unsere "Lillis....behind the picket fence" :)
..
+
Phoebe (Joes Phoebe behind the picket fence) und Pyrat (Jewelhope Pyrat XO)
Ahnentafel des geplanten Wurfes
HIER geht es direkt zum aktuellen Tag!
10.05.2021
Unglaublich :)
Es geht wahrhaftig los....
Sechs Wochen vor errechnetem Termin wurde Phoebe gestern läufig.
Wahrscheinlich war es zu verführerisch, sind doch gerade "alle" läufig.
Das zieht für uns alle natürlich einiges an Terminänderungen mit sich... uiuiui...
Aber so langsam kommt auch die Vorfreude, kommen wir doch so mit der
Welpenaufzucht in eine viel schönere Jahreszeit!! :)
Doch eine Ungewissheit gibt es noch, davon morgen mehr...
Jetzt geht es erst einmal zur Augenuntersuchung.
Der Termin lag für heute schon lange fest, wie gut! Das Ergebnis brauchen wir ja vor dem Deckakt :)
Und direkt vorher, Termin in der Justus Liebig Universitätsklinik Gießen, Abt. Gynäkologie, zum Abstrich.
Da wird nach Bakterien, usw. geschaut, die nicht dort hin gehören ;)
Ich halte euch ab jetzt auf dem Laufenden...
Für Spannung ist mal wieder gesorgt ;)
11.05.2021
Oft kommt es anders, als man es plant.
Durch die Terminverschiebung mussten wir auf die Suche nach einem neuen Papa gehen.
Willi und Mighty, zu dem wir auch sehr gerne gegangen wären, erwarten gerade Damen,
die auf den Tag wie Phoebe läufig geworden sind.
Da wir ja erst für Ende Juni anstanden, kamen wir jetzt viel zu früh.
Also ging ich auf die Suche und meine Wahl ist auf Pyrat gefallen!
Ein wunderschöner Rüde aus Holland :) Tataaa:

Nun geht es also richtig los, juhuu!!
Ich bin Marianne sehr dankbar, dass sie so kurzfristig für uns da war!
Ich freue mich darauf sie und ihren Mann Peter kennen zu lernen!
Hartelijk dank!! :)
Phoebe musste gestern ganz alleine in die Augenklinik gehen, sie wurde auf dem Parkplatz abgeholt.
Doch es gab Leckerli, so ging sie mit und hat ihre Sache wohl sehr gut gemacht :)
Ihre Augen sind, lt. Ärztin, so wie man sie sich wünscht! Es ist alles bestens!
Vorher, in der Uni Klinik Gießen, wurde bei ihr ein Abstrich gemacht und eingeschickt.
Das Ergebnis kommt Ende der Woche.
Sie war so brav, dass Dr. Ganz fragte, ob er noch Proben für einen wartenden Rüden
entnehmen dürfe. Auch dies hat sie gut gemeistert ;)
15.05.2021
In den letzten Tagen habe ich Phoebe schick gemacht, ihre neue Haarpracht frisch getrimmt..
..sonst ist zur Zeit nichts zu tun.. nur abwarten :)
Das ziehhhht sich immer, bis Dienstag:
Am 10. Tag der Läufigkeit ist der nächsten Termin in der Uni Klinik.
Dort wird dann Blut abgenommen und der aktuelle Progesternonwert gemessen.
In den letzten Jahren hat dieser Wert uns immer gut zum perfekten Decktermin geführt.
Auch lasse ich einen Abstrich machen, an den Zellen kann man unter dem Mikroskop gut
erkennen, wie weit alles bereit ist für den richtigen Moment.
Ich hoffe ihr konntet alle eure Herbsttermine gut umstellen, damit die Lütten einziehen können :)
Am vergangenen Mittwoch bin ich, ziemlich überraschend, da jemand abgesagt hat,
bei meinem Hausarzt geimpft worden. Das freut mich so, denn bis zur Geburt bin ich dann "fertig"!
Wir sputen uns derzeit mit allen Vorbereitungen auf unseren L-Wurf ;)
18.05.2021 - 10. Tag der Läufigkeit
Das war ein spannender Dienstag :)
Um kurz nach 14.00 Uhr waren wir in der Gießener Uni Klinik.
Als Erstes wurde Phoebe Blut für den Progesterontest abgenommen.
Dies erwies sich als sehr schwierig, da der Arzt keine Vene fand.
Soo tapfer die Maus, sie saß so lieb und geduldig auf dem Tisch.
Beim zweiten Bein klappte es nach einigen Versuchen.
Die Auswertung übernimmt ein Spezialgerät, das dauert ca. eine Stunde..
Dann wurde ein Abstich von der Vaginalschleimhaut genommen:
Unter dem Mikroskop zeigte sich, dass sich die Zellen schon zu Haufen,
sogenannten Clustern zusammengeschoben haben.
. 
Noch haben einige Zellkerne, die bis zum idealen Zeitpunkt verschwinden.
Phoebe blutet kaum noch und wenn, sehr hell. Alles Zeichen dafür, dass die Eisprünge kurz bevor stehen!
Eine Stunde Heimfahrt, und wir konnten Anrufen..
Doch der Ruf ging nicht durch….
Fast eine Stunde verging, ohne Erfolg.
Ich habe mir im Internet verschiedene Nummern der Klinik gesucht,
konnte aber nicht weiterverbunden werden.
Doch dann bin ich, wie ich hinterher erfahren habe, beim Professor gelandet :),
der mir super geholfen hat. Er teilte mir Phoebes Wert mit und kümmerte sich um
die gestörte Telefonverbindung, die keiner bemerkt hatte. Vielen Dank dafür :)
Tja, und der Wert war bei unglaublichen 5,9 ng
Das ist für den 10. Tag ganz schön hoch!
Zumal wir beim letzten Wurf gesehen hatten, dass Phoebe eine Senkrechtstarterin ist!
Sie war vor zwei Jahren von 4,1 ng am 10. Tag in 48 Stunden bei 15 ng!
Zum Decken fahre ich normalerweise bei 9.. da war Eile angesagt :)
Die Ärzte haben mir empfohlen, es morgen Abend zu versuchen
und Marianne war einverstanden.
Phoebe und Pyrat werden um 20.00 Uhr ihr erstes Date haben.
Nun müsst ihr euch gedulden :) Bis dann!
19.05.2021 - 11. Tag der Läufigkeit
Heute Abend um 20.30 Uhr hatten Pyrat und Phoebe ein wunderschönes Hochzeitsfest :)
Nach einer nicht so schönen Anfahrt (zwei Unfälle :( vor uns und einige Starkregenzeiten)
sind wir nach 3.5 Stunden bewahrt um 20.00 Uhr angekommen.
Die beiden Hauptpersonen waren sehr ruhig und total gelassen, es war wirklich entspannt.
Phoebe lies sich nicht lange bitten, sondern war sofort einverstanden.
In unseren Armen hat es sofort geklappt und es folgte ein 12 Minuten langes Hängen.
Im wahrsten Sinn des Wortes, denn Phoebe lies sich auf Mariannes Schoß und in meine Arme
während des Deckakts gemütlich nieder ;) ;)
Ganz wunderbar!!!
Und ich kann euch sagen, Pyrat ist sooo charmant ♥♥♥
Schon als ich kam, wurde ich von ihm umarmt und er hatte vor lauter Freude immer etwas im Fang.
Auf meinem Schoß fand er es richtig gut :))
Ein total lieber Junge, er hat mir soo gut gefallen!!!
Bilder machen haben wir ganz vergessen :O .. da müssen wir beim nächsten Mal dran denken!!
Nach gemütlichem Plauschen sind wir ca. um 21.40 Uhr wieder Richtung Heimat gefahren.
Die Fahrt war angenehm, da kaum Verkehr! Um 00.15 Uhr waren wir zu Hause.
Ich danke meinem Herrn Jesus, dass er uns bewahrt hat, denn die Hinfahrt war wirklich heftig!
Wie geht es weiter? Siehe 20.05.2021
20.05.2021 - 12. Tag der Läufigkeit - 1. Tag der Trächtigkeit
Heute um 12.00 Uhr haben wir in Gießen einen letzten Termin zum Progesterontest.
Wenn wir das Ergebnis bekommen, entscheide ich mit Marianne zusammen, ob wir heute Abend
oder morgenfrüh das zweite Date planen.
..ich werde berichten :)
21.05.2021 - 13. Tag der Läufigkeit - 2. Tag der Trächtigkeit
Nun sind wir wieder zu Hause...
Gestern um 13.30 Uhr bekamen wir den Anruf, Phoebes Progesteronwert lag bei perfekten 16,2 ng!
Also haben wir unser Auto gepackt und sind wieder zu Pyrat gefahren.
Um 19.00 Uhr waren wir vor Ort und Phoebe war voller Vorfreude.
Sie lief alleine zum Ort des Geschehens..
Doch leider sagte Pyrat, dass es nicht mehr der richtige Zeitpunkt ist!
Alles Anbieten, Rute zur Seite legen und ruhig stehen nutzte nichts..
sie konnte keine Flamme entfachen.
Phoebe und wir alle waren traurig, aber die Rüden wissen meist mehr als wir..
Also machten wir eine Pause.
Die nutzten wir, um mit meinem kleinen, alten Ultraschallgerät noch eine von Mariannes und Peters Hündinnen
zu schallen. Sie hatten darum gebeten.
Wir haben zwei Welpchen entdeckt, es war noch sehr früh in der Trächtigkeit!
Ich wünsche euch, dass sich noch ein paar versteckt haben ;)
Ein zweiter Versuch zeigte, dass Pyrat wirklich meinte, es hätte keinen Sinn..
Also half es nichts... es ging wieder Richtung Heimat!
Vielen Dank, liebe Marinanne und Peter, für die Gastfreundschaft und die schönen Gespräche!
Wir haben uns sehr wohl gefühlt!!!
Nun müssen wir alle die Spannung aushalten.. hat es geklappt?
Danke auch an Monika und Klaus, dass Joe bei ihnen und ihrer Schwester Lucy schlafen durfte :)
In den nächsten Tagen werde ich euch erzählen, was in Phoebes Bauch so vor sich geht!
Ich freu mich drauf!! :)
22.05.2021 - 14. Tag der Läufigkeit - 3. Tag der Trächtigkeit
So, nun geht es los, die Spannung und Vorfreude steigt :)
Phoebe ist zur Ruhe gekommen, schläft schon den ganzen Morgen.
Das ist ein gutes Zeichen :)
Ich bin so traurig, dass wir vergessen haben ein Bild von dem Hochzeitspaar zu machen :(
Es war ein so schönes Bild, als sie vor mir standen, Po an Po ;) Seite an Seite,
Phoebes Kopf auf meinem Schoß. Creme und Golden... herrlich.
Die neue Terminplanung unserer Lillis gestaltet sich so:
Die Geburt wird um den 22. Juli stattfinden und die Abgabe wird ca. ab dem 16. September sein.
Bis dahin kehrt hoffentlich der Sommer bei uns ein ;)
Heute finden, ganz unbemerkt, wundersame Dinge in Phoebes Eileitern statt (..wie ich sooo sehr hoffe!!)!
Viele kleine Pyrats (..um die 800 000 000!!! Wow ;) treffen auf,
im Vergleich sehr wenige, kleine Phoebes (im Schnitt 3 - 8).
Das Wunder neuen Lebens nimmt seinen Lauf :)
Bis morgen!!
23.05.2021 - 15. Tag der Läufigkeit - 4. Tag der Trächtigkeit
Bei Phoebe ist die Entspannung eingekehrt.

Heute Nacht: Sehr relaxt am Schnarchen :)
Könnte man in dieses Kuschelbäuchlein reinschauen, würde man folgendes sehen:
Die von den Eierstöcken (Ovarien) freigesetzten Eier (Follikel) benötigen
bis zur Befruchtung eine Reifungszeit von 2 Tagen.
Die sind seit ca. Donnerstag vorbei, da die Ovulation (Eisprung)
(lt. dem Progesteronwert von 5,9 ng mittags) im Laufe des dienstags stattgefunden hat.
Die kleinen Pyrats sind 4 bis 6 Tage befruchtungsfähig und kamen am Mittwoch abends dazu ;)
Die Befruchtung müsste also Donnerstag/Freitag stattgefunden haben.
Es sieht also so aus, als ob wir einen sehr guten Zeitraum erwischt haben, auch wenn es nur einmal war :)
Heute haben sich die entstandenen Lillis schon etwas entwickelt und sehe ca. so aus:

Ist das nicht ein Wunder, was daraus entsteht?

Oma Joe und Holly mit 6 Wochen :)
Ich wünsche euch allen ein schönes Pfingstfest!
Bis morgen!
24.05.2021 - 16. Tag der Läufigkeit - 5. Tag der Trächtigkeit
Bei unseren Hunden gibt es eine Besonderheit im Tierreich:
Wichtig für jede Schwangerschaft ist der Gelbkörper. Bei uns Menschen wird die Gelbkörperphase nach
ca. 14 Tagen abgebrochen, wenn keine Befruchtung statt gefunden hat.
Bei Hunden ist das anders. Da produziert der Gelbkörper weiter Progesteron, ca. 60 Tage lang.
Deswegen sprechen wir so oft davon, dass unsere Hündinnen "Scheinschwanger" sind.
Hormonell gesehen sind sie das quasi nach jeder Hitze!
Bei den Eissprüngen verlassen die Eizellen ihre "Follikelhöhle" und wandern in den Eileiter.
Die ehemaligen Schutzhülle aus dem Follikel entwickelt sich weiter und bildet den Gelbkörper,
der gelb ist, da sich viele kleine Fetttröpfchen in ihn einlagern.
Ist der Gelbkörper fertig entwickelt, beginnt er das Hormon Progesteron zu entwickeln.
Progesteron bereitet die Gebärmutter darauf vor, die befruchteten Eizellen aufzunehmen und verhindert,
dass neue Follikel reifen. Es erhält die Trächtigkeit aufrecht und bereitet die Milchdrüsen auf das Säugen vor.
Auch schützt es unsere Welpen, indem es bewirkt,
dass während der ganzen Trächtikeit der Muttermund fest verschlossen bleibt.

Auf dem Bild könnt ihr schön sehen, dass unsere Hündinnen keine Gebärmutter wie wir Menschen haben.
Es sind zwei ""Hörner", in denen sich die Welpen in einigen Tagen(dauert noch;) hintereinander einnisten.
Bei der Geburt wandern sie dann, meist abwechselnd, über den Gebärmutterkörper in den Geburtskanal.
Morgen geht es weiter :)
25.05.2021 - 17. Tag der Läufigkeit - 6. Tag der Trächtigkeit
Heute ist es ja wirklich trüb, nass und kühl :(
Alle sind müde, Phoebe und Joe schlafen die meiste Zeit..
Ich würde mich am liebsten zu ihnen legen ;)
Der 6. und 7. Tag machen unsere kleinen Lillis nichts anderes als sich zu teilen.

Sie befinden sich weiterhin im Eileiter!
Aber bald wird es spannend :)
27.05.2021 - 19. Tag der Läufigkeit - 8. Tag der Trächtigkeit
Nun geht es vorwärts in Phoebes Bauch!

Aus den Vier- oder Achtzellern sind gestern Vielzeller (Morulae) geworden.
Heute wandeln sich unsere Lillis.
Gestern noch ein Morulae, entwickelt sich heute jedes zu einem "Keimbläschen".
Sie werden nun Blastozysten genannt.

Der Name kommt von dem Hohlraum(Zyste), der sich im Inneren bildet.
Umgeben wird er vom Embryo und Trophoblasten(daraus wird später der Mutterkuchen, die Plazenta)
Und die Reise beginnt:
Die glatte Muskulatur der Eileiter bringt die Lillis durch Kontraktion auf den Weg in die Gebärmutter!
Und Phoebe schläft, freut sich auf jeden Spaziergang ... und schläft wieder :)
Das ist wunderbar ;) Auch von ihrer Läufigkeit ist nichts mehr zu spüren!
Die Blutung hat seit dem Deckakt aufgehört. Das kenne ich von den meisten Trächtigkeiten.
Gute Vorzeichen!!
...die können aber auch trügen, denn wie wir oben gelernt haben,
nach jeder Hitze folgt auch eine "Scheinträchtigkeit"!
Also hoffen wir weiter :)
Noch ca. 14 Tage, dann können wir mal "nachschauen" ;) ;) Juhuu!!!
28.05.2021 - 9. Tag der Trächtigkeit
Es ist wirklich auffällig ruhig hier, Phoebe sucht meine Nähe..
..um sich dann wieder hinzulegen und fest zu schlafen :)
Unsere kleinen Lillis, die hoffentlich in Phoebe entstehen, sind nun auf dem Weg in die Gebärmutter!
Dort werden sie sich einige Tage frei bewegen.
Und zwar 2 bis 3 Tage alle die aus dem rechten Eierstock kommen rechts, die anderen links.

Doch danach wandern sie sogar von einem Horn ins andere :)
Diese Zeit dauert recht lange...
Ich lasse mir heute meine Coronamähne in eine pflegeleichte Welpenerwartungsfrisur verwandeln ;)
Test war negativ, juhu! Los geht's!
Bis morgen! Genießt das schöne Wetter!! :)
29.05.2021 - 10. Tag der Trächtigkeit
Joe wirft Bälle, spielt mit Kuscheltieren... kommt dann zu mir und fragt mich ganz deutlich:
Warum spielt Phoebe nicht mit mir??

Tja, sie ruht, schläft, guckt verträumt und will kuscheln. Sonst nix!! Sehr schön :)
Am liebsten auf meinem Schoß ♥
Unsere Lillis sind heute ca 0,6 cm groß und sehen aus wie Zitronen:

Dieses kleine, längliche Pinüpsel ist die Neuralrinne!
Dort beginnt die Neurulation, der Anfang der Ausbildung des Nervensystems.
Die Grundlage für die Organentwicklung.
Noch immer sind sie unterwegs...
30.05.2021 -11. Tag der Trächtigkeit
Heute ist Phoebe aufgeweckter als die letzten Tage!
Aber nach kurzem Spiel mit Joe, schläft sie schon wieder ;)
Unsere Kleinen sind jetzt in dem Uterushorn unterwegs, in welches sie vom Eileiter geschickt wurden!
Die Gebärmutterhörner bereiten sich für die Verbindung mit den Lillis vor und fangen an sich zu schlängeln.
Noch ähnelt alles dem Ablauf, der geschehen würde, wäre Phoebe nicht gedeckt worden.
Die Aufgegung steigt.. hat es wirklich geklappt?
Ich wäre soo sehr entäuscht... wenn nicht!
31.05.2021 - 12. Tag der Trächtigkeit
Gestern haben wir das tolle Wetter genutzt und sind einen kleinen Weg gegangen,
den wir noch nicht kannten. Doch er hörte einfach mitten im Wald auf.
Da entstand dieses Bild an einer uralten Buche :)
. 
Wie haben wir es so schön! Gar nicht verstehen kann ich so etwas:

Da hat jemand am Wegesrand gegrillt und sämtlichen Müll liegen lassen :( .. so traurig!!
Heute Morgen habe ich daran gedacht Phoebes Bauchumfang zu messen.
Genau wie bei ihrem ersten Wurf um diese Zeit, liegt sie bei
60 cm vor den Hinterläufen. Etwas mehr hat sie in der Bauchmitte, da sind wir schon bei 67 cm ;)
In Phoebes Gebärmutter entstehen langsam lokale Anschwellungen (Ampullen), das sind die Stellen,
an denen die Lillis später "andocken" :)
Unsere Lillis nennt man in diesem Stadium Blastocyten, sie sind umhüllt von der Zona pellucida, einer
Schutzschicht um den frühen Embryo. Diese Schicht muss in den nächsten Tagen durchbrochen werden.
Das ist richtig spannend!
01.06.2021 -13. Tag der Trächtigkeit
Morgen ca., beginnen die kleinen Lillis von einem Gebärmutterhorn ins andere zu wandern.
Dieses freie "umherschwimmen" dauert noch einige Tage.
Wir tun es ihnen gleich und sind mal einige Tage mit Phoebe und Joe unterwegs :)
Wenn ich es schaffe, schreibe ich am Sonntag, was in der Zwischenzeit geschehen ist!
Bis dahin, genießt die kurze Woche :)
06.06.2021 - 18. Tag der Trächtigkeit
Da sind wir wieder :)
Wir haben die freien Tage mit Phoebe und Joe sehr genossen!
Phoebe hat viel geschlafen und gekuschelt.. ganz wie aus dem Lehrbuch, die Spannung steigt!!
...
Es war sehr heiß und Phoebe hat sich ein schattiges Plätzchen gesucht,
Joe kuschelt sich natürlich sofort dicht dazu ♥
...
Joe hat morgen früh einen OP Termin :(
Da sie seit der letzten Hitze etwas Probleme hat, wird sie die Eierstöcke und die Gebärmutter entfernt bekommen.
Kein ganz leichter Eingriff, ich hoffe, dass alles gut geht!! Sie ist ja nicht mehr die Jüngste!
...
Hat Phoebe wirklich aufgenommen, dann waren die letzten Tage unserer Lillis mega spannend:
Um zu wachsen und mit Phoebes Gebärmutter Kontakt aufnehmen zu können,
mussten sie im wahrsten Sinn des Wortes aus ihrer Haut schlüpfen!

Sie befinden sich im Vorkontaktstadium (Appositionsstadium),
es besteht noch keine sichtbare Verbindung zwischen den Kleinen und Phoebe.
Gleichzeitig entwickelten sich die Lillis weiter:
Ihr erinnert euch an das kleine, längliche Pinüpsel, die Neuralrinne - als sie noch aussahen wie eine Zitrone?!
Dort entwickeln sich die drei Keimblätter (Ektoderm, Entoderm und Mesoderm),
daraus entwickeln sich die Organanlagen.
Aus dem Ektoderm das Neuralrohr, das ist der Vorläufer von
Gehirn und Rückenmark. Aus dem Mesoderm haben sich die Somiten (Urwirbel) gebildet.

Ca. so sahen sie gestern aus!
Oben die zwei "Lippen" sind die Gehirnanlage.
Die kleinen Strichelchen die Somiten, dazwichen die Neuralrinne.
Eine klitzekleine "Fehlschaltung" in diesen Tagen ergibt grundlegende
Fehler für das weitere Leben und noch bis zum 28. Trächtigkeitstag können die Kleinen einfach absterben
und werden sie meist unauffällig resorbiert...
Deshalb passen wir zur Zeit sehr gut auf Phoebe auf, dass sie gesund bleibt, keine Medikamente braucht
und einfach vorsichtig ist :)
Unsere Lillis sind jetzt ca. 3 mm groß!
Die Implantation hat begonnen...
07.06.2021 - 19. Tag der Trächtigkeit
Um 8.00 Uhr habe ich Joe beim Tierarzt bis zum Einschlafen begleitet.
Nun muss ich warten.. das kann ich gar nicht gut :(
Schon zwei Mal hab ich eine meiner Schätze bei einer OP hergeben müssen, da immer
etwas "schlimmes" gefunden wurde (Lilli und Annie), und sie besser nicht aufwachen sollten...
Das steckt tief..
Aber nun ist es 11.30 Uhr und sicher hätte ich dann schon etwas gehört!
Also schreibe ich lieber von den kleinen Lillis.
Obwohl ich heute ganz oft gedacht habe, dass ich mir noch nie so unsicher war, wie diesmal.
Aber vielleicht werden auch nur meine Nerven schlechter ;)
Nun geht es aber positiv weiter :),
denn heute ist ein superwichtiger Tag!
Das Einnisten der Kleinen ist im vollen Gange!
Die Zeit des 19. - ca 21. Tages nennt man das Adhäsionsstadium.
Wenn das Anhaften abgeschlossen ist, ist die Verbindung zwischen Embryo und Mutter so stark,
dass eine Trennung ohne eine Schädigung nicht mehr möglich ist.

Die Gebärmutterhörner sehen dann so aus, Kügelchen an Kügelchen haben sich die Lillis verteilt :)
Ich hatte Würfe, da gab es ein Ungleichgewicht in der Verteilung.
In einem Horn waren nur zwei Welpen, in dem anderen fünf.
Das führte fast immer zu Komplikationen und es musste ein Kaiserschnitt gemacht werden.
Der Tag des Ultraschalls kommt langsam näher, aber wir brauchen noch Geduld!!
08.06.2021 - 20. Tag der Trächtigkeit
Erst einmal: Joe geht es den Umständen entsprechend sehr gut!
Sie hat relativ ruhig geschlafen, musste nur öfter ihre Lage verändern.
Heute geht es ihr richtig gut, musste soeben ein Spiel mit Phoebe verhindern ;)
...
Heute ist einer der spannendsten Tage in der Entwicklung unserer Lillis :)
Viele fragen mich: "Siehst du schon etwas?"
...mhhh, nein! .. :) denn schaut mal wie klein die Lillis zur Zeit sind:
![]()
Das merkt man im Bauchumfang nicht wirklich ;)
Die Entwicklung nimmt Fahrt auf!
Sie werden nun Schwanzknospenembryos genannt.
In der Vergrößerung versteht man warum:

Man kann die Augenbläschen erkennen, im dicken Mittelteil entsteht das Herz.
Ist das nicht ein Wunder? Plötzlich entsteht da ein Herz, es wird ca. morgen zu Schlagen beginnen!
Wie kann man glauben, dass so etwas zufällig passiert? Ich nicht!
Mir wird dann immer klar, welch großen Schöpfer wir haben :)
Auch alle anderen Organe starten mit der Entwicklung!!!
Wenn sie denn da sind, die Lütten..
Umso älter ich werde, umso mehr man erlebt hat, desto öfter denke ich, es hat bestimmt nicht geklappt..
Das wäre sooo traurig.
Aber gut, dann müssten wir wieder 7-9 Monate warten und neu starten.
Die Zeit vergeht ja auch flott..
Ahhh... ;) noch wenige Tage, dann wissen wir Bescheid!!!
09.06.2021 - 21. Tag der Trächtigkeit
Drei Wochen sind um!
Wenn wir trächtig sind, ist ein Drittel geschafft :)
Immer noch ist mein Schoss der liebste Platz:

Das Bäuchlein hat vorne 2 und hinten 1 cm Umfang zugenommen, das könnte aber auch
eine "Scheinschwangerschaft" bewirken... (62/69cm)
Läuft alles gut, erklärt folgendes ihr Ruhebedürfnis und ihr vieles Schlafen:
Um die Keimblasen, in denen unsere Lillis schwimmen, bildet sich gürtelförmig eine Plazenta.
Wie ein Ring liegt sie rundum, der Austausch der Nährstoffe und
der Abtransport der Abfallproukte des Welpen findet nur über die Gefäßwandungen hindurch an den Stellen statt,
wo sie mit Phoebe verbunden sind.
Jeder unserer Kleinen hat einen eigenen Blutkreislauf und somit auch eine eigene Blutgruppe :)
Obwohl so klein, können sich die Embryos bereits spontan bewegen.
Auch Hirnströme kann man in diesem Stadium schon messen.
Die Herzchen beginnen zu schlagen und alles wächst rasant.
Sie liegen nun wie eine Perlenkette in den Gebärmutterhörnern und sind fest mit Phoebe verbunden!
Noch eine gute Woche ist alles sehr empfindlich und so gehen wir auch mit Phoebe alles
sehr langsam an. Das passt gut, da Joe ja auch ruhen muss.
Also wird hier gerade ziemlich viel geschlafen :)
..nur Uli nicht, die ist zu aufgeregt ;)
10.06.2021 - 22. Tag der Trächtigkeit
Sogar unserem Nachbarn ist aufgefallen, wie ruhig es bei uns ist :) ;)
So auffällig war es wirklich selten:

Die beiden schlafen... ständig... überall!!
Bei Joe kann ich es verstehen, so frisch operiert..
.. und wenn die Phoebemaus nicht kleine Lillis ausbrütet, dann weiß ich es auch nicht!
Heute habe ich Phoebes Bauch etwas rasiert und am Samstag schau ich mal rein in die Maus!
Juhuu, soo :O aufregend!!!
In diesen Tagen entstehen winzige Knospen an den kleinen Embryos,
die sich nun in der klassischen Fötenstellung zusammenrollen.
An diesen Knospen entstehen die Vorder- und Hinterbeine :)
Auch die Anlage der Augen startet!
Die Augen, die einem so verzaubern können!!

Die kleine Mila, eine Joetochter, mächte in meine Arme :) 6 Wochen alt
... und gerade 10 Wochen alt :)

Noch 2 Tage, dann wissen wir es :)
11.06.2021 - 23. Tag der Trächtigkeit
Heute ist ein ganz ruhiger Tag!
Wir genießen das schöne Wetter und Phoebe liegt gerade vor unserer Eingangstür im Keller,
dort ist es am kühlsten und - wen wundert es? - schläft ;)
Heute sind die Ampullen, mit den "Früchtchen" drin, gut 1 cm groß.
Also immer noch soo klein :)
Die Anlage der Ohren, der Nase und des Kiefers beginnt!
Die Organe legen los und mit einem guten Ultraschall,
könnt man heute schon die Herzen schlagen sehen!!
Morgen ist der große Tag!
Mit meinem alten Gerät werden wir Einzelheiten nicht sichtbar machen,
aber hoffenlich schöne "Kügelchen" erkennen!
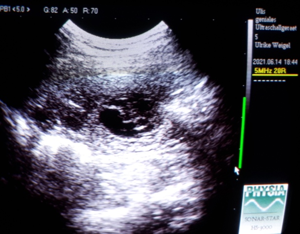
12.06.2021 - 24. Tag der Trächtigkeit
Der Ultraschall war so schön, Melli und ich konnten einige Lillis sehen :)
Herrlich!
Zählen unmöglich, ein normaler Wurf denke ich...
Das wird Überraschung bleiben!
Das Fotomachen war schwierig: Phoebe kraulen, schallen und knipsen war zu viel!
Immer wenn wir mal 3 gleichzeitig drauf hatten, war ein Atemzug später wieder alles weg ;)
Bin halt ein Laie, aber es geht ja auch nur darum zu wissen:
Juhuuu!!! Wir sind trächtig :) :)
Nun sind sie Realität, das ist sooo schön!
. 

13.06.2021 - 25. Tag der Trächtigkeit
Ich habe gerade in Phoebes K-Wurftagebuch geschaut;)
Kaum zu glauben denn da steht:
"Ich denke Phoebe hat mit Ultraschall geschaut, denn gestern Morgen war sie so still..
Und kurz vor Mittag hat sie ein wenig erbrochen, Übelkeit ist in diesen Tagen normal."
Denn wirklich, heute war sie auch sehr ruhig und hat etwas erbrochen...
Aber Hunger hat sie nun schon wieder :)
In der Entwicklung unserer Lillis liegt gerade der Focus auf den Zähnen!
Die Milchzähne sind soo spitz ;) hui, da haben wir alle noch Freude dran!!
Doch bereits im 4. Lebensmonat kommen die bleibenden Zähne,
und die sind viel runder und sie können auch sanft damit umgehen :)
Die Entwicklung kleiner Hunde geht soo schnell!
Genießt die ersten Wochen, auch wenn sie anstrengend sind!
Denn die Zeit ist so besonders, und auch besonders schnell vorbei ;)
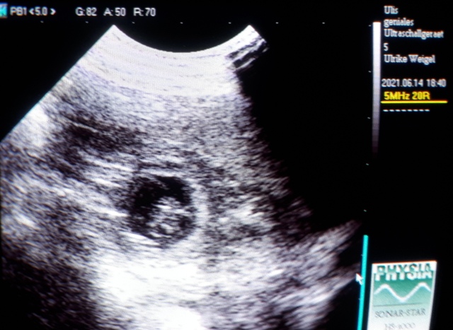
14.06.2021 - 26. Tag der Trächtigkeit
Heute geht es Phoebe viel besser!
Wir haben nochmal nachgeschaut :)
Unsere Lillis entwickeln sich prächtig und sind ganz schön gewachsen:

Wie ihr vielleicht erkennen könnt, gehen direkt neben der kleinen Furchthülle, beim
weiterführen des Schallkopfs, die nächsten Fruchthüllen auf (..links..)
Man kann ein Teil der Nabelschnur und im Hintergrund den Welpen erkennen.

Hier sieht man einen anderen Zwerg etwas besser :)
Bis morgen :)
15.06.2021 - 27. Tag der Trächtigkeit
Gerade habe ich rund telefoniert, um einen Zuchtwart für die Wurfabnahme im September zu bekommen.
Gar nicht so einfach, im September planen viele einen Urlaub ;) Kann ich auch verstehen!
Mal sehen, ob ich eine Lösung finde...
Bei unseren Lillis entwickeln sich seit gestern die Öhrchen, heute die Tasthaare und die
Hülle der Augen entsteht! Beine, Pfoten und Zehen sind schon deutlich erkennbar.
(Die Beinchen sieht man glaube ein bissel auf dem 2. Ultraschallbild von gestern ;)
Der Schädel und der Kiefer bilden sich..

Unser lieber Duke (immer im ♥ !!), zwei Wochen alt, in der Waage.
So ein goldiger kleiner Kerl, und diese unwiderstehlichen Öhrchen, das Näschen und die Pfoten...
...
Heute ist der letzte Tag, an dem man von einem Embryo spricht, ab morgen ist es ein Fötus!
Unsere Kleinen wiegen jetzt ca. 0,75 g (..nochmal "Danke! ;)" Bernhard :) und sind ca. 1,7 cm groß!
Eine so empfindliche Zeit, alles wird so fein gebildet.. ein Wunder!
16.06.2021 - 28. Tag der Trächtigkeit
Phoebes Bäuchlein hat ganz unbemerkt 2 cm zugelegt :) wir liegen nun bei 64/69 cm.
Die Hitze macht ihr zu schaffen, sie liegt immer da wo es am kühlsten ist... und schläft.
Soviel hat, glaube ich, noch keine meiner Hündinnen in den ersten Wochen geschlafen ;)
Ihre Milchleiste ist schon gut ausgebildet und die Zitzen haben sich vergrößert.
18.06.2021 - 30. Tag der Trächtigkeit
Sorry :) hier war soo viel los, hab vorgestern vergessen hochzuladen und danach war einfach keine Zeit ;)
Heute hole ich alles nach!
Wir sind wirklich schon in der 5. Woche... unglaublich!
Phoebe geht es sehr, sehr gut!
In den letzten Tagen ist viel passiert:

So leben zur Zeit unsere Lillis :)
Auf dem Bild sieht man oben und unten schön die Plazenta.
Sie umgibt die ganze Fruchthülle wie ein Gürtel (Gürtelplazenta).
Die Föten liegen in zwei Fruchthüllen.
Die Äußere nennt man Allantois, darin schwimmt der Fötus geschützt und
umhüllt in ein zweites, dünnes und durchsichtiges Häutchen, dem Amnion.
Bei der Geburt platzt das Allantois meist noch im Geburtskanal und macht durch die Flüssigkeit
alles gescheidig. Viele Welpen werden im Amnion geboren, welches die Hundemama sofort mit den Schneidezähnen öffnet und im gleichen Zug die Nabelschnur mit den Backenzähnen durchtrennt.
Phoebe hat ihre fünf Kindlys alle im Amnion geboren und dann die Fruchthülle geöffnet.
Für mich ein Zeichen, dass ihre Geburtswege weit sind, es eine leichte Geburt war!
Oft platzt aber auch das Amnion schon im Geburtskanal..
..dann ist es nicht so leicht den Welpen auf die Welt zu bringen.
Die Mama leckt den neugeborenen Welpen ziemlich kräftig ab, das bringt den
Kreislauf in Schwung und unterstützt Herz und Atmung.
Stoffe im Fruchtwasser und in der Nachgeburt unterstützen die Mütterlichkeit und die Milchbildung.
Ca. 3 lasse ich meine Hündinnen fressen. Mehr verursacht oft heftigen Durchfall.
Heute:
Die Embryonalentwicklung ist nun abgeschlossen, alle Organe sind angelegt
und man kann erkennen, dass es kleine Hundewelpen sind :)
Sie sind nun ca. 2 cm groß.
Sogar die Zitzen (die ja Rüden auch haben!) kann man schon erkennen.
Hoffentlich ist bei allen die Entwicklung bisher gut verlaufen!

Auch die Krallen der Kleinen wachsen nun :)
19.06.2021 - 31. Tag der Trächtigkeit
Jetzt werden die Lütten groß :)
Ca. heute haben die Gebärmutterhörner schon einen Durchmesser von 3 cm
und bei den Kleinen geschieht etwas kaum vorstellbares:
Weil der Darm gerade soo schnell wächst, wird er kurzfristig aus der Körperhöhle heraus verlagert!
Es kommt zu einem physiologischen Nabelbruch. Erst am 40. Tag wird der Darm wieder zurückverlagert.
Aber die gefährlichste Zeit ist vorbei, jetzt wird gewachsen und langsam steigere ich
die Futtermenge von Phoebe. Zur Zeit bekommt sie schon 3 Mahlzeiten, aber nicht mehr als sonst.
Sie liebt es, dass es so oft etwas gibt und man viel schneller bereit ist, ihr etwas zu zustecken ;)
Und Joe genießt mit! Es geht ihr übrigens gut, die Fäden sind gezogen und alles ist gut verheilt!
Sie hat nur noch etwas Probleme mit den innenliegenden Nähten.
Die Fäden lösen sich bei ihr nicht so gut auf, das Problem kenne ich von mir auch ;)
21.06.2021 - 33. Tag der Trächtigkeit
Ihr Lieben, die Hälfte ist um :) !
Phoebe geht es sehr, sehr gut! So ein wenig sieht man ihr an, dass sie runder wird.
Nur so ein bissel ;) sie hat von anfangs 60/67 cm nun einen Umfang von 65/70 cm.
Sie liegt nun meist auf der Seite, ich denke es drückt sonst zuviel :)

Sie genießt das -heute mal- kühle Pflaster :)
Ansonsten ist sie wieder ganz normal, schläft zwar noch viel und hat ständig Hunger,
aber ist viel agiler als die letzten Wochen :)!
Unsere Lillis sind jetzt ca. 2,5 cm groß!
Würde man sie sich mit der Lupe anschauen,
könnte man erkennen, wer ein Junge und wer ein Mädchen ist :)
25.06.2021 - 37. Tag der Trächtigkeit
Ihr Lieben, Phoebe geht es sehr gut!
Leider waren die letzten Tage sehr schwer, wir mussten Abschied nehmen von unserer lieben
Emmy, die bei meiner Freundin Nicole nebenan gelebt hat.
Sie ist ganz plötzlich, ohne Vorzeichen, von einem Moment auf den anderen gestorben.
Es hat uns allen den Boden weggezogen.
Zur gleichen Zeit bekam ich meine zweite Impfung,
die mich den nächsten Tag zum Liegen gebracht hat.
Sobald es mir besser geht und wir alles etwas verarbeitet haben, schreibe ich weiter!
27.06.2021 - 39. Tag der Trächtigkeit
Freude und Leid liegen dicht beieinander.. das habe ich schon so oft geschrieben :( !
Kleine Lillis entstehen... und man denkt nur an die Freude, die sie bringen.
Aber immer steht auch irgendwann der Abschied an, manchmal auch plötzlich...
Doch unsere Kleinen sind, gut gepolstert und geschützt vor all den äußeren Einflüssen, in den letzten Tagen
sehr gewachsen. Sie sind nun ca. so lang, wie der Plazentagürtel, der die Fruchthülle umspannt.
Durch das schnelle Wachstum rücken die Fruchtampullen jetzt aneinander .
Die Gebärmutterhörner sehen dann nicht mehr aus wie eine Perlenkette, sondern wie ein Schlauch.
Die Hörner beginnt sich im Bauch zu falten, da der Platz sonst nicht reicht.
Alle Organe sind vollständig angelegt und nun wird gewachsen!
Sie sind jetzt schon ca 6 cm lang :)
Dem entsprechend ist Phoebes Bäuchlein gewachsen:
Von 60/67 cm auf 70/77 cm :O!!
10 cm Umfangsvermehrung, ganz schön!!
In den nächsten Tagen versuche ich mal wieder Fotos zu machen!
28.06.2021 - 40. Tag der Trächtigkeit
Heute ein kleiner Gruß von unserem Klöschen :)

Sie schnauft, als wär ihr Bäuchlein sehr dick :O ..aber nein es ist noch klein!
Doch man sieht es jetzt und ihre Milchleiste ist schon sehr prall,
man merkt es ist ihr zweiter Wurf, da geht das alles viel schneller.
Die Lillis sind nun schon länger als der Plazentagürtel!
Gestern konnte ich mich nicht bremsen und hab sie nochmal besucht :)

Ich hab mal alles drumherum, wo nichts ist, blau gemacht,
in der Mitte quer seht ihr die Fruchthülle, darin der Welpe :) :)
Wahnsinn, wie sie gewachsen sind! Es ist die gleiche Einstellung wie immer!!
Links seht ihr den Kopf und dann nach rechts den Rücken.
Wir gucken quasi gerade von oben drauf...
Sie sind ganz schön munter! Herrlich :)
29.06.2021 - 41. Tag der Trächtigkeit
Bei mir beginnt der Nesttrieb ;)
Es werden Listen gedruckt und Dinge bestellt...
Temperaturkurven, Gewichstabellen und Geburtslisten..
Ziegenmilch, Streu, Welpenfutter, kuschelige Vetbeds für die Wurfkiste...
Ein Heftchen für euch alle wird vorbereitet.
So eine Freude, es geht bald los!!
Phoebe kugelt durch die Gegend und lässt zur Zeit sogar Joe abblitzen, wenn sie mir ihr spielen möchte!
Gut so! Immer schön schonen ab jetzt!
Aber spazierengehen ist suuper und im Garten stromern..
..ich glaube sie sucht schon einen geeigneten Platz für eine schöne Wurfkuhle..
Gegen Ende der Trächtigkeit wird viel im Garten gegraben,
das ist ein soo heftiger Drang, da kann man nicht gegen an ;)
Also gibt es, nach all den Hundemamas, die wir schon hatten, unter jedem großen Baum
in jedem Gebüsch (da haben wir viel von ;) eine Kuhle...
Eine wird meist auserkoren und tiefergelegt.. ;)
Ha... ich hatte recht, der Beweis:

Heute die erste Erdnase ;), bin gespannt wo die Kuhle der Lillis sein wird!
30.06.2021 - 42. Tag der Trächtigkeit
Morgen beginnt das letzte Drittel der Trächtigkeit!
Das Bäuchlein wächst, man kann fast zuschauen :)
..dreiviertel des gesamten Wachstums fällt in dieses Drittel!!
Die Gebärmutterhörner nehmen nun zwei Drittel der Bauchhöhle ein,
man hört es Phoebes an :) :)
Unsere Lillis werden in den nächsten Tagen die 9 cm erreichen.
Da alles so schnell geht, werden wir morgen Nachmittag ein letztes Mal vor der Welpenzeit,
nach De Helle fahren!
Am Montag oder Dienstag melde ich mich wieder :)
Bis dahin ♥
06.07.2021 - 48. Tag der Trächtigkeit
Wir sind wieder da :) und hatten es sehr schön!
Am ersten Tag waren wir im Meer:

Da es zu traurig war, dass Phoebe wg. ihrem Umstand nicht ganz ins Wasser durfte, waren wir nur einmal am Meer.
Dafür haben wir viele Wasserspiele auf dem Gelände gemacht ;)
Im Mobilheim hat sie sich immer die engsten Ecken ausgesucht um zu schlafen:

Unser Klöschen am 45. Tag
Ihr Bäuchlein hat in den wenigen Tagen wieder zugelegt:
Ihr Umfang beträgt nun 75/82 cm,
soviel hatten wir letztes mal 6 Tage später ;)
Ich bin sehr gespannt, wieviele sie ausbrütet!!
Die Kleinen sind wunderbar zu spüren ;)
Wenn man die Hand auf den Bauch legt, fühlt man Füßchen treten und Köpfchen drücken!
So herrlich ♥
07.07.2021 - 49. Tag der Trächtigkeit
Heute in zwei Wochen liegen wir bestimmt schon in den Vorwehen!
Höchste Zeit die Wurfbox aufzubauen :)
Unglaublich, wie die Zeit plötzlich so schnell vergeht!!
Phoebes Milchleiste ist so dick, die Kleinen brauchen wahrscheinlich nur noch zu schlucken ;)
Beim ihrem ersten Wurf hatte sie auch Milch im Überschuss... gut so!!
Wenn die Kleinen dann mit Milchbart von der Zitze abfallen und schlafen wie nur Babys es können...
...herrlich :)
Unser Klöschen ist soo anhänglich und sehr zart besaitet.
Schmusen, auf dem Schoß sitzen und immer da sein, wo wir sind, ist zur Zeit das Wichtigste!!
Nachts muss sie einmal mindestens raus.. die Lütten drücken auf die Blase.
Sie sind jetzt schon über 10 cm groß!!
Da sie mehrere kleine Mahlzeiten über den Tag verteilt bekommt, trinkt sie dementsprechend viel.
So umsorgen wir unseren Schatz und Joe genießt mit, denn auch ihre Mahlzeiten haben wir
verteilt, damit sie ihrer Tochter nicht beim Essen zuschauen muss :)
Die Vorfreude steigt und die Vorbereitungen laufen!
08.07.2021 - 50. Tag der Trächtigkeit
Wir haben das Gefühl, das Bäuchlein wächst täglich sichtbar ;)
Gestern:

Sie liebt es auf dem Rücken zu liegen, oft schläft sie auch so!
Wunderbar sieht man ihre dicke Milchleiste!!
Heute:

Sie hat die Form einer Hummel ;))
Und schnauft!! Lange liegt sie so nicht, dann läßt sie sich auf die Seite fallen.
Da kann man besser atmen!
...und es ist gewachsen: In nur zwei Tagen hat sie 3 cm Umfang zugelegt :O
Ich messe nur noch um den Nabel herum, da liegen wir heute bei 85 cm.
Soweit waren wir beim letzten Wurf am 60. Tag... uii!!
Würden wir heute ein Röngenbild machen, wären die Knochen der Lillis sichtbar.
Aber das machen wir nicht! Wir lassen uns überraschen ;)
Sie sind jetzt vom Köpfchen bis zur Schwanzspitze ca. 12 cm lang.
Die vorletzte Woche läuft...
09.07.2021 - 51. Tag der Trächtigkeit
Etwas verspätet, aber sie steht:

Sofort musste Phoebe erst mal schnüffeln :)
Nun machen wir sie gemütlich und stellen alles parat!
Heute Nacht war Phoebe das erste Mal unruhig und hat viel gesessen und sich kraulen lassen.
Mal an meiner, mal an Jürgens Seite ;)
Das ist ab jetzt öfter mal so, das kennen wir von allen Hündinnen.
Aber ich bin soo glücklich, dass es ihr soo gut geht.
Bisher lief ja alles wirklich ohne eine Sorge :)
Unsere Wurfbox, mit Liebe von Jürgen gebaut und öfter mal modifiziert, hat alle unsere Würfe gesehen.
Sie ist nun schon im 22. Jahr und immer noch spitze!
Ich hoffe, dass unser L-Wurf übernächste Woche problemlos hinein purzelt :)
10.07.2021 - 52. Tag der Trächtigkeit
Es wird langsam beschwerlich für Phoebe, und noch liegen ca. 11 Tage vor uns.
Sie ist sehr hungrig und mit jeder kleinen Mahlzeit macht man ihr eine Freude :)
Das ist schön, denn der Appetit wird in den letzten Tagen deutlich nachlassen.
Auch Spaziergänge sind noch super, aber die meiste Zeit liegt sie
vor meinen oder Jürgens Füßen und versucht zu schlafen...
.. doch das Bäuchlein macht auch das Schlafen nicht gerade leicht!
Alle Handtücher und Decken sind gewaschen, die letzten Vorbereitungen
werden in den nächsten zwei Tagen fertig sein.
Die Nächte sind jetzt unruhig, Phoebe möchte raus..
Sie muss oft und wird von dem Wunsch eine Wurfhöhle zu graben in Trapp gehalten.
Das ist ganz natürlich.
Erst in den letzten Tagen wird die Wurfbox interessant, z.Z. wird sie nur ab und zu abgeschnüffelt :)
11.07.2021 - 53. Tag der Trächtigkeit
Wenn Phoebe auf der Seite liegt, kann man die Bewegungen der kleinen Lillis soo gut sehen :)
Da streckt sich einer, da drückt ein Füßchen gegen Phoebes Bauchdecke... zu schön!!
Doch wenn Phoebe zur Ruhe kommt, wird es auch im Bauch ruhig und alles schläft.
Ich finde, diese Tage gerade ziehen sich so dahin.
Ich werde langsam ungeduldig und kann es kaum erwarten ;)
Dabei müsste ich die Ruhe und den Schlaf jetzt noch genießen...
das wird mir ab übernächster Woche ganz schön fehlen ;O
Umso älter ich werde, umso mehr!!
Aber Jürgen ist ja jetzt an meiner Seite, das wird richtig schön!!
Phoebes Appetit ist immer noch ungebrochen, sie frisst mit einem unglaublichen Heißhunger!
Und doch ist sie sehr zur Ruhe gekommen, hört oft in sich hinein und schaut mich
mit großen, saftigen Augen an. Alles ist mega gut durchblutet und sie sieht wirklich überall trächtig aus ;)
Ihre Milchleiste ist unglaublich dick... hoffe, das wird nicht noch mehr :o
Auch dieser Tag ist bald geschafft, bis morgen ihr Lieben!
13.07.2021 - 55. Tag der Trächtigkeit
Sorry, gestern hat es nicht mehr geklappt :)
Phoebe geht es nach wie vor sehr gut!
Sie weiß nicht mehr so richtig wohin mit dem Bäuchlein,
liegt viel auf der Seite und schläft, gut so!!
Aber Hunger hat sie!! Grooßen Hunger :)
Ich habe eben das Bäuchlein gemessen: 82/88 cm (angefangen haben wir bei 60/67cm) :O
Der Umfang am vergleichbaren Tag ihrer letzten Trächtigkeit lag bei 77/81 cm
Uii, ich bin so sehr gespannt!!
Die Kleinen sind nun ca. 15 cm groß ;)
Morgen ist ein wichtiger Tag! Bis dahin!!
14.07.2021 - 56. Tag der Trächtigkeit
Dieser Tag markiert einen Wendepunkt!
Ca. ab heute könnten die Welpen geboren werden, ohne, dass sie großen Schaden nehmen würden.
Die Lungen und andere wichtige Lebensfunktionen
sind geburtsbereit entwickelt :) Das ist wunderbar!
In dieser letzten Woche wird vor allem Gewicht zugelegt... :o ..arme Phoebe!!
Aber Hundewelpen werden sowieso in einem unreifen Zustand geboren!
Es dauert viele Wochen, bis alles wirklich fertig entwickelt ist!
Die Augen und Ohren sind geschlossen und vieles im Körper ist noch nicht ausgereift.
Deshalb herrscht auch in den ersten drei Wochen nach der Geburt, in unserm Wohnzimmer eine große Ruhe!
Die Mama und vor allem die Kleinen brauchen diese Zeit!
Phoebe schaut jetzt sehr "schwanger" aus den Augen und ist sehr ruhig!
Da war Oma Lilli ganz anders ;) die war immer ganz aus dem Häuschen und wollte ständig graben.
Joe war schon etwas ruhiger,
aber Phoebe ist wirklich ganz entspannt und sehr in sich gekehrt.
Bekuschelt und gekrault werden ist soo schön und sie isst nach wie vor mit großem Appetit :)
Die Lillis im Bauch sind sehr aktiv und munter ;) ;)
In den nächsten Tagen beginne ich mit dem Temperaturmessen,
warum erzähle ich euch morgen :)
16.07.2021 - 58. Tag der Trächtigkeit
Nun bin ich gestern wieder nicht zum Schreiben gekommen...
Es ist noch so vieles zu erledigen und vorzubereiten, ab nächste Woche bin ich ja ziemlich gebunden :)
Phoebe ist soooo trächtig!
Sie stöhnt und ächzt, wenn sie sich legt, den Bauch verstauen ist gar nicht so leicht ;)
Aber sonst alles unverändert, Appetit ungebrochen, wenn auch die Mahlzeiten immer kleiner werden.
Es passt einfach nicht mehr viel rein ;)
Dafür gibt es halt öfter etwas.
So dicht und gequetscht liegt sie momentan immer bei uns, hier beim Frühstück heute morgen:


Immer erst so halb auf dem Bauch, das geht nicht lange, dann wird sich auf die Seite gelegt ;)
Ich wollte euch gestern vom Temperaturmessen erzählen, dann also heute!
Dafür kopiere ich immer den Text aus einem meiner Wurftagebücher,
in dem ich es ganz ausführlich aufgeschrieben hatte:
Die normale Körpertemperatur eines Hundes liegt so um die 38,2 Grad.
Während der Trächtigkeit beträgt die Körpertemperatur ca. 38,5 - 39,0 Grad Celsius.
Diese leichte Temperaturerhöhung wird auf die hohe Progesteronkonzentration zurückgeführt.
Progesteron ist das Hormon, welches von den weiblichen Eierstöcken nach dem Eisprung produziert wird.
Es unterstützt und erhält die Schwangerschaft/Trächtigkeit, aber es besitzt auch noch andere wichtige Funktionen.
Gegen Ende der Trächtigkeit ( 8 -10 Tage vor der Geburt ) sinkt der Progesteronspiegel,
ebenso die Temperatur auf zunächst 38,0 Grad ab.
24 - 36 Stunden vor der Geburt stürzt der Progesteronspiegel nochmals steil ab.
So ist auch der Temperaturabfall 24 Stunden vor der Geburt um 1 Grad auf unter 37 Grad zu erklären.
Bis auf den H-Wurf, hatten unsere Hündinnen immer einen Tag vor der Geburt für eine gewisse Zeit eine
Körpertemperatur unter 37 Grad (36,7....manchmal sogar 36,2)
Um diesen Zeitpunkt mitzubekommen messe ich drei Mal täglich und habe mir wieder
fest vorgenommen, total ruhig zu bleiben bis die Temperatur GANZ unten ist!
Soweit der kopierte Text!
Heute morgen habe ich mit dem Messen begonnen und wir lagen um 9.00 Uhr bei 38 °!
Perfekt :)
Phoebe macht das alles ganz hervorragend und bisher geht es ihr wirklich spitze :)
17.07.2021 - 59. Tag der Trächtigkeit
Entschuldigt bitte, ich hatte gestern geschrieben, aber nicht hochgeladen, habs gar nicht gemerkt :O :(
Hier alles von gestern:
Heute war die ersten Temperaturschwankung unter 38°!
Alles läuft nach Plan :)
Phoebe muss jetzt nachts oft ein kurzes Pipi und hat immer mal Vorwehen.
Dann sitzt sie bei mir, die Vorderbeine fest an den Bauch gedrückt und den Mund geschlossen.
Das dauert eine Weile, dann wird gehechelt und dann kommt wieder eine Zeit der Entspannung.
Es wird viel geschlafen, bisher ist noch kein großer Buddeltrieb da.
So genießen wir die letzten ruhigen Tage ;))
Der Bauch hängt jetzt tief, alles ist weich und locker geworden.
Wir sind jetzt in den Tagen vor der Geburt und wieder ist Phoebe so wunderbar gelassen und ruhig :)
....
Schreibe diesen Text, draußen scheint die Sonne.. ich will nach Phoebe schauen,
die vor der Wintergartentür in der Sonne geschlafen hatte..
..und finde sie im Gebüsch, in ihrerm Buddelloch graben ;) :) :O
Also doch alles wie immer :)
Nun kommt sie gerade rein und schaut nach mir...

Erdnäschen :)
18.07.2021 - 60. Tag der Trächtigkeit
Heute ist Phoebe ganz verändert, sie ist sehr vorsichtig und sensibel!
Sie lehnt sich an mich, ruht, schläft und ist ganz in sich selbst gekehrt.
Sie hat die ersten Wehen, hechelt und grunzt ab und zu.
Das hatten wir beim letzten Mal am 60. Tag genauso!
Ihre Temperatur ist bei 37,6, das ist noch nicht ganz tief.
Ihre morgen und mittag Mahlzeit hat sie verputzt, die vom Nachmittag wollte sie gar nicht.
Das erste Mal! Aber etwas Birne und Chinakohl (den liebt sie!!) ging dann doch.
Auch ein Spaziergang war drin.

Hier könnt ihr schön ihren dicken Bauch sehen!
Er misst nun 84/91 cm im Umfang und hat überall 24 cm zugelegt.
Von der Zunahme etwas mehr als beim letzten Mal, vom Umfang her einiges mehr (80/85 am 60. Tag)
Vielleicht liege ich mit meinem Tipp 6 bis 7 richtig?? Es bleibt spannend ;)
Gerade hatten wir unsere erste Kistenzeit:

Phoebe nahm mich quasi mit in die Wurfkiste und setzte sich auf meinen Schoß.
Dort verbrachten wir eine kleine Wehenzeit. Das wird jetzt öfter so sein!
19.07.2021 - 61. Tag der Trächtigkeit
Ihr Lieben, wir haben Wehen!
Die Temperatur war heute morgen früh bei 37°, das war das letzte mal der Startschuss..
Phoebe ist sehr, sehr ruhig!
Nun hat sie sich für die Wurfkiste entschieden und liegt ganz still darin.

Ab und zu wird gehechelt und
gerade steht sie schwanzwedelnd ich der Küche und freut sich über ein Stück Fleischwurst :)
Jetzt wird es spannend!!!
20.07.2021 - 62. Tag der Trächtigkeit
Es ist immer so anstrengend!
Ich empfinde die Eröffnungswehen als die kräftezehrendste Zeit der gesamten Welpenzeit!
Man kann nichts tun, muss nur mitleiden und abwarten.. und alles erscheint einem ungewiss!
Gestern Abend um ca. 18.30 Uhr ging es richtig los.

Seit dem wird durch gehechelt, mit sehr kurzen Päuschen.
Alles was im Garten und Haus an Spielzeug lag, wurde gesammelt und an die Zitzen gelegt.

Selbst dieses Handtuch, was von den Gartenaktionen verschmutzt war,
wurde aus dem Wäschekorb wieder zurück geschleppt und in dem Sammelsurium integriert ;)
So lag sie erst im Flur, dann legten wir ihr Bettchen vor mein Bett
und am Morgen haben wir sie mit Bett umgesiedelt in die Wurfkiste:

Aber es tut sich sonst noch nichts. Ich bin fix und alle, kann ja immer nicht schlafen :(
Phoebe ist eigentlich recht "entspannt", unter ihren Umständen.
Bei den fast stündlichen Gartenrunden hörte ich einen komischen Lärm...

Ein noch sehr kleiner Waschbär hatte sich in unserm Mülleimer gütlich getan, alles schön zerrupft..
... kam aber nicht mehr heraus, er war einfach zu klein!
So ein kleiner, frecher und goldiger Kerl ;)
Ich habe ihn befreit, er hatte es gar nicht soo eilig wegzulaufen :)
So sitze ich hier im Wohnzimmer und schreibe euch, Phoebe hinter mir in ihrer Kiste..
hechelt und hechelt... die Temperatur ist immer noch unten..
.. es kann noch dauern!
Übrigens liegt ihr Bauchumfang heute bei 93 cm.. ich finde das ist genug!!!
Ich melde mich ;)
21.07.2021 - 63. Tag der Trächtigkeit
Nun habe ich Kraft zu schreiben!
Jürgen hat heute Nacht eine lange Schicht übernommen (Daaanke♥:)
und ich habe einige Stunden am Stück geschlafen (ich schreibe dies am 22.7.)
Es war alles nicht so leicht, obwohl es ganz normal begann:
Die Geburt fing am Abend des 62. Tages(20.07.) ganz problemlos an.
Der erste Welpe wurde um kurz vor 22.00 Uhr geboren,
45 Minuten danach der Zweite.
Dann kam ein Päuschen... und oranges Fruchtwasser... das habe ich noch nie gesehen.
Phoebe begann viel Wasser zu trinken und mir wurde klar, da stimmt etwas nicht.
Mit viel Mühe und letztendlich der Hilfe von Ärztin Steffi wurde der 3. Welpe um 0.30 Uhr geboren.
Sofort danach kam völlig leicht Nummer 4 auf die Welt.
Alle 4 topfit, hingen sofort an Phoebes milchreichen Zitzen!
Wir dachten, alle Schwierigkeiten wären nun geschafft,
der Bauch war noch dick.. es ginge bald weiter...
Wieder kam eine kleine Pause, verständlich nach der Anstrengung.
Dann begann Phoebe zu Pressen... und nach einer halben Stunde stand sie wieder am Wassernapf..
:(
Die Presswehen wurden stärker und ich untersuchte sie,
ob vielleicht wieder ein Welpe im Geburtskanal feststeckte.. doch da war gar nichts..
Mir wurde sofort klar, da ist etwas gar nicht in Ordnung.
Nach kurzem Telefonat mit Steffi, trafen wir uns in der Praxis.
Schnell wurde die Entscheidung getroffen, es muss ein Kaiserschnitt sein.
Leider lag ein toter Welpe etwas quer und hatte alles andere aufgehalten.
Die drei Welpen die hinter ihm lagen, waren alle sehr schwach, teilweise leblos..
Mit viel rubbeln, beatmen und Mühe bekam ich ein Mädel wieder ins Leben,
die anderen haben es nicht geschafft.
Es war soo traurig!!!
Vielen Dank Steffi, für alles! Und Frau Hammer für die Hilfe!!
Phoebe brauchte lange bis sie wieder laufen konnte,
wir waren erst um nach 5.00 Uhr zu Hause!
Herzlichen Dank Melli ♥ , für alle Hilfe, dein Dasein und, dass du die 4 Kleinen in der OP-Zeit behütet hast!

Allen geht es den Umständen entsprechend gut!
Phoebe hat sich sehr schnell erholt, hat schon mit narkosegeschwächter Zunge ihre Babys geputzt
und ist die beste Mama, die man haben kann!
Unser kleines Kaiserschnitt-Mädel hat es schwer, aber sie ist soo eine Kämpferin!!!
Die anderen hatten ja schon stundenlang Milch und Pflege von Mama Phoebe.
Geschwächt durch die schwere Geburt und die Narkose, brauchte sie lange um fit zu werden.
Ganz langsam schafft sie es heute(23.7.)ab und zu alleine eine Zitzte zu ergattern.
Wir haben ihr tropfenweise Welpenmilch gegeben, um ihr zu helfen. Denn sie war mit 390 g mit die Leichteste!
Doch am Abend ihres Geburtstages zeigte das Wiegen, sie muss auch Mamamilch bekommen haben -
bei den unzähligen Malen, an denen wir sie angelegt haben :)
Denn sie hatte 20 bis 30 g zugenommen :) :) was eine Freude :)
Alle anderen 70 g... mal wieder Phoebes Wundermilch..
denn oft nehmen Welpen am ersten Tag ab... doch am gleichen Tag der Geburt 70 g mehr ist der Hammer!!
Die Geburtsgewichte lagen alle um die 450 g!
Der orange Junge war etwas dicker, brachte 540 g auf die Waage, hatte gestern Abend also schon 610 g :)
Wenn es so weitergeht, wird alles gut..
..am Ende der ersten Woche werden wir besser sehen, ob auch die Kleine es schafft!
Und wieder ist ein Tagebuch gefüllt... unglaublich was man alles erlebt!
Und wieder Danke ich meinem Herrn Jesus, dass er uns Kraft gegeben,
und uns fünf kleine Wunder ins Nest gelegt hat :)

... aus der nächtlichen Kuschelkiste :)
Ende
Weiter geht es, in einigen Tagen, auf der Seite unseres L-Wurfes :)