Lilli und Hugo haben am 13. und 14. April Hochzeit gefeiert :)
Und so ging es los:
31. März 2014
Heute morgen habe ich meinen Augen nicht getraut... Lilli tropft, sie ist läufig!!
Über einen Monat vor dem erwarteten Termin.. Lilli ist immer für eine Überraschung gut!
Also geht es diesmal ohne langes Warten los ;) und ich muss meine ganze
Frühjahrsplanung umwerfen :).. aber mache ich ja gerne!!!
Morgen werden Emmy, Lucy und Lotta aus unserem G-Wurf geröntgt.
Danach werde ich den Papa unseres H-Wurfes bekannt geben :) :)
Fest steht:
Unser H-Wurf wird ca. Mitte Juni geboren und Mitte August kommen die Kleinen in ihre neuen Familien :)
02.04.2014
Nun steht es fest! Hugo und Lilli sind mein Dreamteam :)
Die drei Röntgenuntersuchungen waren super, die Augenuntersuchung bei allen sieben G-oldies
war spitze.. das heißt für mich: Eine Wurfwiederholung steht an :)
04.04.2014
Soeben habe ich den Deckschein bestellt und einen Termin für die erste Deckzeitbestimmung gemacht.
Es geht wirklich los :)
07.04.2014
Heute ist der 8. Tag der Läufigkeit. Lilli ist auf Herz und Nieren geprüft und für fit befunden worden :)
Im Zellbild waren noch viele Zellkerne zu sehen, d.h. alles normal für den 8. Tag.
Der Progesteron lag um 1,6 ... es wird wohl das kommende Wochenende werden.
Gerstern hatten wir unser 6. Treffen aller Würfe .. es war sooo schön.
Danke den vielen Helfern!! So konnte ich den Tag einfach nur genießen, es war herrlich!!!
10.04.2014
Der 11. Tag :) Lillis Progesteron liegt bei 2,3.. d.h. wir haben immer noch Zeit.
Wenn ich mit den anderen Würfen vergleiche wird es wohl der Sonntag werden :)
Sie wartet also schön ab, bis es mir besser geht.
Bin ja diese Woche noch krankgeschrieben und soll ausruhen :)
Bei der Untersuchung wird immer auch die Schleimhaut angeschaut
- die sieht bei Lilli jetzt schon so aus, als ob es los geht... -
und ein Abstich gemacht.
Dieser wird dann unterm Mikroskop angeschaut. Dies sah heute ungefähr so aus:

Die Zellen waren noch nicht verhornt oder gerollt und die Zellkerne gut zu sehen, aber es waren
schon weniger Kerne als am Montag. Diese werden bis zu den Eisprüngen immer mehr verschwinden.
12.04.2014
Wir fahren jetzt zum Progesterontest und nehmen den Koffer mit :)
Wenn der Wert passt, fahren wir direkt weiter Richtung Bodensee
und ihr werdet 2-3 Tage nichts von mir hören!
Wenn es zu früh ist, werde ich in ca. 2 Stunden weiter Tagebuch schreiben ;) ;)
Bis dahin!!
...bis hierhin :) wir sind wieder zu Hause!
Nachdem wir seehhr lange auf das Ergebnis der Blutuntersuchung warten mussten,
war die Enttäuschung schon da, dass der Wert erst bei 3,9 lag..
Nachdem wir das Zellbild angeschaut hatten, lag unser Tipp so bei 6... noja.. dann eben morgen!
Morgen ist der 14. Tag, das hört sich gut an, denn bisher ist sie immer am 14. Tag gedeckt worden :)
Wir fahren einfach los und verlassen uns auf Hugoschatz :) er wird es schon wissen!!
Also ihr Lieben: Der "Lilli-Krimi" läuft!!!
13. und 14. April
Alles gut :) die Zwei waren sich sooo schnell einig :)
Zwei wunderbare Deckakte, Lilli hat es genossen ;) Hugo ist aber auch ein Prachtkerl!!

Bei wunderbarem Wetter konnten Claudia und ich mit genießen!

Lilli lag total entspannt auf mir und hat Hugo fast 20 Minuten festgehalten :)
Danke, liebe Claudia und lieber Uwe, für die Gastfreundschaft, die schöne Zeit und den leckeren Kuchen!!!
Mein Mann und ich haben uns wieder soo wohl gefühlt!
Nun heißt es abwarten... bis zum ersten Ultraschall sind es noch 4 lange Wochen!!
Aber da ich ja gerne früher spekuliere :) :) und eine Beschäftigung für die langen Wochen brauche startet
heute wieder das Messen von Lillis Bauchumfang:
Genau wie beim letzten Wurf 67 cm an der schmalsten Stelle und hinter dem Rippenbogen 73 cm :)
Los geht es!!! Juhuu :)
15. April - 2. Tag
Was geschieht nun heute in Lilli? Hugos Spermien sind unterwegs zu Lillis Eileitern und kommen im
Laufe des Tages dort an! Dort warten hoffentlich viele kleine reife Eizellchen auf die wilde Horde :) :)
Oh wie wäre das so schön!!
Der errechnete Geburtstermin ist ca. der 15. Juni
(....wir wissen ja aus Erfahrung, dass Lilli Krimis liebt
und die Geburtstermine auch schon mal ganz anders liegen ;) ;) )
und um den 16./17. August dürften die süßen Fellknäule bei ihren neuen Familien einziehen :)
Ob das Zusammentreffen der kleinen Hugos und der kleinen Lillis erfolgreich war,
wissen wir nach der Ultraschalluntersuchung, die ca. am 12. Mai sein wird.
16. April - 3. Tag
Lilli schläft viel, das ist immer ein gutes Zeichen :)
Sie ist zur Ruhe gekommen, die Standhitze ist vorbei!
In ihren Eileitern treffen heute Hugos Spermien auf Lillis Eizellen...
die Befruchtung findet statt... welch ein Wunder!
Ich bin soo gespannt auf das was kommt :)
19. April - 6. Tag
Lilli schläft sehr viel, Ihre Läufigkeit geht nun langsam zu Ende.
Wenn alles gepasst hat, sind Lillis Eizellen und Hugos Spermien nun vereint :)
und die erste Zellteilung hat stattgefunden, das könnte so aussehen:

Während sie sich weiterentwickeln sind sie unterwegs und mussten sie sich aufteilen, nach rechts und links.
Eine Hündin hat nicht eine Gebärmutter sondern zwei Gebärmutterhörner.
Die sind das Ziel der kleinen Kügelchen :)
wir werden sie in den nächsten Tagen weiter verfolgen!
21. April - 8. Tag
In Lillis Körper gehen nun die ersten Veränderungen vor, die Gebärmutter bereitet sich langsam
auf die Einnistung der kleinen "Kügelchen" vor. Die nennt man nun Morula (Maulbeerkeime)
Das Nest wird gemacht :)
Auf dem Weg dorthin teilen sich die kleinen Zellen sehr schnell und werden immer größer.
Es ist noch ein langer Weg bis zu einer Trächtigkeit und vieles kann dazu führen,
dass Lilli leer bleibt. Ich muss mich in Geduld üben!!

Derweil schläft die Maus sehr viel, was ein gutes Zeichen ist :)
22. April - 9. Tag
Wenn befruchtete kleine H-ummelchen unterwegs sind, sehen sie jetzt ungefähr so aus:

Von außen hat es ab dem 10. Tag die Form einer Zitrone :)
Diese frühen Embryos nennt man jetzt Blastozysten (Keimblase). Sie befinden sich immer noch im Eileiter
und werden u.a. durch Kontraktionen des Eileiters in Richtung der Gebärmutterhörner transportiert.
Oh, es ist jedesmal soo spannend sich damit zu beschäftigen!
23. April - 10. Tag
Ich bin "mal wieder" krank, dieses Jahr ist bisher in der Beziehung nicht so doll für mich...
Eine Grippe hat mich kurz vor Ostern erwischt.
Noch ziemlich davon erledigt verbringe ich momentan viel Zeit auf dem Sofa.
Das nutzt Lilli :)
hier ist mein Bauch
aufhören??..das geht nicht!
denn, werdende Mamas
brauchen das!! :)
Die kleinen H-ummelchen sehen nun so aus:

(Entnommen aus meinem Buch "Neonatologie beim Hund", der "Fleck" ist die Neuralrinne :)
und sind natürlich winzig, winzig klein - so ca. 0,6 mm :) Immer noch sind sie unterwegs und bewegen sich frei, sind aber nun auf dem Weg in die beiden Uterushörner :)
Wenn sie dort ankommen wird es spannend!!
25. April - 12. Tag
Nun geht es langsam auf einen sehr spannenden Moment zu!
An Lillis Gebärmutterhörnern entstehen lokale Anschwellungen (Ampullen), das sind die Stellen,
an denen die kleinen H-ummelchen "andocken" werden ( das nennt man dann Implantation)
Damit dieser erste Kontakt zwischen Lilli und den Kleinen überhaupt möglich ist, muss
die Blastozyste quasi aus ihrer Haut schlüpfen.
Das ist die Grundlage für das Wachstum des Embryos und die Kontaktaufnahme mit Lilli :)

Aber das mit dem Andocken bei Mama dauert noch einige Tage...
Heute hatte Lilli viel Besuch, das liebt sie ja sehr :) aber noch lieber sucht sie momentan Ruhe,
da Osterferien sind ist unser Haus von Gasthunden bevölkert und sie zieht sich dann schon mal gerne zurück!
Recht so!!! :)
27. April - 14. Tag
Nun beginnt die Implantation! Ca. heute befindet sich diese Entwicklung im Vorkontaktstadium.
Das heißt, dass die H-ummelchen wahrscheinlich jetzt alle den Platz gefunden haben,
wo sie in den nächsten Wochen fest mit Lilli verbunden sind.
Doch noch besteht keine sichtbare Verbindung zwischen den Kleinen und der Mama.
Ich hoffe sehr, dass sie sich gleichmäßig in beiden Uterushörnern verteilt haben,
denn eine ungleiche Verteilung (2/6) war bei unserem G-Wurf der Grund für einen Kaiserschnitt.
Das schwere Horn, mit den sechs Welpen hatte sich durch das große Gewicht
und das fehlende Gegengewicht abgeknickt.

So sieht die Gebärmutter bei einem Hund aus.
Hier sind die beiden Gebärmutterhörner schon mit den kleinen Embryos gefüllt,
sie sieht dann aus sie eine Perlenkette :)
Nun wird es wieder ruhiger im Haus, nur klein Ginger ist noch hier, ein Lilli-Hugo-Baby.. 
..hier mit ca. 10 Wochen... und so freuen wir uns schon auf die Geschwisterchen :)
Und Lilli schläft..und ruht..und kuschelt..und schläft..das sind sehr gute Zeichen :) :)
28. April - 15. Tag
In den Uterushörnern läuft nun die Implantation weiter ab.
Als nächstes nehmen die H-ummelchen an punktförmigen Kontaktstellen Verbindung zu Lilli auf :)
Dies nennt man Appositionsstadium, danach kommt das Adhäsionsstadium.
Die Verbindung zwischen Embryo und Mutter ist dann so stark, dass eine Trennung ohne
eine Schädigung nicht mehr möglich ist.
Lilli ist momentan sehr empfindsam und ständig in meiner Nähe :)
Wir geben gut auf sie acht, denn es kann jetzt so viel schief gehen.
Bis zum 28. Trächtigkeitstag können die Fruchtanlagen einfach absterben
und werden sie meist unauffällig resorbiert. Krankheiten, Stürze oder Schocks können vor allem
in diesen Tagen eine schlimme Auswirkung haben.
Wenn alles in Ordnung ist und Lilli wirklich aufgenommen hat,
dann sind die Kleinen jetzt ca. 1 mm groß :) :)
29. April - 16. Tag
Wenn kleine H-ummelchen da sind,
haben sich bei ihnen die drei Keimblätter (Ektoderm, Entoderm und Mesoderm) entwickelt.
Aus diesen Keimblättern entwickeln sich die Organanlagen.
Als Erstes entsteht heute aus dem Ektoderm das Neuralrohr, das ist der Vorläufer von
Gehirn und Rückenmark. Aus dem Mesoderm haben sich die Somiten (Urwirbel) gebildet.
Noch sind die Kleinen nicht mit Lilli verbunden, die Implantation dauert noch ca. bis zum 20. Tag.
Nachdem sie fest verbunden sind, tritt bei der tragenden Hündin oft ein glasiger Ausfluss auf,
den wirklich nur tragende Hündinnen haben. Scheinträchtige Hündinnen haben alle anderen
Anzeichen genauso wie die tragenden Hündinnen, die Zitzen schwellen an, das Gewicht steigt, sie schlafen
viel und schonen sich - doch der Ausfluss ist ein sicheres Zeichen für eine Trächtigkeit.
Nur ist Lilli so reinlich, dass man ihn meist erst entdeckt, wenn wir durch die
Ultraschalluntersuchung schon wissen, dass sie tragend ist :) :)
Momentan packe ich gerade meinen "Hebammenkoffer" :) :) Monas Geburt
steht kurz bevor. Mona ist auch ein Enkelchen unserer Daika und ich freue mich
schon darauf, ihr bei der Geburt bei zu stehen und mit Katja und Peter das Wunder des Lebens
mit zu erleben :)

Einer von Lillis Jungs :) ...kleiner Vorgeschmack :)
30. April - 17. Tag
Lillimaus ist da wo ich bin :) wie ein kleiner Welpe folgt sie mir auf Schritt und Tritt.
Wir genießen die Zeit in vollen Zügen, das Kuscheln und die Nähe... ist es
doch ihr letzter Wurf. Das letzte Mal erlebe ich mit ihr dieses Wunder.
Wir beide kennen alle Abläufe so gut und sind gut eingespielt.
Wie wird es mit Joe sein.. ich bin gespannt.
Vielleicht bekommt sie schon in diesen Herbst/Winter die ersten Babys :)
Die kleinen H-ummelchen wachsen jetzt sehr schnell.
Heute sind sie schon ca. 2 mm groß!
Hoffentlich sind sie da, die kleinen H-ummelchen :)
1. Mai - 18. Tag
Wir wünschen Euch allen einen schönen, sonnigen 1. Mai.
Wir fahren mit Lilli und Joe zu Abby (Schwester unserer Annie, aus unserem A-Wurf) und
Enzo Lillis Sohn :), die beide bei unseren Freunden leben.
Das wird schön :)
2. Mai - 19. Tag
Jetzt ist jedes H-ummelchen an seinem Platz :)
Was ich total irre finde ist, dass die Kleinen, solange sie noch frei beweglich sind, von
einem Uterushorn ins andere wandern, wenn dort kein freier Platz mehr ist!
Keiner weiß woher der Anstoß dazu kommt, ich finde es ist ein Wunder.
Vielen Hündinnen ist es in diesen Tagen übel, einige verweigern das Essen...von Lilli kennen wir das nicht :)
Sie frisst allzugerne :)
Nun, wo sie ihren Platz gefunden haben, bildet sich für jeden der Kleinen eine Plazenta.
Sie überwuchert die Keimblase und bildet einen gürtelförmigen Ring um die Mitte des H-ummelchens,
das momentan ähnlich gebogen aussieht wie eine Bohne.
Die Kapillaren der Plazenta mit dem Blut von Lilli und die Zotten des Keimlings mit dem Blut des
heranwachsenden H-ummelchens sind getrennt, berühren sich aber
und führen durch die Gefäßwandungen hindurch den Austausch der Nährstoffe einerseits und den Abtransport der Abfallprodukte des Welpen andererseits.
Jedes H-ummelchen hat einen eigenen Blutkreislauf mit einer oft von Lilli abweichenden Blutgruppe
Man kann schon Hirnströme registrieren und sie bewegen sich spontan.
...und wieder einmal denke ich: HOFFENTLICH hat es geklappt :) :)
3. Mai - 20. Tag
Heute fällt der Startschuss für die rasante Entwicklung der Kleinen :)
Die H-ummelchen sehen jetzt schon aus, wie man sich die Embryos so vorstellt,
zusammengerollt in der klassischen Fötenstellung, den Kopf nach vorne geneigt.
Man nennt sie nun Schwanzknospenembryo.
Heute entstehen die Augenbläschen und das Herz, wie wunderbar!
Alle Organe beginnen nun mit der Entwicklung...

...und Lilli liegt seelenruhig neben Jürgens Säge, mitten im Sägemehl, sonnt ihren Bauch und schläft :)
4. Mai - 21. Tag
Die kleinen Herzchen beginnen nun zu schlagen, obwohl die H-ummelchen heute
erst ca. 5 mm groß sind :) :)
Sie sind nun felsenfest mit Lilli verbunden.
Ich bin soo gespannt und kann den Ultraschalltermin kaum erwarten.
Bei dem superschönen Wetter waren wir in unserem tollen Wissenbacher Wald mit
lieben Freunden spazieren, danach gab es lecker Essen und dann heißt es:

5. Mai - 22. Tag
Bei den Kleinen ist richtig viel los :)
Sie wachsen soo schnell, heute sind sie schon fast 1cm groß!
Sie sind ab heute richtig sichtbar, man könnte den Herzschlag schon feststellen
(mit den entsprechenden Gerätschaften :)
Heute würde man auch die Knospen der Beine sehen können!
Auch die Anlage von Leber, Kiefer, Augen, Ohren und Nase beginnt heute.
In den nächsten 8 Tagen sind die H-ummelchen sehr gefährdet.
Da sich nun alle Organe ausbilden, kann auch viel schief gehen.
Deswegen passen wir auch sehr gut auf Lilli auf.
Jeder Virus, jede Verletzung könnte schlimme Folgen haben.
Nicht mehr lange bis zum Ultraschall...ohh ich hoffe soo, dass es geklappt hat!!
7. Mai - 24. Tag
Gestern hatte mein ältester Sohn Geburtstag, aber heute gibt es hier wieder Neuigkeiten ;)
Die Entwicklung der Lütten ist in vollem Gange!
Die Nervenstränge in der Wirbelsäule entstehen, die Zähnchen werden angelegt :)
Hoffentlich sind viele kleine H-ummelchen da, die an uns mit spitzen
Welpenzähnchen knabbern :)
..mhh.. Lillis Bauchumfang ist unverändert... bei den letzten Trächtigkeiten hatte
sie jetzt immer schon etwas zugelegt. Aber alle anderen Zeichen sind gut,
also bin ich trotz aller Zweifel (die ich immer habe!!!) auch voller Hoffnung!!!
8. Mai - 25. Tag
Die H-ummelchen sind jetzt so groß wie ein kleiner Walnusskern :)
Ab morgen beginnen viele schöne Einzelheiten zu entstehen..
..ich werde es Euch erzählen :) :)
Heute bekommen wir Besuch von Lillis Tochter und Joes Schwester Joy :)
Sie soll auch bald das erst Mal Mama werden!
9. Mai - 26. Tag
Happy Birthday Lilli und Mika :) :)
Sieben Jahre werden sie heute alt und:
Überraschung!!
Wir waren schon heute beim Ultraschall :) :) und wir bekommen H-ummelchen!!!!!!!!!!
Juhuuu!!
Unsere Tierärztin Kerstin konnte am Montag nicht, deswegen sind wir heute nur mal
gaaanz kurz hin und haben sofort 3 Kügelchen gesehen.
Da es aber noch sehr früh ist, haben wir uns damit zufrieden gegeben und werden am
nächsten Freitag den Hauptultraschall mit Fotos machen :) :)
Aber nun steht fest: Alle Vorzeichen waren richtig gedeutet.
Jetzt macht es solch einen Spaß zu schreiben was heute passiert:
Denn es bilden sich diese unwiderstehlichen Öhrchen :)
Beim neugeborenen Welpen stehen sie ab wie kleine Dreieckchen..

und sind soo zart :)

Die Öhrchen sind die ersten vierzehn Lebenstagen geschlossen!

Genauso wie die Augen, die beginnen sich meist ab dem 9./10. Tag zu öffnen :)
Ihr Lieben, ich freue mich soo!!!
Und Lilli war wieder soo cool! Sie springt auf das Luftkissen, da sie in Rückenlage
geschallt wird und liegt total relaxt dort. Zu Beginn wird der Bauch rasiert,
alles kein Problem... dann das kalte Gel.. egal :) :)
Selbst als alles vorbei war und der Tisch nach untengefahren wurde,
blieb sie, alle viere von sich gestreckt auf dem wackelnden Tisch liegen :) :)
Eine Supermaus :)
10. Mai - 27. Tag
Unsere kleinen H-ummelchen entwickeln heute ihren Dickkopf!
Der Schädel bildet sich :)
Ebenso fällt heute der Startschuss für die wunderbaren Augen, die uns noch zu so
manchem "Konsequenz-über-Bord-werf-Moment" bringen werden..grins..

(Joe und ich, tja hergeben ging da nicht mehr.. ;) )
..und die Tasthärchen, die den Kopf so empfindsam machen,
oben auf dem Foto von Hugo sieht man sie ganz wunderbar :)
Auch die Beinchen sind so gewachsen, dass man nun schon
die Pfoten und Zehen deutlich erkennen kann!
Heute spricht man noch vom Embryo - ab morgen vom Fötus!
Eine sehr sensible Wachstumsphase liegt dann langsam hinter uns!
11. Mai - 28. Tag
Lilli hat sich heute morgen schnell wieder ins Bettchen gelegt.

Sie verschläft wirklich die meiste Zeit, nur spazierengehen und futtern macht sie munter.
Und natürlich, wenn sich jemand im Haus irgendwo hin setzt... der hat ja dann Zeit zum Kraulen :) :)
Emmy ist heute zu Besuch und spielt wild mit Joe.. da hält Lilli Abstand, sie macht das wirklich toll!
Und die Beiden haben so einen Spaß :) :)
Die Plazentabildung jedes einzelnen H-ummelchens ist jetzt abgeschlossen.
Sie dürfen sich nun Fötus nennen :)
Auch für die Krallen fällt heute der Startschuss.
Alle Organe sind in Grundzügen angelegt, müssen sich jetzt nur noch ausbilden.
12. Mai - 29. Tag
In den Lehrbüchern steht, dass sich nun das Schlafbedürfnis der Hündin steigert...
mhh, ich frage mich wie das gehen soll :) :D
Aber man merkt dem Bäuchlein schon so eine kleine Veränderung an..
die Zitzen haben sich etwas aufgerichtet und alles wird runder!
Gestern sind 4 wunderschöne Urenkelchen von Daika geboren worden :)
Ich durfte Mona während der Geburt begleiten, die leider nicht leicht war.
Sie hat das alles so super mitgemacht und auch in der Klinik ist sie ruhig geblieben, eine tolle Mama!!!
Es macht einem aber wieder neu bewusst, wie empfindsam das alles ist und nicht selbstverständlich.
13. Mai - 30. Tag
Die H-ummelchen befinden sich nun am Anfang der Fetalperiode, die vor allem
durch das schnelle Wachstum der Kleinen gekennzeichnet ist!
Auch die Organe entwickeln sich fertig.
Sogar die Zitzen sind schon gut erkennbar!
Lilli hat mehr Hunger, das merkt man deutlich :)
Unsere Hühner legen momentan sehr gut und Lilli bekommt seit ca. 10 Tagen wieder
jeden Mittag ein frisch gelegtes Ei mit Schale.
Die Schale kommt in den Mörser, damit sie das Calzium gut aufnehmen kann.
Auch Obst und Gemüse frisst sie sooo gerne :)
Ganz langsam werde ich Teile vom Futter umstellen auf die Welpennahrung,
die auch die H-ummelchen bekommen werden.
Denn da ist alles drin, was Lilli in der zweiten Hälfte ihrer Trächtigkeit braucht.
Aber man muss gut aufpassen, dass man nicht zu viel füttert :) :)
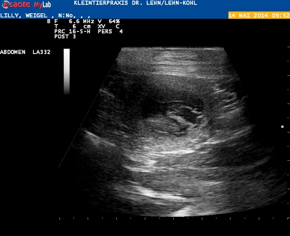
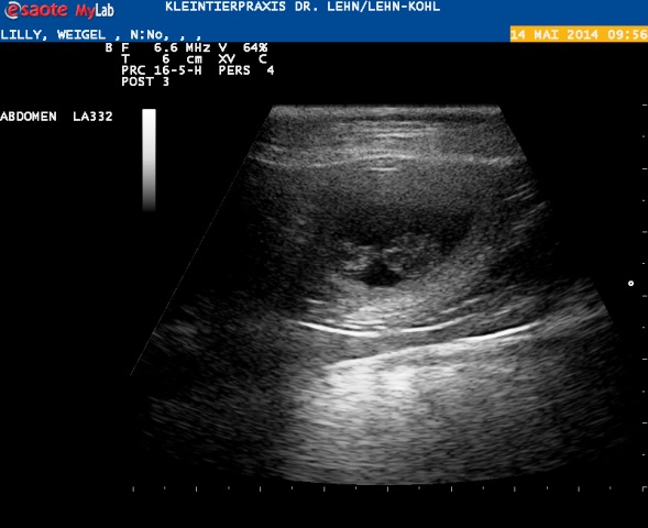
14. Mai - 31. Tag
Wir mussten den Ultraschall auf heute verschieben :) hier kommen die ersten Fotos der H-ummelchen :)
Juhuu :) wir haben Herzchen schlagen sehen!

Hier sieht man schön die Fruchtblase und darin liegt unten der Welpe.
Oben kann man einen Teil der Nabelschnur erkennen :)

Hier auch die Fruchtblase und ein anderes H-ummelchen :) :)
Leider kann man nicht sehen wie viele es sind, diese Überraschung bereitet Lilli uns erst bei der Geburt!!
15. Mai - 32. Tag
Unsere H-ummelchen sind jetzt ca. 2,7 cm groß und wenn man Röntgenaugen hätte,
könnte man schon feststellen wieviele Mädels und Jungs es sind :)
Lilli geht es super gut und ich hatte heute auf dem Spaziergang das Gefühl,
dass die innere Umstellung auf die Trächtigkeit jetzt fertig ist.
Sie ist so munter und fröhlich durch den Wald geflitzt :)
.. in den letzten beiden Wochen hatte ich
öfter den Eindruck, dass ihr etwas übel war - das scheint nun vorbei zu sein :)
Und gestern kam sie das erste Mal mit erdverkrusteter Nase aus dem Garten,
ich denke mal, die Gartenkuhle - die schon Daika für unseren A-Wurf angelegt hat
und jede unserer werdenden Mamas vergrößert und nach ihren Vorstellungen verändert hat -
wird für die H-ummelchen vorbereitet!
. 
16. Mai - 33. Tag
Wie bei der letzten Trächtigkeit sucht Joe auch diesmal wieder die Nähe von Lilli.
Sonst liegen sie immer mit Abstand, ihnen ist oft einfach zu warm.
Aber nun sieht man immer wieder, dass Joe ganz dicht bei Lilli gekuschelt liegt,
als wollte sie sagen: Ich bin bei dir!!
Noch liegen die H-ummelchen wie in einer Perlenkette, jedes mit Abstand zum Nächsten.
Doch das ändert sich in den nächsten 3 Tagen... auch sie rücken langsam zusammen :)
17. Mai - 34. Tag

Man spürt nun, dass sich Lilli ganz anders hinlegt, sie zieht die Beine nicht mehr an!
Die H-ummelchen legen jetzt aber auch richtig los!!
Sie liegt soo gerne in der Sonne und schläft - das kann sie bei dem tollen Wetter richtig genießen!!
18. Mai - 35. Tag
Nun geht es bei den Kleinen wirklich enorm voran!
Die Organe sind alle fertig ausgebildet, sie müssen nur noch wachsen und reifen.
Eine sehr kritische Phase ist zu Ende!
Die H-ummelchen sehen jetzt aus sie kleine Hunde, sogar die Hautpigmente entwickelt sich schon.
Von der Schulter bis zum Steiß sind sie etwa 3,5 cm lang.
Aus Platzgründen kommt es zu einem vorgesehenen Nabelbruch: Teile des Darms werden
aus Platzmangel für einige Zeit aus dem Körper heraus in die Nabelschnur verlagert.
Am 40. Tag ist alles groß genug und der Darm kommt wieder an seinen Platz.
Die Augenlider bilden sich und die Ohrmuscheln bedecken den Gehörgang.

Und diese süßen Fingerchen sind nun von einander getrennt :)
Ich finde es ein Wunder, dass diese filigranen Dinge immer wieder "einfach so"
ablaufen und wirklich neues Leben entsteht. Für mich ganz klar:
Das kann kein Zufall sein, unser Schöpfer hat sich das wunderbar ausgedacht!! :)
19. Mai - 36. Tag
Der Bauchumfang wächst :) 2 cm hat Lilli schon zugelegt, obwohl der ganze Bauch
vom Ultraschall rasiert ist.
Auf dem Foto sieht man es schön :) und auch wie sie nun meistens liegt:

Die H-ummelchen rücken nun dichter zusammen.
Durch ihren Wachstum verschwinden die Abstände zwischen ihnen.
Aber jeder für sich ist fest umschlossen von seinen eigenen Fruchthüllen und seiner Plazenta.
20. Mai - 37. Tag
Lilli hat Hunger :) auch wenn man nur in die Richtung der Küche geht,
steht sie auf und kommt mit. Sie bekommt jetzt mittags immer eine kleine Leckerei :)
Aber schön sachte, wir wollen sie ja nicht überfüttern!!
Heute Nachmittag, nach dem Training mit den Kleinen, die gar nicht mehr klein sind :)
werden ich Lilli, Joe und einige andere.. noch einmal hübsch trimmen.
Das geht jetzt noch ganz gut, wenn das Bäuchlein dicker wird, ist das nicht mehr so einfach
länger still zu liegen oder zu sitzen :)
Und mit Joe bin ich sehr schnell fertig, denn sie hat sooo abgehaart!! Viel früher als
erwartet, denn das Abhaaren ist immer der Startschuss zur Vorbereitung auf die nächste Läufigkeit.
Und die sollte eigentlich erst im Oktober kommen.... :)
Es bleibt spannend hier.
Womöglich gibt es in diesem Jahr noch einmal Babys behind the picket fence??? :)
21. Mai - 38. Tag
Die H-ummelchen wiegen jetzt ca. 6 Gramm :)
Lilli bekommt ab heute 3 Mahlzeiten täglich. Die gleiche Menge wie sonst,
nur anders verteilt, damit der Magen nicht zu voll ist :)
Sie bekommt jetzt nur noch das Welpenfutter, mit dem die H-ummelchen später gefüttert werden.
Natürlich mit vielen frischen Sachen verfeinert ;)

Unser E-Wurf bei einer Mahlzeit :)
22. Mai - 39. Tag
Lilli zeigt euch heute mal ihr Minibäuchlein :)
. 
Die Milchleiste ist schon gut ausgebildet und sie hat nun ein kleines Kügelchen :)
Damit ihr einen Vergleich habt und weil sie soo gerne auch wollte :) hier Joes Bauch:

Grins :D
Bei den Kleinen bildet sich nun die Handplatte (Ballen) und von der Schulter bis zum "Bobbes"
sind sie jetzt ca. 6 cm groß.
23. Mai - 40. Tag
Es regnet.. heute kann Lilli nicht in der Sonne liegen, das hatten wir lange nicht mehr!
Den Morgen habe ich mit drei der G-chen und ihren lieben Menschen in unserer Tierarztpraxis verbracht:
Sie bekamen die Hüften und Ellenbogen geröntgt.
Danke, nochmal an dieser Stelle, für die tolle Versorgung!!!
Hier die beiden Jungs Eddy und Yoshi :) vor und nach dem Röntgen :)
. 
Nun müssen wir wieder abwarten, bis das Gutachten von Gießen zurück ist.
Sechs von ihnen haben nun alle erforderlichen
Untersuchungen gut geschafft, nur Polly wird noch im August geröntgt.
Sehr schön :)
Die Geschwisterchen in Lillis Bauch wachsen und gedeihen! Ich bin sooo gespannt :)
24. Mai - 41. Tag
Heute ganz früh am Morgen wurde ich zu einer Geburt gerufen.
Kleine Labbis wollten auf die Welt :)
Wieder eine schwere Geburt, aber fünf prachtvolle kleine Labradore saugen jetzt zufrieden an Mama Ella :)
Nun sind es bei uns auch nur noch gut drei Wochen...
Lillis Bäuchlein misst nun hinten 70 und vorne 78 cm, hat also 3 und 5 cm zugelegt :)
Nicht so viel wie beim letzten Wurf. Aber die H-ummelchen legen auch jetzt erst richtig los.
Lassen wir uns überraschen :)
25. Mai - 42. Tag
Lilli kommt oft mit einer erdverkrusteten Nase aus dem Garten.
Letzte Umbauarbeiten an der Wurfhöhle :)
Wie gut, dass sie unsere Wurfkiste auch prima findet und sobald diese aufgebaut ist, gerne annimmt!!
Die knorpeligen Knochen der H-ummelchen, beginnen zu verkalken.
Man könnte sie nun auf einem Röntgenbild sehen.
Aber röntgen stellt eine unnötige Belastung dar, also machen wir das nicht :)
Höchstens im Notfall kurz vor der Geburt...
So langsam beginnt auch bei mir der Nesttrieb :)
Vieles muss vorbereitet werden!! Die Vorfreude steigt.. :D
26. Mai - 43. Tag
Das letzte Drittel der Trächtigkeit beginnt.
Dreiviertel des Größenwachstums der H-ummelchen fällt in diese Zeit.
Ab sofort können wir zuschauen wie das Bäuchlein wächst.
Lilli geht es gut :)
Und Joe merkt genau was los ist, sie wird bestimmt wieder eine tolle Spielkameradin
für ihre Halb-Geschwister sein :) :)

Joe mit Lotta
27. Mai - 44. Tag
Lilli liegt jetzt immer öfter an der Stelle wo wir in ein paar Tagen die Wurfkiste aufbauen.
Sie ruht in sich selbst, man merkt ihr die Erfahrung an.
Ein letztes Mal werden wir Lilli dabei beobachten können wie wunderbar sie ihre
Babys versorgt. Da schwingt bei mir schon Wehmut mit! Sie ist eine soo klasse Mama!
Aber wie schön wird es sein, wenn es dann mit Joe klappt und Lilli Oma sein darf :)
Das wird sie sicher sehr genießen!!
Ich bin sehr gespannt wie alles weitergeht...
..und so fing alles an:

Dieses Foto ist fast auf die Woche genau 14 Jahre alt!
Daika mit unserem A-Wurf :)
28. Mai - 45. Tag
Lillis Bauchumfang hat wieder einen Zentimeter zugelegt :)
Lilli achtet sehr auf ihre Flanken und mag auch nicht mehr wild spielen.
Die Kleinen hängen jetzt an der Nabelschnur wie ein
Astronaut im Weltall und bewegen sich frei in der mit Fruchtwasser gefüllten Blase.
Sie sind wunderbar stoßgesichert und behütet.
Das Haarkleid der H-ummelchen ist noch schütter,
die endgültige Pigmentierung ist jedoch schon fertig.
Die Ohrmuscheln sind fertig ausgeprägt und die Gesichtchen sind schon gut zu erkennen!
Die Kleinen hecheln bereits im Mutterleib,
dadurch schützen sie sich schon vor der Geburt vor Überhitzung, da ihnen die Schweißdrüsen fehlen.
Wie das ohne Luft geht ist mir immer wieder ein Rätsel :) :)

E-chen nach dem Mittagsschlaf :)
29. Mai - 46. Tag
Wenn Lilli mehr als 3 bis 4 H-ummelchen bekommt, falten sich ab jetzt die Gebärmutterhörner,
da in ihrem Bauch so langsam der Platz fehlt.
Sie haben nun eine Größe von ca. 9 cm :)
Lilli und Joe ziehen gleich bis Sonntag zu meiner Freundin, da ich nach Holland
in das Freizeitheim De Helle fahre.
Dort muss einiges für die Freizeiten, die im Sommer dort stattfinden, vorbereitet werden.
Es fällt mir nicht leicht gerade Lilli alleine zu lassen, aber wir werden das schon schaffen!!
Und die beiden werden sooo gut versorgt und verwöhnt :)
Und am Sonntagabend oder am Montagmorgen bauen wir dann die Wurfkiste auf!!
Also, Ihr Lieben alle: Bis Sonntag!!
02. Juni - 50. Tag
Nun ist es doch Montag geworden, denn wir sind gestern erst später heimgekommen :)
Herzlichen Dank an Gabi und Susi für die liebevolle Pflege meiner beiden Schätze!!
Sie haben ihren Kurzurlaub sehr genossen.
Lillis Bäuchlein wird langsam größer, der Umfang liegt jetzt bei 82/73 cm. :)
Ich denke, wir werden wieder einen ganz normalen "Lilliwurf" bekommen!
Lilli hat ein hervorragendes Bindegewebe, dadurch ist der Bauch sehr fest.
Noch kann man nicht viel spüren, aber gestern, spät am Abend als wir
alle zur Ruhe gekommen sind, hab ich mir mit meinem Stethoskop viel Zeit genommen.
Und an einer Stelle, wo ich ein H-ummelchen vermutete, konnte ich wirklich den leisen,
sehr schnellen Herzschlag hören :) zuu schön!!!
Die Haare um die Zitzen sind ausgefallen und sie sind schon mit Milch gefüllt.
Gerade bauen wir die Wurfkiste auf...
03. Juni - 51. Tag
Heute haben die Kleinen ca. dreiviertel ihres Geburtsgewichts erreicht und sind fast 12 cm lang.
Lilli überlegt jetzt schon mal ob sie aufsteht oder doch liegenbleibt :) :)
Doch wenn sie mal steht, spielt sie auch noch gerne mit Joe und ab und an muss ich sie bremsen,
sie ist echt eine fitte Maus!
Immer wieder kommt sie mit erdiger Nase aus dem Garten, sie hat eine zweite
Wurfkuhle angelegt.. mhhh, soo dick ist der Bauch nicht, dass sie zwei braucht :) :)
Auch die Decke in der Wurfkiste ist schon mal zurecht gerückt worden.
Hier noch ein brandaktuelles Bauchbild:

05. Juni - 53. Tag
Wunderbar kann man nun die kleinen H-ummelchen im Bauch fühlen :)
Wie sich die Köpfchen gegen die Bauchwand drücken und wie sie strampeln!
Immer wieder ein Wunder!!
Lillis Bauch verteilt sich jetzt schön, vorne misst er 83 und hinten 77 cm - da hat er gut zugelegt!
Ihr geht es wirklich prima, sie ist fit und mobil!
Das freut mich so, denn sie ist nicht mehr der junge Hüpfer von eben gerade...
Gestern ging es mir nicht so gut, deswegen schreibe ich heute erst. Nun ist es besser und
ich werde jetzt alle Tücher und Decken waschen, die wir nächste Woche brauchen
und schon mal alles richten. Uhh, die Vorfreude und Aufregung steigt :D
06. Juni - 54. Tag
Da Lillis Bauch nicht soo kugelrund ist wie bei ihren anderen Würfen, war ich heute zum Röntgen.
Ich wollte sicher gehen, dass es nicht nur 2/3 Welpen sind.
Die werden nämlich oft im Mutterleib schon soo kräftig, dass sie auf dem normalen Weg nicht
geboren werden können.
Aber es gab Entwarnung: 4 H-ummelchen sind es auf jeden Fall, die konnten wir super sehen,
so niedlich die kleinen Köpfchen :D
Es gab eine Stelle auf dem Bild, die nicht ganz eindeutig zu sehen war, es könnte also
sein, dass sich da noch was versteckt, aber es ist auf jeden Fall ein eher kleiner Wurf!
Der Strahlenbelastung wegen, wollte ich aber kein zweites Bild machen lassen.
Ein winziges Geheimnis muss ja bleiben :)
Aber kein Wunder, dass es Lilli so gut geht und sie so mobil ist.
Die doppelte Menge im Bauch (wie beim letzten Mal..) ist schon sehr viel anstrengender!
Die Kleinen sind jetzt übrigens schon vollständig behaart :) :).. was man auf
dem Röntgenbild leider nicht sehen konnte ... ;D

Hier noch ein müder Gruß der beiden Schlafmützen :) ihnen ist jetzt schon zu heiß!!
08.06. - 56. Tag
Die Hitze ist jetzt für Lilli wirklich heftig, wie gut, dass der Bauch nicht soo dick ist
und wir so einen schattigen Garten haben!
Ihr Appetit ist ungebrochen :D und der Bauchumfang liegt jetzt bei 86 cm.

Trotzdem ein schönes Kügelchen :)
Die H-ummelchen könnten ab heute lebensfähig geboren werden,
die Lunge und andere wichtige Lebensfunktionen sind geburtsbereit entwickelt.
Die Kleinen legen jetzt nur noch an Gewicht zu.
Hoffen wir, dass sie das nicht übertreiben :D
Wir haben immer große und schwere Welpen... es wäre für Lilli leichter, wenn sie nicht zuu groß würden!
Morgen beginne ich mit dem Temperaturmessen!
Die normale Körpertemperatur eines Hundes liegt so um die 38,2 Grad.
Während der Trächtigkeit beträgt die Körpertemperatur ca. 38,5 - 39,0 Grad Celsius.
Diese leichte Temperaturerhöhung wird auf die hohe Progesteronkonzentration zurückgeführt.
Progesteron ist das Hormon, welches von den weiblichen Eierstöcken nach dem Eisprung produziert wird.
Es unterstützt und erhält die Schwangerschaft/Trächtigkeit, aber es besitzt auch noch andere wichtige Funktionen.
Gegen Ende der Trächtigkeit ( 8 -10 Tage vor der Geburt ) sinkt der Progesteronspiegel,
ebenso die Temperatur auf zunächst 38,0 Grad ab.
24 - 36 Stunden vor der Geburt stürzt der Progesteronspiegel nochmals steil ab.
So ist auch der Temperaturabfall 24 Stunden vor der Geburt um 1 Grad auf 37 Grad zu erklären.
Alle unsere Hündinnen hatten einen Tag vor der Geburt für eine gewisse Zeit eine
Körpertemperatur unter 37 Grad (36,7....manchmal sogar 36,2)
Um diesen Zeitpunkt mitzubekommen messe ich drei Mal täglich und habe mir wieder
fest vorgenommen, total ruhig zu bleiben bis die Temperatur GANZ unten ist!
Bei allen Geburten, die ich begleitet habe, war es wirklich ganz deutlich,
dass der Temperatursturz die bevorstehende Geburt einläutete...
Aber bis dahin ist es noch eine Woche!
Bei kleineren Würfen muss man oft noch ein/zwei Tage länger warten.
Da sie das Schwimmen so sehr vermisst, habe ich ihr 3 cm Trinkwasser in die Muschel gefüllt :)

DAS fand sie super :)
09.06.2014 - 57. Tag
Gerade habe ich mit einem H-ummelchen gekuschelt :)
Man kann sie jetzt so wunderbar spüren!
Eben ist Wind aufgekommen und hat etwas Abkühlung gebracht.
Das tut Lilli gut, ihr ist ständig zu warm.
Nun ist die letzte Woche angebrochen und es wird auch Zeit :)
Ich bin sehr gespannt, was hoffentlich heute in einer Woche neben mir in der
Wurfkiste an Mama Lilli nuckelt :)
10.06.2014 - 58. Tag
Lilli verbringt nun immer öfter Zeit in der Wurfkiste!

Bisher sind wir von Unwettern verschont geblieben, es hat nur wenige Male leicht geregnet.
Dafür war es während dem heutigen Spaziergang sehr heiß und sonnig,
die Hunde lechzten nach einer Abkühlung.
Extra für Lilli hab ich die Muschel wieder nur wenige Zentimeter mit Trinkwasser gefüllt..

..sie fand es klasse :) :)
Ich bin froh, dass es in den nächsten Tagen kühler werden soll, das ist für die
Zeit der Geburt wirklich schöner!
Die H-ummelchen sind jetzt ca. 15 cm groß und Lilli ist wirklich fit und munter!
11.06.2014 - 59. Tag
Alles ist ruhig, nur die H-ummelchen sind sehr aktiv :D
Es macht Spaß dem Wackelbauch zuzuschauen!
Lilli genießt sichtlich die kühleren Temperaturen heute!!
Ihre eigene Temperatur liegt konstant bei 37,8 °, egal wann ich die letzten Tage gemessen habe.
Ein Zeichen dafür, dass es noch dauert mit der Geburt,
denn meist ist schon Tage vorher ein Auf- und Abwärtstrend zu sehen.. aber wer weiß??
Vielleicht ist genau diesmal alles anders?? :)
Ihr Bauchumfang beträgt heute an der schmalsten Stelle 80 cm (ganz hinten)
und vorne 88 cm.. also im Vergleich zu sonst wirklich ein kleines Bäuchlein :)
12.06.2014 - 60. Tag
Wahnsinn... der 60. Tag :D
Lilli strahlt eine wunderbare Ruhe aus. Zwar gestaltet sie ein bis zwei mal am Tag ihre
Wurfhöhle im Garten neu..wie man an ihrer Nase unschwer erkennen kann :)

Joe wollte uuunbedingt mit aufs Foto, denn danach gibt es ja Leckerchen :) :)
Nach dem Graben liegt sie ab und an in der Wurfbox und denkt wahrscheinlich,
dass es hier doch bequemer sein wird!!

Sie schaut immer ganz skeptisch, wenn ich mit dem Fotoapparat komme :) :) aber diese süße
Erdnase musste doch aufs Bild!
Aber die meiste Zeit liegt sie mal im Schatten, mal auf dem Rücken - den Bauch in die Sonne
gestreckt... leider mag sie es nicht fotografiert zu werden und ändert sofort die Lage, wenn ich
mit dem Apparat komme.... ;)
Beim Spazierengehen flitzt sie noch (fast) wie immer!
Es macht so eine Freude mit den H-ummelchen zu schäkern - gaaanz vorsichtig natürlich!!
Am 60. Tag hatten wir noch nie eine soo entspannte Lilli!
Es wird wohl noch etwas dauern mit der Ankunft des Hummelschwärmchens!!
13.06.2014 - 61. Tag
So eine ruhige Nacht zum 61. Tag hatten wir noch nie :)
Lilli und ich haben gekuschelt bis das Eröffnungsspiel in die zweite Halbzeit ging,
ich war so müde... da hab ich mich ins Bett gelegt.
Und Lilli ist in die Wurfkiste marschiert und hat dort seelenruhig bis heute morgen geschlafen!
Aber anders als sonst, sieht die Kiste morgens noch genauso aus wie abends,
nicht zerwühlt, alle Decken liegen noch genauso wie beim Einschlafen.
Lillimaus ist echt tiefenentspannt.
Prima, denn die Ruhe stahlt auf mich ab ;) das tut gut!
Ihre Temperatur ist auch schön gleichmäßig..
..bin gespannt, ob ich diesmal ausgeschlafen die Geburt begleiten darf ;)
Um uns herum ist es ebenso friedlich, gerade stand dieses

Reh hinterm Haus und schaute uns beim Schauen zu :)
Das Wetter ist wunderbar und vor uns liegt das Wochenende :) Herrlich!
14.06.2014 - 62. Tag
Eine sehr ruhige Nacht, ein sehr schöner Morgen :)
Lilli hat gut gefrühstückt, ist fröhlich und agil.
Ihre Temperatur ist immer noch oben, zwar ist jetzt ein Auf- und Abwärtstrend zu sehen - aber sehr sanft.
Joe dauert es zu lange, sie hat Spielmannslaune und fordert neben uns auch immer wieder Lilli auf.
Doch darauf läßt sie sich nicht mehr ein, prima, denn wenn doch, würde ich es jetzt nicht mehr erlauben.
Ihr Bauchumfang hat sich nur minimal verändert, aber ihre Flanken sind eingefallen und
das Bäuchlein hängt jetzt tief...alles bereitet sich vor!
Hier einige Bilder:
Lilli heute Morgen von oben, man sieht quasi fast nichts mehr!

Und damit ihr nicht zuu enttäuscht seid, hier ein Bild vom 58. Tag bei unserem G-Wurf,
als sie mit 8 Welpen trächtig war, da sah man von oben auch nichts mehr :) :)

Von der Seite sieht man das aktuelle Bäuchlein jetzt ganz tief:

Im Vergleich dazu, weil sie ja beim Fotografieren immer danebensteht.. wir wissen ja warum :) :)

Joes (nicht vorhandener) Bauch :) ;D
So ihr lieben Tagebuchleser :) ich melde mich morgen wieder, es sei denn, es gibt Neuigkeiten!
Dann werde ich ab sofort einen aktuellen Nachtrag liefern, damit ihr nichts verpasst :)
15.06.2014 - 63. Tag
Heute Nacht gab es die ersten Unruhephasen, die Decken wurden durchwühlt und
auch das normale Hundebett auf den Kopf gestellt.
Das Frühstück hat sehr gut geschmeckt.
Nun, wo alles zurecht gerückt ist, ist sie die Ruhe selbst und schläft seelenruhig :)

Ihre Temperatur hat den ersten richtigen Abwärtstrend, aber nur einen Trend..
der Tiefpunkt ist noch nicht erreicht.
Es wird wohl eine Geburt in der neuen Woche ;)
Wenn sich heute etwas verändert, werde ich mich nochmal melden...
Der Lillikrimi läuft :) ... vielleicht gibt es eine Geburt während dem Deutschlandspiel :D
16.06.2014 - 64. Tag
7.30 Uhr:
Guten Morgen :)
Ein Morgen wie immer...ahhhh... Lilliiiiiii, du bist echt eine Krimilady!!!
Ihr geht es gut, sie frißt mit Appetit, rennt durch die Gegend, als ob nix wäre..
Zwischendurch fühle ich nach den H-ummelchen.. könnte ja sein, ich hab mir die
ganze Sache nur eingebildet (ein Scherz...;) aber die Lütten zeigen mir
mit kräftigen Bewegungen, dass es ihnen genauso gut geht wie Mama... :D
Im Stillen hatte ich heute mit der Geburt gerechnet!
Denn, vom ersten Decktag aus gerechnet ist heute schon der 65. Tag... und bei einem kleinen Wurf...na..
Doch die Temperatur lag heute morgen wieder im mittleren 37 ° Bereich..
das ist noch kein Startschuss! Warten wir ab was sich den Tag über tut...
...es werden bestimmt wieder kleine Möppelchen, denn das Einzige was sie jetzt noch tun ist:
Gewicht zulegen!
Ich melde mich heute nochmal ;)
Und dann...
So Ihr Lieben, Lilli möchte Euch gerne unsere H-ummelchen vorstellen:

Leider keine guten Bilder, aber ich möchte Lilli nicht stören...

Drei Hummelbärchen und eine Hummelline :D
Hummel Grün 550 g
Hummel Gelb 510 g
Hummel Rot 480 g
Hummelline Blau 440 g
Mama und den Kleinen geht es gut!
Alles war ruhig, als ich sah, dass Lilli, während sie schlief, in einer Lache grünen Fruchtwassers lag.
Sofort sind wir in die Tierarztpraxis gefahren, wo beim Ultraschall die Herzschläge der
Kleinen schon etwas verlangsamt waren. Ein Not-Kaiserschnitt wurde durchgeführt.
Lilli hatte keine Wehen, gar keine Anzeichen der Geburt.
Ich bin soo froh, dass es alle vier Kleinen geschafft haben, sie waren von Beginn an
super fit und agil!! Und Lilli hat alles super verkraftet.
Ich danke meinem Herrn Jesus, dass alles so gut gegangen ist!!!
Morgen und in den nächsten Tagen mehr.. jetzt ist erst mal Ruhe angesagt..
Danke fürs Beten und an uns denken, fühlt Euch umarmt!!!