausrechnen (wenn alles gut geht),
dass die Welpen ca. in der 17 KW geboren werden.
Die Abgabe der Kleinen wird dem entsprechend ca. in der 26. KW sein.
Aber genaues kann ich erst sagen, wenn die beiden Hübschen sich einig geworden sind.
Also noch keinen Urlaub nehmen :) :)
Soviel für diesen Tag, ich melde mich regelmäßig mit Neuigkeiten!!
04.02.2019 - 2. Tag
Der erste Untersuchungstermin für Phoebe ist am 11. Februar!
An der Uni Klinik Gießen wird dann alles durchgecheckt, was die perfekte Deckzeit betrifft.
Es wird ein Vaginalabstrich und -untersuchung vorgenommen,
und Blut für den aktuellen Progesteron Wert abgenommen.
Das wird für Phoebe ganz schön aufregend :O!!
...und dann wird es eine spannende Woche für alle :)
09.02.2019 - 7. Tag
Heute Vormittag habe ich Phoebe für ihr Rendezvous hübsch gemacht :) Bild folgt... hab's vergessen!
Und Kerstin schrieb mir abends, dass sie Mighty heute getrimmt hat ;)
Die Vorbereitungen laufen und die Aufregung steigt!!
Nach einigem Überlegen in den letzten Tagen (..und Austausch mit superlieben Besuch ;)
habe ich mich heute entschieden, dass dieser Wurf
Kindly .... behind the picket fence
heißen wird :)
11.02.2019 - 9. Tag
Heute, am 9. Tag der Läufigkeit waren wir in Gießen zur ersten Deckzeitbestimmung.
Phoebe, so lieb wie immer ;), wurde erst mal mit Leckerlis für die freundliche Begrüßung belohnt!
Als Erstes wurde ihr Blut für den Progesterontest abgenommen.
Die Auswertung übernimmt ein Spezialgerät, das dauert ca. eine Stunde..
Dann wurde ein Abstich von der Vaginalschleimhaut genommen:

Ich durfte ein Bild vom Monitor machen :)
Da war ich schon überrascht, denn deutlich ist eine Clusterbildung zu sehen und einige Zellen waren
schon ohne Kern, aber auch noch einige mit.
Aber schon ganz schön weit für den 9. Tag!!! Huiii ;)
Schön sauber war der Abstich, das ist gut, denn sie wird so oft von Mama und Oma geputzt,
dass ich mir manchmal Sorgen mache.. wegen Bakterien und so.. ;)
Direkt nach dem Abstrich wurde mit einem Spekulum in die Vagina reingeschaut.
Auch die Schleimhaut sah schon gut aus (kurz vor dem Eisprung wird sie faltiger).
Der Weg war super frei, man konnte sogar den Muttermund sehen.
Und Phoebe hat auch diese Untersuchung wunderbar gemeistert... ganz entspannt und locker :)
Vorne gab es lecker Wurststückchen, das war klasse!!!
Wieder zu Hause, konnte ich telefonisch den Wert abfragen..
uiuiui.. er liegt bei 3,5!
Das heißt, die Eisprüng stehen unmittelbar bevor!
Phoebe drückt auf die Tube ;)
Ich bespreche mich gleich mit Kerstin, wie wir weiter vorgehen!
12.02.2019 - 10. Tag
Wie gestern Abend noch beschlossen,
fuhren mein Mann, Phoebe und ich nachmittags nach Gießen und ein sehr netter Arzt
hat Phoebe Blut abgenommen, um den aktuellen Progesteronwert zu ermitteln.
Noch keine 10 Minuten später, saßen wir schon wieder im Auto Richtung Heimat :)
Sehr lieb, kam diesmal ein Anruf aus Gießen, der Wert ist da:
4,1.. es geht voran!
Und wieder haben Kerstin und ich am Abend beratschlagt,
wie wir weiter vorgehen.
Da wir ja zwei junge "Anfänger" ;) am Start haben, beschlossen wir folgendes:
Da das erste Date, nach unserer beider Erfahrung, idealer Weise stattfindet, wenn der Wert über 9 liegt,
fahre ich am Donnerstag nochmal zum Blutabnehmen.
Wir denken zwar, dass es vielleicht am Donnerstagabend schon so weit ist,
aber wenn wir den Wert haben, brauchen wir nicht hin und her spekulieren.
Also wird morgen geruht. Mein Enkelchen Emmi ist morgen den ganzen Tag bei mir, das passt gut :)

Die drei Mädels nach dem Spaziergang auf der Treppe ;)
Sie warten, wann ich endlich aus Schuhen, Jacke und Mütze bin, um ihnen dann etwas Leckeres zu kredenzen :)
Sie sind nun alle richtig läufig! Dementsprechend aufgeheizt ist die Stimmung.
Joe würde, so glaube ich, sehr gerne mit zu Mighty fahren :) :)
14.02.2019 - 12. Tag
Ich wollte euch zwischendurch schon mal schreiben,
doch die Ereignisse heute, haben sich förmlich überstürzt :O :)
..von Beginn an..
Um 14.00 Uhr war ich mit Phoebe in Gießen angereist, es wurde Blut abgenommen und schon gesagt,
dass es länger dauern könnte. Die jungen Ärzte hatten morgens die letze Prüfung geschafft und waren sehr fröhlich ;)
Unser lieber, auch noch junger Doktor war ganz alleine..
Also sind wir wieder nach Hause gekutscht, und ich wollte euch gerade dies alles schreiben.
Da klingelt mein Handy, der nette Doktor war dran und sagte:
"Bitte sofort ins Auto und zum Rüden fahren, der Wert liegt bei 15!!!!"
Normalerweise probiert man den ersten Deckakt, wenn der Wert über 9 ist.
Dann war auf jeden Fall der Eisprung und die Eierchen wandern quasi den Samen entgegen.
Das war der Knaller, so einen Sprung von 4,1 auf 15 in nur 48 Stunden, haben Kerstin und ich noch nicht erlebt.
Also, schnell Kerstin angerufen und losgefahren.
♥♥♥
Es folgte ein Valentinstagstraum :)
Die Zwei begrüßten sich begeistert und schmusten, Mighty war soo liebevoll!!
Wir haben uns dazu gesetzt und schon waren sie sich einig.
Phoebe hielt Mighty zwanzig Minuten lang fest.
Sie bekam dafür immer wieder die Öhrchen geleckt.
Es war ganz wunderbar!
Jaaa!! Jetzt geht es los, die Geschichte unseres K-Wurfes :)
Kerstin und ich freuen uns soo sehr!
Phoebe ist so glücklich und entspannt ♥
Sie liegt vor mir und streckt alle Beine von sich :)
Ihr Lieben, morgen Abend geben wir den beiden Hübschen nochmal die Chance für ein Date.
Ich werde euch berichten und vielleicht schaffen wir dann auch ein Foto :)
Ich freue mich soo sehr :) :)
15.02.2019 - 13. Tag der Läufigkeit - 1. Tag der Trächtigkeit (..wenn alles gut geht!)
Ohne viele Worte:

Das Vorspiel war sehr, sehr kurz ;)

♥ Sie lieben sich einfach! :) ♥

Damit sie sich während des "Hängens" nicht weh tun, haben wir uns dazu gesetzt und mitgekuschelt :)

Heute hielt Phoebe Mighty gut 10 Minuten fest.
Sie sind ein so harmonisches und liebevolles Pärchen!
Liebe Kerstin, lieber Stefan..
..es war einfach schön bei euch und euren Jungs(Sando hat im Haus mitgefiebert!)!!
Vielen Dank für alles♥!!!
...
Was geschieht nun in Phoebe??
Mightys Spermien befinden sich auf dem Weg zu Phoebes Eileitern.
Während der Läufigkeit reifen an den Eierstöcken in sogenannten Follikeln die Eizellen heran und
werden schließlich aus den Follikeln freigesetzt (= Eisprung oder Ovulation..das war wahrscheinlich am Mittwoch.) und in die Eileiter "abgegeben".
Die Eileiter stellen die Verbindung zwischen den Eierstöcken und der Gebärmutter dar.
Während ihrer Wanderung durch den Eileiter erlangen die Eizellen ihre Befruchtungsfähigkeit.
Dort treffen dann Mightys Spermien auf hoffentlich viele kleine, wartende Phoebes :) :)
...
Ob Phoebe wirklich tragend ist, werden wir mittels Ultraschall in ca. 25 Tagen sehen.
Bis dahin wird spekuliert :):)
Oh sie schläft so viel, ihr ist übel... sie schont sich!!!
Doch das alles machen scheinträchtige Hündinnen ebenso!!
Tragende Hündinnen haben oft nach ca. 20 Tagen einen leichten, glasigen Ausfluss.
Der kommt bei scheinträchtigen Hündinnen nicht vor. Ich bin SEHR gespannt!
Wir müssen uns einfach gedulden!
Um uns zu "beschäftigen" startet heute das Bauchmessen!
Phoebes Startmaße betragen 57 cm in der Taille und 63 cm hinter dem Rippenbogen :)
Ein echt schlankes Mädel!!!
Mal schauen wie es weitergeht... :))..Juhuuu ;)
16.02.2019 - 14. Tag der Läufigkeit - 2. Tag der Trächtigkeit
Da Phoebe es ja soo eilig hatte, werden die Kindlys schon um den 19./20. April geboren.
An Ostern liegen sie bestimmt frisch in unserem Nestchen :)
Ich hoffe so sehr, dass es geklappt hat und, dass alles gut geht!!!
Die Abgabe der Wollbällchen wird ca. ab dem 15./16. Juni sein.
Bitte richtet euch darauf ein!
...
Die ersten, flotten kleinen Mightys erreichen heute bestimmt schon Phoebes Eileiter..
..dafür mussten sie sich aufteilen, einige nach rechts, die anderen nach links.
So entscheidet sich schon mal, welcher Welpe später in welchem Gebärmutterhorn heranwächst.
Morgen wird es dann spannend.. ich werde euch berichten :)
17.02.2019 - 15. Tag der Läufigkeit - 3. Tag der Trächtigkeit
Was für ein Wetter draußen! Herrlich!
Die Natur bereitet alles für das kommende, neue Leben vor.
Seit einigen Tagen fliegen die "Schneegänse" über unser Haus, immer wieder ganz wunderbar!
Die Vögel im Garten verteidigen schon lauthals ihre angestammten Brutplätze :)
...
Das Wunder neuen Lebens, ganz still und heimlich in Phoebes Bauch? Hoffentlich!!!
In Phoebes Eileitern fand in den letzten Stunden das Zusammentreffen der "kleinen Mightys"
(..um die 800 000 000!!! Uiuiui :O! Es schaffen aber nur wenige den Weg bis in den Eileiter!)
und der "kleinen Phoebes" (im Durchschnitt bei einem Goldi 7-8) statt.
Die Befruchtung ist voll im Gange!
Phoebe wollte eben auf meinen Schoß! Megakuscheln war angesagt.
Das ist ein gutes Zeichen :)
18.02.2019 - 16. Tag der Läufigkeit - 4. Tag der Trächtigkeit
Da Lilli und Joe sich nach Phoebes Läufigkeit gerichtet haben, sind sie nun auch in der "Standhitze".
Das heißt, sie haben die Koffer gepackt und fragen mich mit den Augen:
"Und wann fahren wir zu einem netten Mann??"
Die beiden tun mir richtig leid :(
Doch was werden sie eine Freude mit Phoebes Babys haben!!
Wer weiß, vielleicht dürfen sie die Kleinen mitversorgen... wenn Phoebe sie lässt :)!
...
Die kleinen Kindlys entwickeln sich!

Am 4. Tag sind sie schon (oder eher "erst" ;) Zweizeller. Sie befinden sich immer noch im Eileiter.
Beim Hund laufen viele Dinge anders ab, als bei den meisten Haussäugetieren.
Deswegen ist es auch gar nicht so einfach, den richtigen Deckzeitpunkt zu finden.
Die Spannung ist deswegen immer riesig ;)
Um den 10. März werde ich den ersten Ultraschall machen!
20.02.2019 - 18. Tag der Läufigkeit - 6. Tag der Trächtigkeit
Gestern war ich mit Oma Lilli bei einer Tierphysiotherapeutin.
Sie hat sich so versprungen und zu wild mit Phoebe und Joe gespielt, dass es dringend nötig war.
Was wird sie heute Muskelkater haben :O
Phoebe hatte gestern eine leichte Blasenentzündung, eine Trinkkur hat aber sofort geholfen.
Viel Wasser mit etwas Buttermilch...mhhh lecker!!
Heute machen wir das nochmal, um die Blase richtig zu spülen.
Wir wollen ja jetzt keine Medikamente verabreichen!!!
...
Es geht in Phoebe nur langsam vorwärts, was verwundert,
denn bald wird die Entwicklung unserer Kindlys rasant verlaufen!
Heute sind aus den Zweizellern Achtzeller geworden :)
Man nennt sie in diesen ersten Tagen "Zygoten"
Noch immer befinden sie sich im Eileiter.
21.02.2019 - 19. Tag der Läufigkeit - 7. Tag der Trächtigkeit
Phoebe geht es wieder richtig gut! :)
Was bin ich froh ;)
Die Drei spielen momentan sehr viel im Garten, es ist aber auch herrlich draußen!
Leider muss ich Lillioma dann ins Haus holen, damit sie sich ein wenig schont.
...
Die kleinen Kindlys drücken jetzt auf die Tube ;)

Aus den Achtzellern von gestern, sind heute schon Vielzeller geworden.
Man nennt sie nun Morulae.
Ihre Zeit im Eileiter geht langsam zu Ende.
Morgen wird es dann richtig spannend :)
Ich hoffe soo sehr, dass alles gut geht... uhhh es ist schon immer wieder aufregend..
..und man wird mit dem Alter nicht gelassener, eher das Gegenteil! ;)
22.02.2019 - 20. Tag der Läufigkeit - 8. Tag der Trächtigkeit
Heute findet eine Wandlung in unseren Kindlys statt.
Gestern noch ein Morulae, entwickelt sich heute jedes zu einem "Keimbläschen".
Sie werden nun Blastozysten genannt.

Der Name kommt von dem Hohlraum(Zyste), der sich im Inneren bildet.
Umgeben wird er vom Embryo und Trophoblasten(daraus wird später der Mutterkuchen(Plazenta))
Und die Reise beginnt:
Unter anderem, bringt die glatte Muskulatur der Eileiter die Kindlys durch Kontraktion auf den Weg
in die Gebärmutter! Wie es da aussieht, erzähle ich morgen ;)
23.02.2019 - 21. Tag der Läufigkeit - 9. Tag der Trächtigkeit
Phoebes Läufigkeit ist heute zu Ende gegangen.
Die Blutung war schon seit der Hochzeit ;) vorbei.
Das ist bei meinen Hündinnen bisher immer so gewesen, wenn sie ein Date hatten.
Ein gutes Zeichen :)
Sie schläft sehr viel und ist sooo verschmust. Alles prima ;)
Unsere Kleinen sind nun in der Gebärmutter.

Bei der Hündin sieht die Gebärmutter fast aus wie eine Stimmgabel.
Unten die Scheide und ausgehend vom Gebärmutterkörper, sehen wir zwei Gebärmutterhörner.
Oben die Eierstöcke mit den Eileitern.
In den Hörnern sind unsere Kindlys frei beweglich unterwegs :)
In den nächsten Tagen kann es sogar sein, dass sie von einem in das andere Horn wandern.
24.02.2019 - 10. Tag der Trächtigkeit
Phoebe verbringt wirklich viel Zeit mit Kuscheln und Schmusen!
Sie folgt mir überall hin. Dieser Schatz! :)
Unsere Kindlys sehen heute aus wie eine Zitrone.
Noch immer sind sie unterwegs und winzig, ca. 0,6 mm klein!!

An dem kleinen "Mal" beginnt die Neurulation, der Anfang der Ausbildung des Nervensystems.
Die Grundlage für die Entwicklung aller Organe.
Und hier ein kleiner Vorgeschmack auf ein solches Endergebnis:

Happy Sam behind the picket fence, 4 Tage alt :)
25.02.2019 - 11. Tag der Trächtigkeit
In den nächsten Tagen entwickeln sich unsere winzigen Kügelchen weiter.
Wichtige Grundlagen werden gelegt.
Das kleine Mal, oben auf dem Foto von gestern, ist die Neuralrinne.
Dort entstehen, in den nächsten Tagen, als erstes die drei "Keimblätter"
(Ektoderm, Entoderm und Mesoderm).
Das dauert aber noch ca. 5-6 Tage.
Also abwarten..
Noch ist nichts zu spüren, außer, dass Phoebe momentan sehr sensibel auf alles reagiert.
Sie ist oft ganz in sich gekehrt.

Abends, wenn ich meine Füße hochgelegt habe, kommt sie und klettert ganz langsam auf mich..
..um dann fest einzuschlafen :)
26.02.2019 - 12. Tag der Trächtigkeit
Wir trauern um unser Omchen Lilli....
Gestern Vormittag war noch alles gut...
01.03.2019 - 15. Tag der Trächtigkeit
Es fällt mir schwer einfach weiter zu schreiben..
Aber, auch wenn Lilli ihre Urenkelchen nicht mehr erleben kann,
so wird sie doch in ihnen zu finden sein.
Beim Durchsehen der alten Fotos, ist mir zum ersten Mal richtig aufgefallen,
wie ähnlich Phoebe ihrer Oma doch sieht...


Lilli und Phoebe
...einfach wunderbar ♥
Joe und Phoebe sind noch verwirrt, gehen immer wieder zu dem Platz,
an dem sie von Lilli Abschied genommen haben.
Sie sind immer in meiner Nähe und schauen mich groß an..
...
Phoebes Zitzen sind größer geworden und ihr Bauchumfang hat 1 cm zugelegt.
Aber das muss alles noch nichts heißen..
Nun ist wirklich schon der 15. Tag, die dritte Woche beginnt.
Wenn da kleine Welpis sind, dann hat sich in den vergangenen Tagen sehr viel getan.
Ich hatte leider keine Kraft davon zu erzählen.
Heute beginnt die Implantation.
Das heißt, die Verbindung zwischen Embryo und Mutter steht kurz bevor.
Es entstehen Ampullen/Fruchtblasen.
Vielleicht kann ich mich morgen wieder besser darauf konzentrieren!
03.03.2019 - 17. Tag der Trächtigkeit
Noch eine Woche bis zum Ultraschall :)
Phoebes Bäuchlein messen, gerade eben, hat mich sehr überrascht...
Angefangen hatten wir ja mit
57 cm in der Taille und 63 cm hinter dem Rippenbogen!
Kaum zu glauben, aktuell sind es:
61 cm in der Taille und 65 cm hinter dem Rippenbogen :O
Wenn man bedenkt, dass die Kindlys heute erst 2mm groß sind, ist das ganz schön viel!!
Also hoffen wir mal ;)
Die Implantation ist in vollem Gange!
Eine Voraussetzung dafür war, dass die Kleinen ca. am13.-15. Tag "aus ihrer Haut schlüpfen" mussten:

Der 17. Tag ist von entscheidenter Bedeutung! So sehen sie seit ca. gestern aus:

Oben die zwei "Lippen" sind die Gehirnanlage.
Die kleinen Strichelchen die Somiten, dazwichen die Neuralrinne.
Heute beginnt die Entwicklung der "Keimblätter" aus denen sich die Organanlagen entwickeln.
Aus diesen Keimblättern entwickeln sich die Organanlagen.
Heute z.B., aus dem Ektoderm das Neuralrohr, das ist der Vorläufer von
Gehirn und Rückenmark. Aus dem Mesoderm haben sich die Somiten (Urwirbel) gebildet.
Noch sind die Kleinen nicht mit Phoebe verbunden, die Implantation dauert noch ca. bis zum 20. Tag.
Nachdem sie fest verbunden sind, tritt bei der tragenden Hündin oft ein glasiger Ausfluss auf,
den wirklich nur tragende Hündinnen haben. Scheinträchtige Hündinnen haben alle anderen
Anzeichen genauso wie die tragenden Hündinnen, die Zitzen schwellen an, das Gewicht steigt, sie schlafen
viel und schonen sich - doch der Ausfluss ist ein sicheres Zeichen für eine Trächtigkeit.
Es ist also weiter alles offen ;)
Aber mal ehrlich: Ich musste Phoebe heute Morgen wecken ;).. sonst steht sie schon wedelnd da,
wenn ich aufgestanden bin. Wenn das nicht mal ein gutes Zeichen ist :)
04.03.2019 - 18. Tag der Trächtigkeit
Huiii, es stürmt ganz schön heftig! Mit Regen, Blitz und Donner!

Gestern noch im Wald, werden wir heute schön auf den Wiesen bleiben!
...
Heute wird die Einnistung (Nidation) unserer Kleinen zum Abschluss kommen.
Eine Verbindung, die erst an punktförmigen Kontaktstellen begonnen hat,
ist heute so stark, dass eine Trennung ohne Schädigungen nicht mehr möglich wäre.
Hoffen wir, dass sich viele kleine Kindlys an Phoebe klammern ;)
05.03.2019 - 19. Tag der Trächtigkeit
Heute waren wir wieder im Wald, es war wunderschön!
In meinen Fachbüchern zur Trächtigkeit steht, dass in diesen Tagen die Hündinnen oft träge,
futtermäkelig und etwas unsicher sind... mhhh..

Davon war nichts zu spüren.. ein Hase wurde aufgestöbert, alles verschlungen, was angeboten wurde
und viel gespielt. Aber auch fest geschlafen und viel gekuschelt...
Klatschnass sind wir geworden und als es nach Hause ging schien uns wieder die Sonne :)

Unsere Kindlys sind nun ca. 4 mm groß, also immer noch winzig!
Sie sehen aus wie klitzekleine Bohnen, etwas gebogen.
Um jedes der Kleinen bildet sich nun eine eigene Plazenta.
Sie liegt gürtelförmig wie ein Ring um die Keimblase.
Auch nach so vielen Würfen, ist zu diesem Zeitpunkt immer dieses gleiche Gefühl in meinem Bauch:
Unglaubliche Vorfreude auf den Ultraschall und eine unterschwellige Angst, dass es nicht geklappt hat.
Das muss man aushalten :) ..und hoffen!
06.03.2019 - 20. Tag der Trächtigkeit
Dieser Tag ist so wunderbar :)
Die Entwicklung unserer Kleinen wird ab jetzt ganz rasant vonstatten gehen!
In diesem Stadium werden sie Schwanzknospenembryos genannt und sehen ca. so aus:
![]()
...mhhh, so viel zum Thema, kann man schon was sehen? ;)
Beim Kuscheln versuche ich ständig vorsichtig zu fühlen, ober man Veränderungen merkt...
Nein, nicht wirklich!
Aber hier die Vergrößerung:

Man kann die Augenbläschen erkennen, im dicken Mittelteil entsteht das Herz.
Ist das nicht ein Wunder? Plötzlich entsteht da ein Herz, es wird ca. morgen zu Schlagen beginnen!
Unser Schöpfer hat das alles wunderbar geplant!
Auch alle anderen Organe beginnen sich nun zu entwickeln.
Kerstin und ich, und ihr alle sicher auch ;), können das Wochenende kaum erwarten!
07.03.2019 - 21. Tag der Trächtigkeit
Obwohl so klein, können sich die Embryos bereits spontan bewegen.
Auch Hirnströme kann man in diesem Stadium schon messen.
Die Plazenta befindet sich weiter im Aufbau.
Jedes unserer Kleinen hat seinen eigenen Blutkreislauf!
Auch eine eigene Blutgruppe, da der Austausch der Nährstoffe und
der Abtransport der Abfallproukte des Welpen nur über die Gefäßwandungen hindurch stattfindet.
Die Herzchen schlagen und alles wächst rasant.

Sie liegen nun wie eine Perlenkette in den Gebärmutterhörnern und sind fest mit Phoebe verbunden!
Ein Drittel der Trächtigkeit ist geschafft!
08.03.2019 - 22. Tag der Trächtigkeit
Phoebe schläft wirklich viel!
Und sie möchte ständig kuscheln... aber Joe auch:

"Passen wir beide auf deinen Schoß??"
Der Taillenvergleich ist schon vom Mittwoch:

Ich denke, Phoebe(rechts), liegt etwas vorne.. :)
...
Unsere Kindlys beginnen sich in der klassischen Fötenstellung zusammen zu rollen.
Der Kopf entwickelt sich und seit gestern entstehen winzige Knospen,
aus denen einmal die Vorderbeine werden.
Heute kann man die Knospen der Hinterbeine erkennen.
Die Äuglein legen los, die einem später um den Finger wickeln können..

Hier schaut mich die kleine Ginger an ;) ..Uli, hast du noch ein Stückchen Banane??
09.03.2019 - 23. Tag der Trächtigkeit
Heute sind die Ampullen, mit den "Früchtchen" drin, ca 1 cm groß.
Also immer noch soo klein :)
Kein Wunder, dass Phoebe immer noch rank und schlank aussieht.
Ich kann die Zeit bis zum Ultraschall kaum aushalten...
Unsere Baustelle im Haus geht heute in eine heiße Phase,
unser neues Bad ist langsam als solches erkennbar ;)
Also höre ich jetzt hier auf und tue noch etwas!!
Bis morgen.. :)
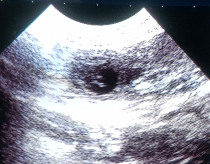
10.03.2019 - 24. Tag der Trächtigkeit
Überraschung :)
Aus Termingründen hatten wir den Ultraschall auf gestern Abend vorverlegt!
Noch sehr klein und schwer zu finden, haben wir sie trotzdem entdeckt :)
Juhuu, wir sind trächtig!!! Jippii
Hier die ersten Bilder unserer Kindlys:




Zählen war noch nicht möglich, sie zu erwischen war schon schwer ;) ;)
Ich denke wir konnten ca. 5 gut sehen..
Aber das heißt noch gar nichts!
Im Laufe der Woche, so um den 25-28 Tag, werde ich noch einmal schallen.
Erst danach, werde ich mich bei allen melden!
Wir freuen uns soo sehr!!!
11.03.2019 - 25. Tag der Trächtigkeit
Unsere Kindlys (die wirklich da sind, jippi :) ;), befinden sich in der unsichersten Zeit ihrer Entwicklung.
Gifte, Erkrankungen, Unfälle.. alles was Phoebe in diesen Tagen begegnen könnte,
würde große Auswirkungen auf unsere Kleinen haben.
Oft werden die Embryos einfach resorbiert (Resorption).
Also bleibt immer eine unterschwellige Sorge..
Aber jetzt freuen wir uns erstmal :)
Ich denke Phoebe hat mit Ultraschall geschaut, denn gestern Morgen war sie so still..
Und kurz vor Mittag hat sie ein wenig erbrochen, Übelkeit ist in diesen Tagen normal.
Das arme Mäuschen, aber danach ging es ihr sehr, sehr gut!!
Kommt allen Mamas ja bekannt vor ;)
Momentan entwickeln sich die Zähnchen unserer Kleinen!
Vor allem die spitzen Milchzähne werden uns noch viel "Freude" machen :)
Doch bereits im 4. Lebensmonat kommen die bleibenden Zähne.
Es geht alles so schnell, also immer das Genießen nicht vergessen!!
12.03.2019 - 26. Tag der Trächtigkeit
Phoebe geht es sehr gut und sie hat Hunger!
Heute gab es zwei Zwischenmahlzeiten extra ;)
Die erste heute Morgen (etwas Quark mit frischem Leinöl), da sie bis mittags nüchtern bleiben sollte...
...ich wollte noch einmal "kurz" nach unseren Kleinen schauen ;).
Nachmittags gab es ein pochiertes Ei mit Haferflocken und Quark, soo lecker!
Denn Nicole, meine Freundin und Nachbarin bei der Emmy lebt,
und ich glauben 7 bis 8 Kindlys gesehen zu haben.
Da braucht die werdende Mama ja Kraft !! :)

Den Kleinen geht es auch gut!
Sie schwimmen in ihren Fruchthüllen und teilweise konnte man sehen, wie sie sich bewegen.
Soo schön!
Jetzt lassen wir sie aber in Ruhe wachsen! Wir wollen ja nicht, dass ihnen etwas passiert.
Heute bilden sich die Öhrchen :)
Charly, zwei Tage alt!
Sie stehen in der ersten Lebenswoche so herrlich ab und sind, genau wie die Augen, geschlossen.
Erst in der zweiten Lebenswoche öffnen sie sich und fangen an zu wachsen.

13.03.2019 - 27. Tag der Trächtigkeit
Bei Phoebe verändert sich die Milchleiste!
Sie ist etwas geschwollen und gar nicht mehr wie bei einem Baby, wie vorher :)
Die Zitzen sind viel größer geworden. Gestern habe ich auch den ersten glasigen Ausfluss bemerkt.
Bei unseren Kindlys geht es jetzt in die letzten Tage der Entstehung vieler Dinge, bald wird nur noch gewachsen!
Am 27. Tag sind es die Augen, deren Hülle sich heute bildet, und die Tasthaare :)
Auch der Schädel und der Kiefer entsteht.
Die Beine, Pfoten und Zehen sind schon deutlich erkennbar.
Heute ist der letzte Tag, an dem man von einem Embryo spricht, ab morgen ist es ein Fötus!
Unsere Kleinen wiegen ca. 0,75 g (..und nicht 75 g!! :) und sind ca. 1,7 cm groß!
Phoebe hat wirklich einen riesigen Hunger, das ist mir so früh bei keiner meiner Hündinnen aufgefallen.
Ich gebe ihr nun 3 Mahlzeiten, damit sie immer etwas im Bauch hat.
Sie bekommt zu ihrem Futter mal Quark, mal Ei, Haferflocken, etwas Käse ;), Buttermilch, viel Obst
und was mir noch so einfällt.
Ich habe mit einem Ziegenhof in unserer Nähe telefoniert. Bald werde ich Ziegenmilch holen.
Die bekommt Phoebe in kleinen Mengen und, wenn unsere Kindlys selbst zu fressen beginnen,
bekommen sie auch davon. Ich habe sehr gute Erfahrungen damit gemacht.
Ab dem 30. Tag wird Phoebe das gleiche Futter bekommen, wie später ihre Welpen.
14.03.2019 - 28. Tag der Trächtigkeit

SO sieht Hunger aus!
Mit diesem Blick sitzt Phoebe neben mir, wann immer es geht :)
Und da soll man widerstehen![]()
Ihr Bäuchlein sieht jetzt wohlgenährt aus und misst 62 /69 cm!
(Angefangen haben wir mit 57/63, ihr erinnert euch?)
Beim Spazierengehen ist sie flott und flink wie immer, es geht ihr sehr gut!
15.03.2019 - 29. Tag der Trächtigkeit
Die 5. Woche hat begonnen! Es geht alles so schnell..

So sieht es bald bei unseren Kleinen aus im Wohnzimmer aus ;)
Sie liegen quasi in zwei Fruchthüllen.
Die Äußere nennt man Allantois, darin schwimmt der Fötus geschützt und
umhüllt in ein zweites, dünnes und durchsichtiges Häutchen, dem Amnion.
Bei der Geburt platzt das Allantois meist noch im Geburtskanal und macht durch die Flüssigkeit
alles gescheidig. Viele Welpen werden im Amnion geboren, welches die Hundemama sofort mit den Schneidezähnen öffnet und im gleichen Zug die Nabelschnur mit den Backenzähnen durchtrennt.
Beim ersten Wurf und ersten Welpen muss man manchmal helfen, aber meist haben sie es schnell raus :)
Oft platzt aber auch das Amnion schon im Geburtskanal.. dann ist die Geburt nicht so leicht.
Die Mama leckt den neugeborenen Welpen ziemlich kräftig ab, das bringt seinen
Kreislauf in Schwung und unterstützt Herz und Atmung.
Stoffe im Fruchtwasser und in der Nachgeburt, die meist von der Hündin gefressen werden,
unterstützen die Mütterlichkeit und die Milchbildung.
Auf dem Bild sieht man schön die Plazenta (oben und unten).
Sie umgibt die ganze Fruchthülle wie ein Gürtel (Gürtelplazenta).
16.03.2019 - 30. Tag der Trächtigkeit
Die Embryonalentwicklung ist nun abgeschlossen, alle Organe sind angelegt
und man kann erkennen, dass es kleine Hundewelpen sind :)
Sogar die Zitzen (die ja Rüden auch haben!) kann man schon erkennen.
Hoffentlich ist bei allen Kleinen die ganze Entwicklung bisher gut verlaufen!

Die Krallen der Kleinen wachsen und sie sind nun ca. 2 cm groß.
Apropos:
Am 27. Tag habe ich folgenden Satz geschrieben:
Unsere Kleinen wiegen ca. 75 g und sind ca. 1,7 cm groß!
Schon beim Schreiben kam mir das Gewicht komisch vor.
Es hat in den letzten Tagen viele nette Diskussionen deswegen gegeben :) :)
Danke allen aufmerksamen Lesern! Ich habe Mails und Whatsapps bekommen.
Allen erschien dieses Gewicht zu hoch. Genauso habe ich es beim Schreiben empfunden.
Leider suche ich seit Tagen nach genaueren Angaben, finde aber in meinen Büchern und
im Internet immer wieder nur diese Angabe.
Entweder ist diese Angabe falsch(die Größe stimmt auf jeden Fall!) oder
der Schreiber hat alles mit gewogen, die Fruchthüllen, die Flüssigkeiten, Plazenta..etc.
Aber ich habe heute mal 75 g auf meine Waage gelegt, es erscheint mir trotzdem zuviel :)
Wenn also jemand Gewichtsangaben von Hundeempryos findet.. bitte die Infos an mich :) Danke! :)
17.03.2019 - 31. Tag der Trächtigkeit
Heute ist bei den Kleinen richtig was los. Kaum vorstellbar:
Weil der Darm gerade soo schnell wächst, wird er kurzfristig aus der Körperhöhle heraus verlagert!
Es kommt zu einem physiologischen Nabelbruch. Erst am 40. Tag wird der Darm wieder zurückverlagert.
Wie schnell sie auch insgesamt wachsen, könnt ihr hier sehen:




Ich konnte mich nicht zurückhalten und musste heute noch einmal nachsehen :)
Franzi und ich haben viele Fruchtblasen, muntere Babys und schlagende Herzchen gesehen!
Zählen war unmöglich, wie ihr auf dem dritten Bild sehen könnt,
haben sich manchmal an einem Platz fünf Fruchtblasen geöffnet :O
Oft lagen zwei dicht nebeneinander, wie auf dem letzten..
Wir sind sehr gespannt!!!
Auch die Diskussion um das Gewicht am 27. Tag ging heute weiter :)
Super, wieviele Menschen mitfiebern und fleißig lesen! Das freut mich so!
Bernhard (von Ginger :) hatte heute, so glaube ich die richtige Lösung:
Er hat über das Volumen der Kleinen gerechnet, dass 0,75g ein plausibles Gewicht ist!
Also bestimmt ein Kommafehler, der sich im Laufe der Zeit immer weiter überall eingeschlichen hat!
Ich habe es oben geändert!
Danke Bernhard!! :)
18.03.2019 - 32. Tag der Trächtigkeit
Die Hälfte der Trächtigkeit haben wir geschafft :)
Phoebe ist richtig gut drauf..

Beim Spaziergang heute mit (von l.n.r.)
Coco, Mama Joe, Mika (Lillis Bruder), Phoebe, Nelson (Joes Bruder)
Sie genießen das Retriever-Lieblingswetter sehr ;)
Alle waren schön nass, dreckig und glücklich!
19.03.2019 - 33. Tag der Trächtigkeit
Unsere Kindlys sind jetzt ca. 2,7 cm groß und wenn man sie mit "Lupenaugen"
anschauen könnte, würde man sehen, wer ein Mädel, wer ein Bub ist :)
Phoebe weiß nicht mehr ganz wie sie sich hinlegen soll.
Nicht, dass der Bauch schon soo dick ist (63 /71cm(vorher 57/63, er wächst!),
er scheint aber zu spannen und sie legt sich immer hin und her!
Schließlich legt sie sich auf die Seite, da liegt es sich gut! :)
Beim Spazierengehen ist sie flott unterwegs, aber so richtig spielen
mag sie momentan mit Joe nicht. Vielleicht schont sie sich ab jetzt ;)
20.03.2019 - 34. Tag der Trächtigkeit
Ich weiß genau wie groß unsere Kindlys heute sind :)
Da ich das Ultraschallgerät bis zur Geburt mal wieder von unserem Wohnzimmertisch ;)
entfernen wollte(..es ist mega schwer!!), dachte ich... so gaaanz kurz kann ich doch noch mal reingucken :)
Phoebe legt sich schon alleine in unser großes Kuschelhundebett und streckt mir den Bauch entgegen ;)

.. sie sind 3 cm lang und ca. 1,4 cm breit, das passt genau in die Zeit, glaube ich!
Ich lese mich so nach und nach durch das riesige Buch, welches dem Gerät beilag.
Und langsam kann ich die Feinheiten etwas besser nutzen :)
Sechs Kindlys konnte ich heute entdecken, alle mit schlagenden Herzchen, der Rest war undurchdringlich.
Phoebe hat ein sehr dichtes Fell und hatte gut gegessen. Also weiter alles offen!!
Sie liegen nun die letzte Zeit mit Abstand zueinander.
Durch das schnelle Wachstum werden die Fruchtampullen bald aneinander rücken.
Die Gebärmutterhörner sehen dann nicht mehr aus wie eine Perlenkette, sondern wie ein Schlauch.
Sie beginnt sich im Bauch zu falten, da der Platz sonst nicht reicht.
21.03.2019 - 35. Tag der Trächtigkeit
Heute feiert unser G-Wurf seinen 6. Geburtstag!

Es war Lillis 3. Wurf und sie hat sie soo geliebt!!!
Ich vermisse unser Omchen sehr :(
...
Bei unseren Kindlys ist der Prozess der Organbildung abgeschlossen.
Die Augenlider sind ausgebildet und die Ohrmuscheln bedecken den Gehörgang.
Nun reift alles aus und es wird gewachsen!!!
Noch sind sie kürzer, als der Plazentagürtel, der sie umgibt.
Aber das ändert sich bald!
23.03.2019 - 37. Tag der Trächtigkeit
Phoebe ist jetzt nur noch mein Klöschen :)
Sie sieht aus, als wenn sie sich drei Wochen lang überfressen hätte... hihi ;)
Goldig!!!

Seht ihr das Bäuchlein?
Gestern habe ich dieses Bild gemacht:
Leider sieht man den großen Unterschied durch den Schatten nicht so deutlich.
Sie macht jetzt alles etwas langsamer, vor allem die Treppen hochgehen!
Begeistert ist sie von den vielen kleinen Mahlzeiten, die sie bekommt ;)
Und Joe natürlich auch, sie bekommt ja immer ein Müffelchen mit!!
Es geht der werdenden Mama sehr gut.
Ab und an sieht man wie sie in sich hinein horcht :)
Sie wird sich bestimmt wundern, was da in ihr los ist!
Die Kleinen haben nun die kritischste Zeit geschafft und legen los!
Heute sind sie schon ca. 5 cm groß!!
27.03.2019 - 41. Tag der Trächtigkeit
Danke für eure Geduld! Es ist jetzt alles in Ordnung!
Am Samstag gegen Abend hat Phoebe plötzlich in einem Schwall ihre letzte Mahlzeit erbrochen.
Es folgte eine schlimme Nacht und wir haben uns große Sorgen gemacht :(
Sie hat ständig erbrochen und dann kam Durchfall wie Wasser.
Sonntagmorgen konnte ich es nicht mehr ertragen und habe unseren Tierarzt auf dem Notfallhandy
angerufen (Danke Hansjörg, für die schnelle Hilfe!). Wir konnten in die Praxis kommen.
Sie bekam ein krampflösendes Mittel gespritzt und Paste zum Einnehmen.
Die Spritze hat etwas geholfen, aber es ging ihr noch den ganzen Montag schlecht.
Zwar nicht mehr so schlimm, aber die Sorgen blieben. Denn sie hatte auch gar keinen Appetit.
Die Wiesen hinter unserem Haus liegen voller Wildschwein-, Hasen-, Karnikel-, Reh- und Hirschkot :(
Fuchs ist bestimmt auch dabei... Sie muss etwas gefressen haben, was wirklich übel war.
Gestern hat sich die Lage entspannt, das Erbrechen hat am Montag gegen Abend aufgehört.
Nun ist der Stuhl immer noch etwas breiig, aber Phoebe ist wieder putzmunter!
Sie bekommt jetzt stündlich eine kleine Mahlzeit, eben gab es Fisch, gleich gibt es Nudeln.
Und sie steht schon schmatzend in der Küche und wartet!!!
Was bin ich froh!!!
Als Phoebe gestern wieder ganz entspannt war,
habe ich kurz mit meiner Freundin Gabi nach den Kleinen geschaut.
Auch sie sind putzmunter!!! Und trotzallem mega gewachsen, als ob nichts gewesen wäre!
Sie sind schon um die 6,5 cm groß und sehr agil :)
Es war schwer zu messen, denn man bekommt sie gar nicht mehr gut auf einmal angeschaut ;)
Mal sieht man den Kopf, schwups dreht sich das Kerlchen und man sieht nur noch den Bobbes ;)
Man kann jetzt schon richtig die Wirbelsäulen, Köpfchen, Pfötchen sehen. Es ist soo schön!
Und jeder hat direkt einen Nachbarn....
...der Bauch ist voll :O, uiii, es wird kein kleiner Wurf!!!
Sie liegen so chaotisch nebeneinander, dass man nicht zählen kann.
Ich denke, dass der Druck, der nun auf Phoebes Magen liegt, die Sache nicht leichter gemacht hat!
Phoebes Milchleiste und die Zitzen sind schon prall gefüllt.
Bei unseren Kindlys entwickelt sich die Fellfarbe, der Darm liegt wieder am richtigen Platz.
Soviel für heute!
Ihr glaubt gar nicht wie wunderbar es ist,
zu sehen wie Phoebe mit Heißhunger frisst!!!
:) :)
29.03.2019 - 43. Tag der Trächtigkeit
Das Wichtigste zu erst: Phoebe geht es sehr gut!!
Sie hat HUNGER :).. es tut soo gut sie zu füttern und zu sehen, wie es ihr schmeckt!

(Betteln am Frühstückstisch ;)
Wir bleiben bei 3 -4 Mahlzeiten am Tag.
Denn das Bäuchlein wächst :)
Das letzte Drittel der Trächtigkeit hat begonnen.
Die Kindlys wachsen jetzt sehr schnell. Dreiviertel ihres gesamten Wachstums fällt in diese Zeit!
Sie knacken in diesen Tagen die 9 cm!
Die Versuche das Bäuchlein zu fotografieren, scheitern kläglich ;)
Sie versteckt es sehr gut!
Hier einige Versuche:


Na, ein bissel sieht man es, oder :):)
Eben frisch gemessen:
66/72 cm, sie hat also insgesamt 9 cm zugelegt. Die Kindlys sind gut verteilt :)
Die Gebärmutterhörner nehmen nun zwei Drittel der Bauchhöhle ein!
So, ihr Lieben! Bis Montag!
Wir fahren heute gegen Abend mit den beiden Mädels nach De Helle!
Dort muss der Winter rausgeputzt werden :)
01.04.2019 - 46. Tag der Trächtigkeit
Wir sind gestern Abend wieder gut nach Hause gekommen :)
Phoebe und Joe haben die Seeluft genossen und alles gut überstanden!
Wir haben viel geputzt, repariert und alles für die vielen Kinder,
die dieses Jahr wieder tolle Freizeiten auf De Helle genießen, vorbereitet.
Das Bäuchlein ist in den zwei Tagen rundum 1 cm gewachsen!
Ihre Milchleiste ist dick geschwollen und gestern Abend leckte sie sich plötzlich ihren Bauch ab :)
..die erste Milch tropft. Das kenne ich von meinen Hündinnen. Milch hatten alle im Überfluss!!
Wunderbar!
Es wird Zeit die Wurfkiste aufzubauen und alles vorzubereiten.
Noch ca. 17 Tage...uhhh, das geht jetzt ganz schnell!!!
Jeder Kindly schwebt nun an der Nabelschnur in seiner Fruchtblase wie ein kleiner Raumfahrer.
Stoßgeschützt und gut versorgt.
Das Fell ist noch schütter, die Pigmentierung ist aber schon fertig.
Die Ohrmuscheln haben schon ihre Form und man erkennt schon etwas den Retriever :)
Eins, der für mich ungeklärten Rätsel, ist folgendes:
Ich habe gelesen, dass die Föten bereits im Mutterleib hecheln,
um sich vor Überhitzung zu schützen...
Mhhh? Das hätte ich gerne mal erklärt :)
Wie funktioniert das, wenn man im Fruchtwasser schwimmt und noch dazu alles, so denke ich,
die gleiche Temperatur hat.. so mitten im Bauch??
Sehr spannend das alles ;)
Die Natur erwacht, Phoebe und Joe bleiben jetzt weitgehend an der Leine.
Die Brut- und Setzzeit beginnt heute und Phoebe soll sowieso keine großen Sprünge mehr machen :)
02.04.2019 - 47. Tag der Trächtigkeit
Heute mal schnell ein Bauchbild ;)

Wie ihr seht, geht das Bäuchlein schon bis zum Knie ;)
Ab und an schnauft Phoebe schwer, es drückt!
Ihre Milchleiste ist wirklich sehr geschwollen und die Haare gehen um die Zitzen herum schon aus.
Alles bereitet sich auf die Lütten vor :)
..und jetzt gehen wir spazieren!! Bis morgen!
03.04.2019 - 48. Tag der Trächtigkeit
Phoebe kuschelt, jede Sekunde wäre ihr am liebsten :)

Jürgen muss seine Arbeit in unserem Bad ab und an unterbrechen.
Denn Phoebe öffnet sich selbst die Türen und braucht dann mal eine große Kuscheleinheit :)
Heute werde ich die Wurfbox aufbauen.
Ich bin sehr gespannt, was Phoebe dazu sagt :)
Und Joe wird dann sicher wissen, dass ihre Vermutung zu Phoebes neuem Geruch
und dickem Bauch, richtig sind ;) ;)
Nur noch gut zwei Wochen, ihr Lieben ;O
04.04.2019 - 49. Tag der Trächtigkeit
Die siebte Woche geht zu Ende!
Phoebe ist wirklich eine fröhliche Knutschkugel :) es geht ihr sehr gut!
Ihr Bäuchlein wächst, heute misst es 70/77 cm, hat also 13/14 cm zugelegt.
Da wird aber noch einiges kommen, die arme Maus!!
Noch zwei Wochen, in denen die Kindlys fast nichts anderes machen, als wachsen und zunehmen ;)

Gestern wurde die Wurfbox freudig in Augenschein genommen!
Joe freute sich wie verrückt ;) und Phoebe fand es auch toll!
Die Decke wurde über Nacht zerwühlt, wer das war, weiß ich nicht ;)
..und etwas habe ich ganz vergessen zu erzählen:
Ich kann die Kindlys jetzt wunderbar spüren, es ist so herrlich!!
Überall im Bauch wird getreten und sich gedreht :)
06.04.2019 - 51. Tag der Trächtigkeit
Unser Bad ist fertig :)
Deswegen gab es gestern keinen Eintrag, hatte zu viel zu tun! ;)
Phoebe geht es prächtig, sie wird etwas langsamer in allem und schläft sehr viel.
Abends ist sie schon mal unruhig und sucht ganz doll nach Nähe.
Am liebsten auf dem Schoß ;)
Heute vor 16 Jahren kam mein C-Wurf zur Welt.
Im letzten Jahr mussten wir die letzten drei C-chen mit knapp 15 Jahren gehen lassen.
Es waren wunderbare Hunde!!
Sie werden sehr vermisst...
Und nun kommen bald wieder solche einzigartige Wesen auf die Welt,
die uns ein Stück unseres Weges begleiten.
Denkt immer daran, jeden Moment zu genießen!
Morgen mehr...
07.04.2019 - 52. Tag der Trächtigkeit
Happy Birthday Joe ♥

Mein Mädchen wird heute 8 Jahre alt.. und bald Oma :)

Joe, Holly und Joy :)


Mama Phoebe versteckt ihren Bauch soo gut!!
Er wächst trotzdem, heute liegen wir bei 74/80 cm, er hat also 17/17 cm zugelegt.
Und genauso sieht der Bauch aus ;O, er ist überall gleich.. dick und fest.
Ihre Mama, Oma, Uroma und Ururoma hatten alle eher "Hängebäuche" ;) ;)
Ich bin mega gespannt wieviele Babys sie darin versteckt!!
Sie ist fit und munter, aber auch ziemlich am Schnaufen!!
Und heute sieht man ihr es auch im Gesicht an, die Augen sind etwas gerötet und alles ist ganz "saftig"
Das ist immer so in den letzten zwei Wochen.
Unsere Kindlys sind jetzt ca. 12 cm groß und haben dreiviertel ihres Geburtsgewichts erreicht!
Ihr Fellchen ist so gut wie fertig :)
Und jetzt noch:
Herzlichen Glückwunsch!!
Kerstin und (bald) Papa Mighty haben heute mit Bravour die Dummy A Prüfung bestanden! :) :)

Wir sind soo stolz auf euch!! Das habt ihr suuper gemacht!
08.04.2019 - 53. Tag der Trächtigkeit
Bei Phoebe hat der Nestbau begonnen :)
Unser Garten ist mit einigen wunderschönen Kuhlen geschmückt.
Sie hat die altbekannte, von Daika begonnene, ausgebaut, aber auch neue angelegt!
Oft ist sie ganz abwesend, horcht in sich hinein.
Und schläft viel im kühlen Flur, da ist momentan ihr Lieblingsplatz.
Im nächsten Moment wird sie unruhig und möchte im Garten weitergraben.
Auch hört man sie immer öfter schwer atmen und ächzen..
Aber beim Spaziergang ist sie munter und fidel ;)
Und halt kuscheln, sooft und soviel es eben geht!!!
Es ist so schön, die Hand auf ihren Bauch zu legen und mal hier, mal da die Kindlys zu spüren!
Mit dem Stethoskop kann ich wunderbar Herzchen schlagen hören.
Die Kleinen haben eine ganz hohe Herzfrequenz, über 200 Schläge in der Minute.
09.04.2019 - 54. Tag der Trächtigkeit
Phoebe liegt meist auf der Seite und streckt die Beine weit von sich.
Vorher liegt sie oft so:

Dann wird gestöhnt und sich mit einem erleichterten Seufzer auf die Seite gelegt. Ist einfach angenehmer ;)

Oft wackelt der ganze Bauch, ich habe versucht es zu filmen.. das merken die Kleinen anscheinend :)
Grins!! Denn sofort kehrt Ruhe ein!!
Phoebes Hunger ist ungebrochen, die vielen kleinen, leckeren Mahlzweiten gefallen ihr sehr gut!!
(..Joe auch, es fällt natürlich für sie immer eine Kleinigkeit ab;)
Das Bäuchlein wächst, heute lagen wir bei 77/81 cm. In zwei Tagen 3/1 cm Umfang zugelegt, hui ;)
In diesen letzten Tagen reifen die Organe aus und die Kindlys nehmen weiter zu...
Da sie als Nesthocker geboren werden, ist die Ausreifung mit der Geburt noch nicht beendet.
Deswegen sind die ersten beiden Lebenswochen auch besonders spannend.
Augenlider und Gehörgänge sind dann noch geschlossen.
Eine wunderbare, aber auch sensible Zeit, in der noch viel passieren kann.
Diese Tage genieße ich sooo sehr!!
Ich schlafe direkt bei Phoebe und den Kleinen, erfreue mich an dem unbeschreiblich wunderbaren Welpengeruch!
Der ist soo herrlich!!
Die Mama muss - Tag und Nacht - oft nach draußen, trinkt und isst sie in dieser Zeit ja sehr viel.
Manchmal braucht sie meine Unterstützung, wenn sich ein kleiner Klettermax hinter ihren Rücken verirrt.
Da sie die anderen Kleinen nicht stören möchte, gibt sie einen ganz besonderen Laut von sich.
Soll heißen: "Uli guck mal, hilf mir.."
Tage und Nächte, einfach sehr intensiv, anstrengend und wunderbar :)
Ich bin sehr gespannt, was Phoebe für eine Mama wird,
..nicht mehr lange :) ..dann wissen wir es!!
10.04.2019 - 55. Tag der Trächtigkeit
Heute in einer Woche sind wir bestimmt mitten in den Eröffnungswehen :O
Aber Phoebe ist noch ganz ruhig, nur Pipi musste sie heute Nacht mal!
Bei dem Bäuchlein und den vielen Mahlzeiten verständlich!
Lilli war immer etwas hektisch und ständig am Buddeln ;)
Joe ging es gelassener an, aber Phoebe ist echt entspannt! Wunderbar!
Ich habe mir bei einem bekannten Internetversandhandel ein super gutes Fieberthermometer gekauft!
Es ist da und zeigt wirklich sehr schnell die Temperatur an :)
Denn Übermorgen geht das Messen los!
Die Erklärung dazu kopiere ich jetzt aus Joes letztem Tagebuch, denn es ist etwas kompliziert ;)
:
Die normale Körpertemperatur eines Hundes liegt so um die 38,2 Grad.
Während der Trächtigkeit beträgt die Körpertemperatur ca. 38,5 - 39,0 Grad Celsius.
Diese leichte Temperaturerhöhung wird auf die hohe Progesteronkonzentration zurückgeführt.
Progesteron ist das Hormon, welches von den weiblichen Eierstöcken nach dem Eisprung produziert wird.
Es unterstützt und erhält die Schwangerschaft/Trächtigkeit, aber es besitzt auch noch andere wichtige Funktionen.
Gegen Ende der Trächtigkeit ( 8 -10 Tage vor der Geburt ) sinkt der Progesteronspiegel,
ebenso die Temperatur auf zunächst 38,0 Grad ab.
24 - 36 Stunden vor der Geburt stürzt der Progesteronspiegel nochmals steil ab.
So ist auch der Temperaturabfall 24 Stunden vor der Geburt um 1 Grad auf unter 37 Grad zu erklären.
Bis auf den H-Wurf, hatten unsere Hündinnen immer einen Tag vor der Geburt für eine gewisse Zeit eine
Körpertemperatur unter 37 Grad (36,7....manchmal sogar 36,2)
Um diesen Zeitpunkt mitzubekommen messe ich drei Mal täglich und habe mir wieder
fest vorgenommen, total ruhig zu bleiben bis die Temperatur GANZ unten ist!
...
Morgen muss ich noch mal auf die Arbeit, dann habe ich Urlaub.
Wir werden die letzten Tage richtig genießen und ich kann meinem Nesttrieb frönen ;)
Im Garten schon mal den Welpenauslauf vorbereiten, den Wintergarten von Säge,
Farben und Pinseln befreien. Der Umbau hinterlässt überall gewaltige Spuren :)
..und der geht ja noch weiter..das wird noch lustig, wenn uns die kleinen Racker helfen ;)
11.04.2019 - 56. Tag der Trächtigkeit
Phoebe hat Senkwehen!
Sie war heute so verhalten, ganz empfindsam.
Und ganz deutlich hat sich ihr Bauch verändert, die Flanken sind eingefallen.
Das geht jetzt alles so schnell :O, ist aber ganz normal und richtig in der Zeit!!
Ich habe mal Temperatur gemessen, 12 Uhr waren es 38°, nachmittags nur noch 37,8°.
Wir sind jetzt wirklich in der Vorbereitung auf die Geburt nächste Woche.
Ich wollte heute keine Bilder machen, sie brauchte einfach viel Nähe und Ruhe!
Aber einen tollen Spaziergang, mit Joe und Großtante Emmy, hat sie genossen.
Sie sitzt mir fast auf dem Schoß, stemmt die Vorderbeine gegen den Bauch.
Immer im Wechsel, ist sie ganz in sich gekehrt und dann wird gehechelt.
Wie gut, dass heute mein letzter Arbeitstag war!
Sie mag nicht alleine sein.
Aber ihr Appetit ist immer noch riesig!!
;)
12.04.2019 - 57. Tag der Trächtigkeit
Bisher ist Phoebe heute wieder ganz entspannt!
Heute Nacht war sie 3 x unruhig, musste auch mal raus, ist aber immer schnell wieder eingeschlafen.
Die Temperatur lag heute Morgen bei 37,7°.
Meist pendelt sie, bis zum 60. Tag, immer so zwischen 38° und 37,6° auf und ab.
Ich habe alle meine Temperaturkurven gestern durchgeschaut ;)
Es sind schon ganz schön viele.. grins!
Aber immer das gleiche Bild, alles ganz normal.
Unsere Kindlys sind jetzt ca. 16 cm groß, dementsprechend ist Phoebes Bauch wieder 2 cm gewachsen!
Die beste Nachricht: Die Schätze könnten geboren werden. Schon jetzt sind sie lebensfähig!!
Diesen Schritt haben wir schon mal geschafft :)
Hier könnt ihr schön sehen, wie der Bauch gestern nach unten gewandert ist:


Von oben sieht man ihn kaum noch, nur das Kügelchen, das jetzt ganz weit unten hängt, pipst heraus ;)
Über dem Bäuchlein ist jetzt eine richtige Kuhle.
Ich finde das Bäuchlein gar nicht soo groß.. mhh. Sie macht es echt spannend ;)
Aber das ist wirklich immer wieder eine Überraschung! Kerstin habe ich die Geschichte von unserer Daika erzählt:
Bei ihrem ersten Wurf hatte sie einen riesigen Bauch :O
Sie tat uns soo leid! Bewegen ging kaum noch, in den letzten Tagen.
Wir haben sie dann röntgen lassen, der Bauch passte kaum auf die Platte.
Denn die Geburt kam, nach vielen durchwachten Nächten, nicht richtig in Gang.
Alle standen vor dem Bild und es wurden 13 (!) Welpen geschätzt.
Ich konnte gar nichts zählen, sah überall nur Wirbelsäulen...;)
Es wurde angenommen, dass der Bauch zu gedehnt war, um zu pressen.
Nach einem Kaiserschnitt wurden 7 Welpen putzmunter entbunden. Mehr waren nicht drin.
Bei ihrem zweiten Wurf waren wir sehr erleichtert.
Der Bauch war viel kleiner und bis zum Ende war sie beweglich und munter!
Sie gebar ohne ein Problem 9 quicklebendige Welpen ;)
...ich bin seehr gespannt!!
Und vor allem bete ich für eine normale Geburt! Das wäre ganz wunderbar!
13.04.2019 - 58. Tag der Trächtigkeit
Hier schneit es heute immer mal wieder! Und es ist soo kalt..
Als ganz dicke Flocken fielen, wollte Phoebe nach draußen.
Sie sprintete los...und merkte, das geht mit dem Bauch nicht ;O
Also, dann alles ganz langsam!!

Unser Klöschen ;)
Die Temperatur ist konstant unter 38° und die Nacht war unruhig. Aber alles noch ganz gut!!
Die Kindlys spielen bestimmt Fußball, manchmal wackelt der Bauch ;)
Jetzt ist es wirklich nicht mehr lange!!

Nachdem sie beide im Garten ihre Wurfhöhlen ausgebaut haben..
(Joe war zur gleichen Zeit in der Hitze und ist im gleichen Buddelmodus ;)
..wird synchron geruht, während ich den ersten Erdbeerkuchen des Jahres bestücke!
Meine beiden Schätze ♥♥
Natürlich fielen einige Erdbeeren für die beiden Bettelschnuten ab ;) ;)
14.04.2019 - 59. Tag der Trächtigkeit
Gestern Abend hatte Phoebe starke Wehen.
Ich habe mich in die Kiste gesetzt und sie kam sofort zu mir.
Gemeinsam haben wir eine Stunde ganz ruhig da gesessen/gelegen.
Phoebe ist so ausgeglichen, es ist ganz wunderbar.
Sie scheint keine Angst zu haben.

Es ist immer ein Wechsel zwischen Schieben
(sie drückt ihre Vorderbeine fest gegen den Bauch und hat den Mund fest verschlossen)
und Hecheln (dann ist sie entspannter)
Überraschender Weise kam danach eine ganz ruhige Nacht!
Sie hat lediglich mal den Platz vor meinem Bett, mit der anderen Seite zu Jürgen getauscht :)
Ganz deutlich sieht man wie schlaff alles geworden ist.
Der Bauch hängt und alles was vorher knackig fest war, ist nun weich und für die Geburt bereit.
Die Temperatur schaukelt sich langsam nach unten, heute Morgen waren es 37,3!
15.04.2019 - 60. Tag der Trächtigkeit
Gestern Abend hatten wir wieder eine "Übungsstunde" in der Wurfkiste. Wie schön, dass Phoebe die so gut findet!!
Immer wieder hat sie jetzt solche Zeiten, in denen leichte Wehen regelmäßig kommen.

Phoebe macht das ganz gelassen und ihr schönes Verhalten beruhigt mich!
Auch wenn ich innerlich in zappeliger Erwartung bin ;)
Wenn wir in der Kiste sitzen, ist ihr Bedürfnis meine Hände abzulecken ganz ausgeprägt.
Das ist schön! Denn es zeigt, dass sie ihr Babys gerne "schon jetzt" putzen würde ;)
Die Nacht war, bis auf einen Pipigang, ruhig. Das ist ganz wunderbar!!
Die Temperatur schwankt noch im Normalbereich.
Nur das Bäuchlein wächst!
Angefangen haben wir mit 57/63 cm, aktuell liegen wir bei 80/85 cm!!
Der Umfang hat sich um 23/22 cm vergrößert.
Nun ist nichts mehr mit schnellem Laufen oder Hüpfen.
Wir drehen nur noch kleine Runden.
Danke Nicole und Jörg, dass ihr Joe auf eine größere Runde mitgenommen habt!! Das hat ihr gut getan :)
16.04.2019 - 61. Tag der Trächtigkeit
Ihr Lieben, gestern Abend konnte ich nicht einschlafen...
..und um kurz nach 12 stand Phoebe an meinem Bett und hechelte mich an.
Seit dem ist sie unruhig und die Nacht war sehr kurz für uns beide.
Sie hat zwei große Kuhlen im Garten ausgebaut.
Und die Wurfkiste durchgraben, um dann das erste Mal alleine darin zu liegen.

Die Temperatur ist von gestern Nachmittag 38° auf 37,1° gefallen.
Banane aus der Hand möchte sich nicht mehr, aber Ziegenmilch mit Haferflocken hat sie noch geschlappert.
Ich denke heute wird der Startschuss für die Eröffnungswehen fallen...
Sie könnte aber genauso gut nochmal eine Pause einlegen, das kennen wir ja von Lilli... ;)
61. Tag 2. Teil :)
Am Vormittag begannen die Eröffnungswehen.
Seit dem hechelt Phoebe.
Über Mittag hat sie ihre Höhle ausgebaut:

Bis zum Popo ist sie in ihrer Kuhle verschwunden.
Dabei ist sie trotz allem ruhig und gelassen..
..und hat sich schnell entschlossen, dass ihre Wurfkiste viel gemütlicher ist.
Seit dem hat sie eine enorme Bindung zu ihr, als ob schon Welpen darin lägen.

Sie hat einfach ihren Teddy mitgenommen und er wird seit dem geputzt und umsorgt. :)

Am liebsten kuschelt sie mit mir, dann schläft sie auch mal ein Weilchen, hechelt aber weiter.
Kurz lässt sie sich überreden nach draußen zu gehen,
doch dann zieht sie mit Macht zurück in ihre Kiste.
Ich sage euch gute Nacht, bin sehr gespannt was die uns bringt!!
...
PS: Danke Desiree für die Info, dass die Tagebuchseite "hing"!!!
Ich dachte ihr würdet es alle sehen, dabei war sie nicht richtig hochgeladen...
Jetzt ist hoffentlich alles ok?!
17.04.2019 - 62. Tag der Trächtigkeit
Und es wird doch wieder ein Krimi..
Nachdem um 0 Uhr heute Nacht die Temperatur bei 37° lag und ich danach erst morgens wieder gemessen habe,
dachte ich, wir hätten den Tiefpunkt in der Nacht durchschritten.
Denn am Morgen waren es 37,7°
Sie war auch den ganzen Vormittag hektisch, unruhig und hat oft gezittert, was auch normal ist :(
Doch jetzt wird sie wieder ruhiger, hechelt zwar immer noch ohne Unterbrechung,
ist aber ziemlich entspannt dabei.
Beim Mittagsmessen waren es nur noch 37,4°, dh. wir gehen auf einen neuen Tiefpunkt zu.
Der liegt erfahrungsgemäß bei ca. 36,7°
Also hecheln wir weiter gemeinsam und wieder denke ich, warum??
Aber wenn die Kleinen in meinen Händen liegen, fällt es mir wieder ein ;)
..nur müssen wir erst bis dahin kommen..
Aber sie macht etwas, was noch keine meiner Hündinnen gemacht hat:
Bei jedem Pipigang (und wir gehen oft raus;) bringt sie ein Spielzeug, einen Ball, etc.,
mit in die Wurfkiste zu ihrem Bärchen. Alle werden umhergeschichtet und passend gelegt.
Sie würde gerne alle säugen, das sieht man.
Mittlerweile ist die erste Ladung in der Waschmaschine, denn die meisten Spielzeuge lagen im Garten :)
..und die Wurfkiste war megavoll!
Was bin ich froh, wenn die Kindlys an ihren Zitzen liegen!!!
Vielleicht schaffe ich es, mich abends nochmal kurz melden! Bis dahin!!
18.04.2019 - 63. Tag - 1. Lebenstag :)
Ich habe es nicht geschafft mich zu melden ;), war beschäftigt:

Um ca. 18.30 Uhr ging Fruchtwasser ab, die Geburt begann.
Völlig problemlos und gelassen, bekam Phoebe von 21.30 bis 0.30 Uhr fünf Wonneproppen!
Ich danke meinem Herrn Jesus für dieses Geschenk! Hab viel um eine normale Geburt gebetet!

Zwei Mädels und drei Jungs, mit den Gewichten 550, 540, 530 und 2 x 470 g. Alle ganz herzallerliebst!!!
Wenn die nicht mal dick und rund sind :):`)

Mama und Kindern geht es supergut, Phoebe ist, wie erwartet eine liebevolle, fürsorgliche Mami :)
Alle weiteren Neuigkeiten und Fotos in den nächsten Tagen auf der neuen K-Wurf-Seite!!
Wir brauchen erst mal etwas Ruhe und Schlafstückchen!

Ich danke Nicole, Susi und Brigitta, für das leckere Catering!!
Und Nicole ganz besonders für die geniale Hilfe, und die vielen Spaziergänge mit Joe!!!
Und allen, die an uns gedacht und für uns gebetet haben!!
Und Kerstin für den tollen Papa Mighty!
Dieses Tagebuch ist fertig ;)
Es war wieder sehr schön zu schreiben!
Ab sofort gibt es hier neue Bilder und Infos!