Ahnentafel des geplanten Wurfes
+ 
Franzis Betty JOE behind the picket fence + Evere-Where-Around HUGO de Bois de Rayère
19. August 2014
... ich kann es kaum glauben, dass ich schon wieder Tagebuch schreibe :) :D
Am letzten Montag, die Hummelbärchen waren noch alle hier, begann Joes Hitze.
Am Mittwoch haben wir Joe untersuchen und einen Abstrich machen lassen und gestern,
am Montag bekamen wir das Ergebnis: Alles Bestens!!
Da das Zellbild schon sehr gut aussah - es waren schon kernlose Zellen und eine leichte Clusterbildung zu sehen - haben wir eine Progesteronbestimmung des Blutes machen lassen.
Und tataa: der Wert war bei 2,99! Soweit waren wir noch nie am 8. Tag!
Da ich bis Donnerstag arbeiten muss, fahren wir nach der Arbeit nochmal zur Progesteronbestimmung
und werden wahrscheinlich dann direkt weiterfahren zu Hugo.
Das dauert ja schließlich ca. 5 Stunden...
Ich bin sehr gespannt!!!
21. August 2014
So, zurück von der Arbeit. Jetzt schnell Koffer packen, an Joes Unterlagen und Deckschein denken
und los geht es. In Gießen lasse ich nochmal eine Progesteronbestimmung machen,
die ich von unterwegs telefonisch abrufen werde.
Das wird uns zeigen, ob wir bis morgen/übermorgen Zeit haben oder ob wir heute noch zu Hugo fahren :)
Bis Montag ihr Lieben!!
25. August 2014
Da sind wir wieder :)
Hugo und Joe haben am 22. und 23. August geheiratet!
Juhuu :)
Am vergangenen Donnerstag hatte ich in Gießen erstmal eine Schrecksekunde,
denn das Zellbild vom Abstrich sah schon sooo gut aus!
Viele der Zellen lagen schon auf Haufen und "zerkrumpelt" zusammen und waren ohne Zellkerne.
Ein Zeichen, dass der Eisprung im Gange ist oder schon stattgefunden hat.
Auf der Fahrt an den Bodensee kam dann das Ergebnis des Progesteronwertes, der über
eine Blutprobe bestimmt wird: 5,25
Alles gut! :) Noch etwas Zeit.
Da wir erst abends im Hotel ankamen, machten wir für den nächsten Tag um 17.00 Uhr das erste Date mit Hugo.
Und was glaubt ihr:

Die beiden waren sich ratzfatz einig und blieben 12 Minuten zusammen. Hugo putze Joe noch soo lieb :)
Ebenso am Samstag:

Hier waren sie 20 Minuten vereint, wenn das mal nicht der Tag der Tage war!!
Beide ließen sich die Köpfchen kraulen, Genuss pur :) :)

Danke Claudia für die Gastfreundschaft, es war so schön!
Und Sonntag haben wir Joe nochmal zu Hugo gefahren, aber da bekam er eine eiskalte Abfuhr!
Vorbei.... nix mehr zu machen, er konnte sie noch so nett bitten... ;)

Hugo ist ein so toller und lieber Junge, einfach klasse!!
...nun beginnt die Zeit des Bangens und Wartens... wie immer sooo spannend :) :)
26. August 2014
Heute ist also der 4. Tag :)
Hugos Samen haben sich am Freitag und Samstag auf den Weg gemacht.
In den Eileitern sind sie ca. gestern auf Joes Eizellen getroffen..
Wenn alles gut gegangen ist und die Zeit gepasst hat, sind nun winzig kleine I-chen entstanden :) :)
Welch ein Wunder!! Immer wieder!
Wir werden sie auf ihrem Weg begleiten!
Und wie immer, der aktuelle Bauchumfang, diesmal von Joe: 55 cm - boh ist die Maus schlank :)
28. August 2014 - 6. Tag der Trächtigkeit
Die kleinen I-chen (mir ist noch kein schönes Kosewort mit I eingefallen :)
sind noch auf Wanderschaft im Eileiter Richtung Gebärmutter.
Sie teilen sich täglich und werden dann Morula genannt.
Die Gebärmutter bereitet sich auf ihr Kommen vor.
Die Gebärmutter der Hündin besteht nicht wie bei einer Frau
aus einem Körper, sondern aus zwei paarweise
gelagerten Gebärmutterhörnern, in denen die I-chen heranwachsen werden.
Joe ruht viel :) wenn das nicht mal ein gutes Zeichen ist :)

Während Lilli und Polly - auch eine Hugotochter, aber von Lilli :) - wild draußen spielen.


Polly macht
Ferien bei Mama
31. August 2014 - 9. Tag
Heute waren die Hummelchen zum ersten Treffen wieder "zuhause" :)
Trotz des schlechten Wetters hatten wir es soo schön! Bilder folgen in den nächsten Tagen :)
Joe hat sich ganz schön zurückgehalten und -trotz dem wilden Haufen :)- viel geruht.
Bin wirklich gespannt, ob es geklappt hat!! Wenn ja, sehen die I-Dötzchen (ja, Barbara,
kann man ganz gut sagen :) :) in etwa so aus:

Von außen haben sie ab dem 10. Tag die Form einer Zitrone :)
Diese frühen Embryos nennt man jetzt Blastozysten (Keimblase). Sie befinden sich immer noch im Eileiter
und werden u.a. durch Kontraktionen des Eileiters in Richtung der Gebärmutterhörner transportiert.
Nun sind wir wirklich schon in der zweiten Woche... finde es geht diesmal ganz schön schnell :)
02. September 2014 - 11. Tag
Gestern war ich mit klein Polly (aus unserem G-Wurf, Tochter von Lilli und Hugo) zum HD und ED Röntgen.

Hier wird sie gerade aus der Narkose wach, Joe hält ihr fast die Pfote... :)
Nun ist der ganze G-Wurf HD, ED und Augen untersucht und wir können wirklich zufrieden sein :)
..der Arzt meinte es sähe alles SEHR gut aus!!
Nun warten wir auf das Ergebnis des Gutachters in Gießen, das dauert immer einige Wochen...
Die kleinen I-Dötzchen sehen nun so aus:

(Entnommen aus meinem Buch "Neonatologie beim Hund", der "Fleck" ist die Neuralrinne :)
und sind natürlich winzig, winzig klein - so ca. 0,6 mm :)
Immer noch sind sie unterwegs und bewegen sich frei, sind aber nun auf dem Weg in die beiden Uterushörner :)
03. September 2014 - 12. Tag
Der große Moment der Implantation kommt langsam näher.
Das ist der Vorgang, an dem die I-Dötzchen sich an ihrem Platz in Joes Gebärmutter mit ihr verbinden.
Doch vorher muss noch einiges passieren!
In Joes Gebärmutter entstehen nun langsam lokale Anschwellungen (Ampullen), das sind die Stellen,
an denen die Lütten ihren Platz finden werden.
Damit dieser erste Kontakt zwischen Joe und den Kleinen überhaupt möglich ist, muss
die Blastozyste quasi aus ihrer Haut schlüpfen.

Das sieht in etwas so aus..
Dies ist die Grundlage für das Wachstum des Embryos und die Kontaktaufnahme mit Joe :)
Doch das dauert noch einige Tage....
Aber die Veränderungen in der Gebärmutter dürften Joe nicht verborgen bleiben...
..sie ist sehr verschmust und sucht meine Nähe..
:)
..gute Vorzeichen ;) .. wenn sie das nicht normalerweise auch machen würde :D
06. September - 15. Tag
Die Implantation hat nun begonnen!
In den letzten Tagen haben die I-Dötzchen wahrscheinlich
alle einen Platz in einem der beiden Gebärmutterhörnern gefunden und befanden sich im Vorkontaktstadium.
Doch noch besteht keine sichtbare Verbindung zwischen den Kleinen und der Mama.
Als nächstes nehmen sie an punktförmigen Kontaktstellen Verbindung zu Joe auf :)
Dies nennt man Appositionsstadium, danach kommt das Adhäsionsstadium.
Die Verbindung zwischen Embryo und Mutter ist dann so stark, dass eine Trennung ohne
eine Schädigung nicht mehr möglich ist.
Joe geht es sehr gut, von Übelkeit eine Spur :)
Ich hoffe soo sehr, dass es geklappt hat!!!
Und, dass alles so gut bleibt, denn bis zum 28. Trächtigkeitstag können die Fruchtanlagen einfach absterben
und werden sie meist unauffällig resorbiert. Krankheiten, Stürze oder Schocks können vor allem
in diesen Tagen eine schlimme Auswirkung haben.
Also haben wir immer ein Auge auf Joe!
Vergangene Nacht waren mein Mann und ich unterwegs um ein Auto in der Nähe von Dresden abzuholen.
In dieser Zeit sind Lilli und Joe von meiner Freundin Gabi und ihrer Familie verwöhnt worden!
Daanke dafür :)
Wenn I-Dötzchen unterwegs sind, haben sie heute eine Größe von 1 mm
..und wir haben einen Ultraschalltermin :) :) ...
am 16. ..das ist gar nicht mehr lange :D
08. September - 17. Tag
Gestern Morgen, noch vor dem Frühstück, hat Joe etwas Galle erbrochen..
Das passt genau in die Zeit..., die arme Maus...Lilli hatte diese morgendliche Übelkeit nie so ausgeprägt.
Doch nachdem wir draußen waren und Joe sich etwas bewegt hatte, schmeckte ihr auch die
erste Mahlzeit wieder :) :) und blieb drin!
Bei den kleinen I-Dötzchen passieren in diesen Tagen soo wichtige Dinge.
Die drei Keimblätter haben sich entwickelt (Ektoderm, Entoderm und Mesoderm).
Aus diesen Keimblättern entwickeln sich die Organanlagen.
Eine klitzekleine "Fehlschaltung" in diesen Tagen ergibt grundlegende
Fehler für das weitere Leben. Wir haben es beim letzten Wurf hautnah bei der kleinen Kayleigh erlebt :(
Als erstes entsteht das Neuralrohr aus dem Ektoderm, daraus entwickeln sich Gehirn und Rückenmark.
Aus dem Mesoderm haben sich die Somiten (Urwirbel) gebildet.
Noch ist die Implantation nicht abgeschlossen, steht aber kurz davor.
Die Kleinen sind nun 2 mm groß.
09. September - 18. Tag
Ich konnte mich heute nicht zurückhalten und musste mal Joes Bauchumfang messen :D
Da einige gesagt haben, sie meinten sie wäre schon runder geworden...
Also Futter bekommt sie bisher keinen Deut mehr als sonst.. aber der Bauchumfang hat wirklich
schon gut 3 cm zugelegt :) :) hihi :)
Aber natürlich sind das alles Anzeichen, die eine scheinträchtige Hündin auch hat.. ich weiß... :)
Immer wieder ein Wunder für mich ist, dass die Kleinen, solange sie noch frei beweglich sind, von
einem Uterushorn ins andere wandern, wenn dort kein freier Platz mehr ist!
Wie geht das alles von statten?? Wer gibt den Anstoß??
Für mich immer wieder ein Beweis, dass unser Schöpfer das alles in seiner Hand hält!
Wie wunderbar! Noch eine Woche bis zum Ultraschall...
Uhhh wie spannend ;D
10. September - 19. Tag
Nun ist es geschehen! Jedes I-Dötzchen... wenn denn welche entstanden sind...
hat seinen Platz in Joes Uterushörnern gefunden. In einigen Tagen sieht diese dann so aus:

Wie kleine Perlen auf der Schnur, sind die Kleinen aneinandergereiht.
Es bildet sich für jeden der Kleinen eine eigene Plazenta.
Sie überwuchert die Keimblase und bildet einen gürtelförmigen Ring um die Mitte des I-Dötzchens,
das momentan ähnlich gebogen aussieht wie eine Bohne.
Die Kapillaren der Plazenta mit dem Blut von Joe und die Zotten des Keimlings mit dem Blut des
heranwachsenden I-chens sind getrennt, berühren sich aber
und führen durch die Gefäßwandungen hindurch den Austausch der Nährstoffe einerseits und den Abtransport der Abfallprodukte des Welpen andererseits. Jedes der Kleinen hat seinen eigenen Blutkreislauf,
und die Blutgruppe kann von Joes abweichen.
Die Lütten machen jetzt schon spontane Bewegungen und man kann Hirnströme registrieren :) :)
Gerade erst angedockt, ca. 4 mm groß und schon geht es los - ist das nicht ein Wunder??
Joe ist ja eher eine ruhige Hündin, sicher, man hört sie öfter bellen, denn sie wacht.. aber
vom Wesen her ist sie ruhiger als Lilli. Momentan ist sie noch sanfter und bleibt immer in meiner Nähe.
Ihre Zitzen haben sich vergrößert, bisher war sie noch nie scheinträchtig.. also finde ich sind
das gute Vorzeichen... aber man weiß ja nie... ach ja, immer wieder: Abwarten und Geduld üben :) :)
11. September - 20. Tag
Am 20. Tag beginnt die wirklich rasante Entwicklung der I-Dötzchen!
Die Kleinen nennt man nun Schwanzknospenembryo und genau so sehen sie auch aus.
Zusammengerollt in der klassischen Fötenstellung, den Kopf nach vorne geneigt.
Heute beginnt die Entwicklung der Augenbläschen und des Herzens..
..ist das nicht wunderbar??
Auch alle anderen Organe legen nun los...

..und vielleicht habe ich bald wieder wunderbar duftende Schätze im Arm :D
12. September - 21. Tag
Drei Wochen vergangen, diesmal geht es wirklich schnell!
Nun bekommt Joe jeden Tag ein - von unseren lieben Hühnern morgens gelegtes - frisches Ei :)
Denn wenn es geklappt hat, steigt ab jetzt ihr Proteinbedarf.
Bei den I-Dötzchen steht heute ein großer Moment an:
:D Die Herzchen beginnen zu schlagen! :D
Sie sind nun fest mit Joe verbunden.
Wenn man mit einem superguten Ultraschall nachschauen würde,
sind sie ab diesen Tagen sichtbar und man könnte sogar den Herzschlag sehen!
Aber wir müssen uns ja auch nur noch vier Tage gedulden :) :)
Joe ist momentan sehr sensibel und möchte am liebsten nur kuscheln, immer ganz dicht bei mir...

...oder schlafen, die Nase tief in Bär Wilhelm vergraben... :)
13. September - 22. Tag
Gestern Abend sind Abby und Enzo für ein paar Tage zu Besuch gekommen.
Unsere liebe Abby ist nun 14 1/2 Jahre alt und immer noch die
wunderschöne und stattliche Hündin, die sie immer war!
Sie ist die Schwester unserer Annie, somit Lillis Tante :) aus unserem A-Wurf.
Enzo ist ein Lilli Sohn aus ihrem ersten Wurf.
Die Vier kennen sich gut, da sie bei unseren Freunden leben und wir unsere Urlaube zusammen verbringen :)
Joe hält sich etwas zurück mit wilden Spielen, das ist gut so!
Denn die sensible Phase dauert noch ca. 8 Tage, jede Verletzung, jeder Virus könnte schlimme Folgen haben.
Die I-Dötzchen wachsen soo schnell, heute sind sie schon ca. 1cm groß!
Heute entstehen kleine Knospen, woraus später die Beine werden!
Auch die Anlage von Leber, Kiefer, Augen, Ohren und Nase beginnt heute.
Wenn sie denn da sind, die Lütten.... ohhh, nur noch wenige Tage ;) bis zur Gewissheit :)
14. September - 23. Tag
Joes Bauchumfang liegt heute bei 60 cm... boh, sie hat 5 cm zugelegt :) :)
Ahhh,, ich hoffe das ist ein gutes Zeichen..... :D
Es geht ihr gut, sie hat Hunger und ist noch verschmuster als jemals zuvor, wenn das überhaupt geht...
Also entweder hat es geklappt oder sie ist zum ersten Mal mega scheinträchtig!!
Noch halte ich mich mit der Futterumstellung zurück, es sind ja nur noch 2 Tage bis zum Ultraschall!!
Ich wünsche Euch allen einen schönen Restsonntag!
15. September - 24. Tag
Soo, noch einmal schlafen :) :) morgen Abend schlägt die Stunde der Wahrheit!
Dann werde ich Euch berichten können, ob wir etwas gesehen haben oder nicht.
Die Enttäuschung wäre bei mir sehr groß, denn alles spricht dafür..
..aber wir haben es schon oft erlebt, dass die Hündin trotzdem leer war.
Nun gut, wir werden sehen.
Wenn die I-dötzchen wachsen und gedeihen, dann entstehen nun die
Nervenstränge in der Wirbelsäule und die schönen weißen Zähnchen werden angelegt :)
..und wieder habe ich vergessen ein Foto zu machen.
Wollte doch mal meine momentan 4 Goldies auf ein Foto bekommen..
aber nun ist es zu dunkel :)
Bis morgen ihr Lieben :) :)
16. September - 25. Tag
Jiiiippiiiii :)

Joe bekommt viele kleine I-dötzchen :) :)
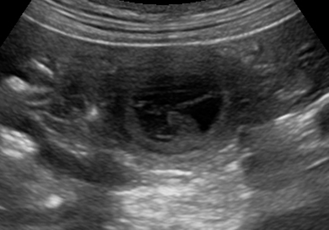
Wieviele kann man beim Ultraschall ja nie sagen, aber bei dem kurzen Blick in ihren Bauch
konnten Franzi und ich viele kleine Fruchthüllen mit I-dötzchen und schlagenden Herzen sehen.
Sie lagen dicht beieinander, das ist immer ein gutes Zeichen für ein gefülltes Bäuchlein :) :)
Juhuu!!!

Auf dieser Vergrößerung kann man schön sehen, wie der kleine Schatz in seiner
Fruchthülle liegt, durch die Nabelschnur mit Joe verbunden :)
Einfach wunderbar..
Auf meinen Geburtstag bekam ich viele liebe Karten geschenkt.
Auf einer stand folgender Segensspruch:
Der Tag sei dir freundlich und die Nacht dir wohlgesonnen.
Die starke Hand eines Freundes möge dich halten, und Gott möge dein Herz
erfüllen mit Freude und glücklichem Sinn.
Danke :) ..mein Herz singt!
17. September - 26. Tag
Ihr Lieben :) die I-dötzchen sind nun Realität ..
..trotzdem befinden wir uns immer noch in der Zeit der Trächtigkeit, die am defektgefährdetsten ist.
Wie gut, dass Joe sich so wunderbar schont.
Allen wilden Spielen geht sie aus dem Weg und ruht sehr viel.
Ihr Blick ist oft ganz abwesend... :)
Und heute entstehen diese wunderbar kuscheligen Ohren,
die am Anfang wie kleine dreieckige Segel abstehen:

Hier eins der Hummelchen :)
Genauso wie die Augen, bleiben sie noch 9-14 Tage nach der Geburt geschlossen.
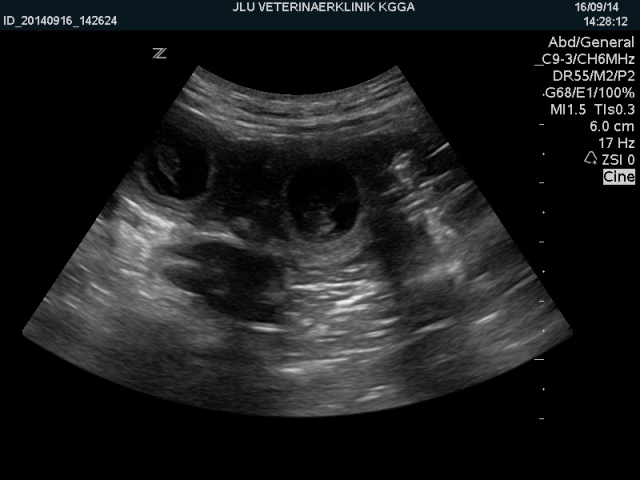
Auf dem Ultraschallbild unten sieht man deutlich, wie klein die Mäuschen noch sind.
Von einem Querstrich zum nächsten ist es ein Zentimeter...
Sie liegen zwar in der gebogenen Embryonalstellung und man sieht ja im Ultraschall
quasi nur eine "Scheibe" aber sie sind wirklich noch winzig :) :)
Hoffen wir, dass sie sich - in Joes Bauch geborgen - zu gesunden kleinen Wonneproppen entwickeln!!!
19. September - 28. Tag
Bei unseren I-Dötzchen geht es mit riesigen Schritten vorwärts!
Ab heute spricht man nicht mehr vom Embryo sondern vom Fötus!
Jeder der Kleinen hat nun seine eigene Plazenta und die Anlage der Krallen beginnt.

Diese zwei hübschen Mädels sind Joe(links) und ihre Schwester Holly (rechts), gerade 6 Wochen alt :)
Bin sehr gespannt, wie Joes Babys aussehen :) :)
Gestern schon begann die Entwicklung der Schädelknochen.
Auch für diese wunderbaren Augen und die Tasthärchen,
rund um die Nase und Augen, viel gestern der Startschuss.
Die kleinen Beinchen sind schon so gewachsen, dass man die die Pfoten und Zehen deutlich erkennen kann!
Sie sind jetzt ca. 1,7 cm groß :)
Übrigens werden die Kleinen folgenden Namen bekommen:
I am ..... behind the picket fence
So kann jeder seinen Lieblingsnamen einsetzen,
ohne sich nach dem - doch recht schwierigen "I"- richten zu müssen.
21. September - 30. Tag
Joe geht es so gut :)
Anscheinend ist die leichte Übelkeit, die sie die letzte Zeit begleitet hat, vorbei.
Heute hat sie wieder fröhlich mit Lilli gespielt.
Ihr Zitzen haben sich stark vergrößert, alles bereitet sich auf die Kleinen vor.
Doch die meiste Zeit des Tages verschläft Joe :) aber das ist vollkommen normal!
Und ihr Hunger ist enorm. Sie bekommt jetzt das gleiche Futter wie später die Kleinen.
Die I-Dötzchen legen jetzt so richtig mit dem Wachsen los.
Alle wichtigen Organsysteme sind im
Groben angelegt, die endgültige Körperform
ist bereits in ihren Grundzügen erkennbar und die
Gesichter nehmen Gestalt an.
22. September - 31. Tag
Joes Bauchumfang hat um 5 cm zugelegt!
Sie ist ein so knackiges Mädel, dass man die Veränderung nicht sieht, ich war eben ganz überrascht :D
Wenn man heute mit einer sehr, sehr guten Lupe ein I-Dötzchen anschauen würde,
könnte man das Geschlecht feststellen :) :)
Hoffen wir mal, dass wir eine gute Mischung bekommen ;), das wäre schön!
24. September - 33. Tag
Ich glaube Lilli spürt, dass Babys unterwegs sind :)
Sie ist total ausgelassen und fröhlich und schnuppert oft schwanzwedelnd an Joes Po ;)
Es ist immer wieder so spannend, wie das kleine Rudel mit neuen
Konstellationen umgeht.
Ich denke, Lilli wird die Kleinen total genießen - da ja Joe alle Arbeit und Sorge hat :)
Die Kleinen sind jetzt ca 2,7 cm groß!
Noch liegen die I-Dötzchen voneinander getrennt in den Gebärmutterhörnern.
Doch das ändert sich in den nächsten Tagen, sie rücken zusammen...
25. September - 34. Tag
Gestern Abend lag Joe zu meinen Füßen und ich dachte: Nuu, sie hat doch schon
ein ganz schönes Bäuchlein bekommen :) :D
Fluchs habe ich Bilder gemacht:


Hier zum Vergleich die schlanke Joe vorher:

Mhhh, ich weiß nicht ob man den Unterschied auf den Fotos so sieht???
Ist ja noch nicht viel.. die I-Dötzchen sind ja noch winzig ;)
Sie liegt nun auch meist auf der Seite, die Beine weit von sich gestreckt...
... ich nehme an, sie merkt, dass da was drückt :) :)
26. September - 35. Tag
Die sehr sensible Phase der ersten Wochen ist nun zu Ende!
Alle Organe sind fertig ausgebildet, sie müssen nur noch wachsen und reifen.
Die I-Dötzchen sind jetzt ca. 3,5 cm lang und sogar die Hautpigmente entstehen schon.
Sie wachsen nun sehr schnell!
Doch der Platz reicht trotzdem nicht, deshalb kommt es zu einem vorgesehenen Nabelbruch:
Teile des Darms werden aus Platzmangel für einige Zeit aus dem Körper heraus in die Nabelschnur verlagert.
Am 40. Tag ist alles groß genug und der Darm kommt wieder an seinen Platz.
Die Augenlider bilden sich und die Ohrmuscheln bedecken den Gehörgang.
Und diese süßen Fingerchen sind jetzt von einander getrennt :)

Das alles geschieht in solch kleinen Körperchen und bald haben wir hoffentlich
diese wunderbar duftenen Fellknäulchen - ganz perfekt - in den Händen :D
Das ist immer wieder ein Wunder!!
27. September - 36. Tag
Es sind nur noch vier Wochen ;D
Joes Bäuchlein hat wieder 2 cm zugelegt, wir sind nun bei 62 cm,
leider hatte ich von Anfang an nur direkt hinter den Beinen gemessen - also an ihrer schmalsten Stelle.
Vorne hat der Bauch schon viel mehr zugelegt, wie ihr hier sehen könnt:

Die Lütten sind jetzt etwa 3,5 cm groß und da sie immer mehr Platz brauchen,
nimmt der Abstand zwischen den Fruchthüllen ab.
Was vorher aussah wie eine Perlenkette wird jetzt eher zum Schlauch ;)
und wenn dieser Platz auch ausgereizt ist, faltet sich die Gebärmutter.
Joes Zitzen sind groß und rosig geworden, auch die Milchleiste bildet sich schon aus.
Alles bereitet sich auf die I-Dötzchen vor :D
28. September - 37. Tag
Heute kommen die H-ummelchen zu Besuch :D

Das wird eine Freude!!
Habe eben in ihr Tagebuch geschaut.. da steht am 37. Tag von Lillis Trächtigkeit,
dass Joe sooo abhaart und ich das Gefühl habe, dass sie Ihre Läufigkeit früher kommt als geplant..
Hihi :) denn gerechnet hatten wir, dass sie im Oktober heiß wird.
Nun haben wir September und ihre Trächtigkeit ist schon mehr als halb um!!
Joe geht es sehr gut, sie sieht blendend aus und ist sehr hungrig ;)
Ich habe den Eindruck, sie genießt ihren Zustand richtig!!
30. September - 39. Tag
Oh, Joes Bäuchlein wächst so herrlich :)
Sie hat nun schon 9 cm an der schmalsten Stelle zugelegt!
Die Kleinen wiegen jetzt ca. 6 g und sind etwa 6 cm groß.
Wir hatten einen so schönen Tag mit den H-ummelbärchen und so lieben Besuch:

Lilli mit ihren drei Spätzen :)
Mehr Bilder hier.
1. Oktober - 40. Tag
Die I-Dötzchen machen ihren ersten Urlaub :D
Wir fahren morgen mit Joe und Lilli nach Holland.
Sie werden die Zeit am Meer sehr genießen!!
Ich wünsche allen ein wunderschönes, langes Wochenende.
Bis dann... :)
6. Oktober - 45. Tag
Da sind wir wieder :)



Joe und Lilli haben Sam(H-Wurf) in Holland am Meer getroffen (war so geplant ;)
Das war natürlich ein Highlight! Danke Sandra für die Fotos!!
Wir haben die Tage sehr genossen, auch die Arbeit in der Küche
(..kochen für unseren Mädchen-Teen-Kreis) und auf De Helle.
Joe geht es sehr gut. Ich habe sie am Meer an der Leine gelassen,
es waren sooo viele Hunde dort. Ich hatte Angst, dass sie umgerannt wird... :)
Sie ruht in sich und schläft sehr viel. Ihr Bauchumfang hat 13 cm zugelegt.
Die Kleinen schweben jetzt an ihrer Nabelschnur wie ein
Astronaut im Weltall und bewegen sich frei in der mit Fruchtwasser gefüllten Blase.
Sie sind wunderbar stoßgesichert und behütet.
Das Fell der I-Dötzchen ist noch dünn,
die endgültige Pigmentierung ist jedoch schon fertig.
Die Ohrmuscheln sind fertig ausgeprägt und die Gesichtchen sind schon gut zu erkennen!
Die Kleinen hecheln bereits im Mutterleib,
dadurch schützen sie sich schon vor der Geburt vor Überhitzung, da ihnen die Schweißdrüsen fehlen.
Wie das ohne Luft geht, ist mir wirklich schleierhaft :) :)
7. Oktober - 46. Tag
Die Knochen der Kleinen verkalken nun immer mehr und wären auf einem Röntgenbild
gut sichtbar. Die ersten Haare um die Zitzen fallen aus :)
Ich denke wir werden am Wochenende die Wurfkiste aufbauen!!


Dieses Bild hatten wir vor 10 Tagen hier im Tagebuch und eben lag sie fast genauso neben mit am Schreibtisch :)
Man sieht den Unterschied ganz schön, finde ich :) :) Wo vorher noch eine Kuhle war ist jetzt eine Kugel *G*
Es wird langsam spannend!
9. Oktober - 48. Tag
Heute sind wir aber mal richtig nass geworden :)
Richtiges Retrieverwetter... und was macht unser Lillidreckspatz??
Legt sich noch dazu in ein Schlammloch, als ob von oben nicht genug Abkühlung gekommen wäre...
Leider hatte ich keinen Fotoapparat dabei :) :)
Joe geht es nach wie vor gut, sie genießt die Spaziergänge.
Sie bleibt immer in meiner Nähe, liegt mir meist zu Füßen.
Nur ab und zu verschwindet sie im Garten und baut die beiden "Wurfhöhlen" im Garten aus.
Um ihre Zitzen hat sich ein Hof gebildet und die "Milchleiste" ist schon sehr ausgeprägt.
Joe bekommt jetzt mehrere kleine Mahlzeiten, das bekommt ihr besser :)
Denn die Lütten drücken auf den Magen!
Und Lilli liebt es, denn ein wenig fällt für sie immer ab :) :)
11. Oktober - 50. Tag
Hier die neuesten Bauchmaße:
Joe hat in 5 Tagen 5 cm zugelegt :O
Sie liegt jetzt bei 73 cm an der schmalsten Stelle...also 18 cm mehr als zu Beginn.
Vom Nabel aus rundum gemessen beträgt ihr Umfang ganz aktuell 83 cm!!
Zum Vergleich: Bei Lillis H-ummelchen (4 Welpen) hatte sie genau am 50. Tag 6 cm zugelegt...
Na, wenn das nicht Hoffnung auf einige I-Dötzchen macht :D
Doch das Schönste: Gestern am späten Abend schon ganz schwach, heute Abend schon etwas mehr..
..ich kann die ersten zarten Bewegungen spüren, wenn ich meine Hand auf den Bauch lege!
Oh, wie ist das herrlich :)
Leider habe ich momentan sehr viel zu tun...deswegen wieder kein neues Foto.
Aber diese schönen Neuigkeiten wollte ich Euch nicht vorenthalten :)
12. Oktober - 51. Tag
Die Wurfkiste steht und wurde sofort von Joe in Augenschein genommen!

Sehr interessant: Lilli hat alles beobachtet, aber noch keine Pfote reingesetzt :D
Joe schnauft ganz schön, kein Wunder denn in diesen Tagen haben die Kleinen
dreiviertel ihres Geburtsgewicht erreicht und sind ca. 12 cm groß.
Die letzten zwei Wochen liegen nun vor uns!
14. Oktober - 53. Tag
Alles ruhig hier! Joe geht es sehr gut, sie ist noch sehr beweglich.
Doch die meiste Zeit verbringt sie - auf der Seite liegend - schlafend, die Beine weit ausgestreckt.
Oft schaut sie mich mit großen Augen an... was ist los in meinem Bauch??
Ganz wunderbar kann man nun die I-Dötzchen spüren, wie sie ihre
Köpfchen und Pfötchen ausstrecken.
Lilli hat nun doch die Wurfkiste erobert und viel darin geschlafen :D
...und Joe ist, wenn ich dabei war, nicht mehr reingegangen.
Aber das wird sich ändern, wenn in ca. 10 Tagen, die Geburt beginnt :)
Momentan liegt sie viel lieber dicht bei mir ;)
15. Oktober - 54. Tag
Hier ein Bild von gestern...

Der Bauch ist nicht mehr soo viel dicker geworden, einen Zentimeter hat er zugelegt.
Ganz deutlich sieht man nun die Bewegungen der I-Dötzchen :) ab und zu wackelt der Bauch regelrecht!! :D
Der Körper der Kleinen ist nun komplett mit Fell bedeckt.
Dann habe ich heute festgehalten, wie müde sie zur Zeit aussieht:

..doch sie fand es unmöglich und hat dann so schön weggeschaut, das hab ich aber gerade noch erwischt:

:D grins.. und Lilli wollte mit aufs Bild, hat aber nicht ganz draufgepasst..
17. Oktober - 56. Tag
Soo viele Tag sind nun vergangen und die Spannung und Vorfreude wächst :)
Ab heute könnten die I-Dötzchen lebensfähig geboren werden,
die Lunge und andere wichtige Lebensfunktionen sind geburtsbereit entwickelt.
Aber es wäre zu früh, denn die Kleinen müssen noch Gewicht zulegen.
Ich hoffe aber sehr, dass sie nicht zu groß und schwer werden.
Eine leichte Geburt wäre mal wieder ein Traum!!!
Joe geht es sehr gut, sie ist die Ruhe selbst!
Sie liegt meist auf der Seite und man sieht, dass die Kleinen boxen spielen :D
Am 57. Tag beginne ich mit dem Temperatur messen...dazu morgen mehr!
18. Oktober - 57. Tag
Die Wurfkuhle im Garten ist bestimmt ganz gemütlich, denn Joe hat bei dem schönen Wetter
viel Energie in den Umbau gesteckt:

Sehr interessant ist, dass bei Joe nur die Nase etwas schmutzig ist, wenn sie vom tapezieren zurück kommt!
Das sah bei Lilli immer nach einem Ganzkörpereinsatz aus.
Wahrscheinlich zieht Joe vorher einen Kittel an :D ;)

Joe ist - wenn sie mal nicht schläft :) - sehr fröhlich und agil! Es geht ihr richtig gut!
Mit dem Stethoskop kann man an manchen Stellen ganz super den schnellen Herzschlag
der I-Dötzchen hören und man mag die Hand gar nicht mehr vom Bauch lassen um sie zu spüren - soo schön!!
Heute startet das drei Mal tägliche Temperatur messen.
Die normale Körpertemperatur eines Hundes liegt so um die 38,2 Grad.
Während der Trächtigkeit beträgt die Körpertemperatur ca. 38,5 - 39,0 Grad Celsius.
Diese leichte Temperaturerhöhung wird auf die hohe Progesteronkonzentration zurückgeführt.
Progesteron ist das Hormon, welches von den weiblichen Eierstöcken nach dem Eisprung produziert wird.
Es unterstützt und erhält die Schwangerschaft/Trächtigkeit, aber es besitzt auch noch andere wichtige Funktionen.
Gegen Ende der Trächtigkeit ( 8 -10 Tage vor der Geburt ) sinkt der Progesteronspiegel,
ebenso die Temperatur auf zunächst 38,0 Grad ab.
Aktuell heute bei Joe: 37,8 - übrigens genau der gleiche Wert wie bei Lilli am gleichen Tag :)
24 - 36 Stunden vor der Geburt stürzt der Progesteronspiegel nochmals steil ab.
So ist auch der Temperaturabfall 24 Stunden vor der Geburt um 1 Grad auf unter 37 Grad zu erklären.
Fast immer hatten unsere Hündinnen einen Tag vor der Geburt für eine gewisse Zeit eine
Körpertemperatur unter 37 Grad (36,7....manchmal sogar 36,2)
Um diesen Zeitpunkt mitzubekommen messe ich drei Mal täglich und habe mir wieder
fest vorgenommen, total ruhig zu bleiben bis die Temperatur GANZ unten ist!
Was mir diesmal gar nicht leicht fällt, denn:
Bei allen Geburten, die ich begleitet habe, war es wirklich ganz deutlich,
dass der Temperatursturz die bevorstehende Geburt einläutete... bis auf Lillis letzten Wurf.
Da ging vollkommen ohne vorherige Anzeichen, kein Temperatursturz, keine Unruhe
einfach während sie ruhig schlief, sehr viel Fruchtwasser ab.
Sie schlief weiter, hat es gar nicht gemerkt!
Wie gut, dass ich direkt dabei war und es gesehen habe. Das war wirklich Bewahrung! (DANKE!)
So konnte direkt ein Kaiserschnitt vorbereitet werden, der unseren H-ummelchen
wahrscheinlich das Leben gerettet hat!
Den Spätzen geht es übrigens supergut, sie verlieren gerade ihre Milchzähne :) :)
.
. 
...........................Henry...............................................Sam......................Henry mit süßer Lebensgefährtin Annabell :)
20. Oktober - 59. Tag
Joe geht es prima und ihr Appetit ist ungebrochen!
Seit vorgestern Abend hatte sie immer mal wieder ganz leichte Wehentätigkeit.
Ihr Bauch hängt jetzt tief und man spürt wie sich der ganze Körper auf die Geburt vorbereitet.
Die Sehen und Bänder lockern sich und ihre Milchleiste ist voller Milch.
Einige Zitzen haben gestern schon getropft..
Die I-Dötzchen werden sich freuen :)
Ihre Temperatur ist meist bei 37,8 °, dazwischen gibt es aber auch Tiefpunkte um die 37,2 °.
Also alles ganz normal für diese Tage!!
Der Bauchumfang liegt jetzt bei 90 cm um den Nabel und hinten 78 cm
Ein wunderschönes Bäuchlein :)
21. Oktober - 60. Tag
Nach wie vor alles ruhig!
:)
Joe ist fit und rund, hat Hunger und ab und an weht es.
Dann ist sie ganz in sich gekehrt und ruhig.
Sie macht alles sehr gut!
Aber das alles ist nur ein leichtes Vorspiel.
Die Temperatur war heute morgen bei 37,3° um im Laufe des Tages wieder auf 37,8° anzusteigen.
Noch war da kein Startschuss zu sehen :)
22. Oktober - 61. Tag
Am Morgen:
Ich denke der Startschuss ist gefallen.
Joes Temperatur lag heute Morgen bei 36,9°!
Ihr normales Futter hat ihr morgens nicht mehr so geschmeckt,
dafür aber die Ziegenmilch mit Quark und Haferflocken :)
Im Laufe der nächsten 24 - 30 Stunden wird die Geburt wohl beginnen!
Sie ist so wunderbar fröhlich und ruhig!
Wenn Wehen kommen legt sie sich meist auf die Seite und atmet schön tief.
Sie macht das suuper :)
Und die I-Dötzchen strampeln Beulen in den Bauch,
ganz schön kräftig die Lütten ;)
Am Nachmittag:
Noch ist alles ruhig! Sie hat immer mal leichte Eröffnungswehen, aber sie ist wunderbar gelassen dabei.
Schlabbert Leckereien und kuschelt :) Alles gut bisher!!!
Am Abend:
Nun befinden wir uns in der Hechel- und Unruhephase.
Joe möchte gerne raus, noch mal alle Löcher anzuschauen,
um dann lieber wieder rein zu gehen,
damit sie dann wieder nach draußen gehen kann....
Die Nacht wird wohl nicht soo ruhig :)
Noch sind aber ansonsten keine Anzeichen da.
Es kann noch lange dauern!
Ich wünsche Euch eine gute Nacht!!
23. Oktober - 62. Tag
Am Morgen:
Nach einer durchhechelten Nacht mit viiielen Spaziergängen an der frischen Luft
ist alles noch beim Alten.
Zwischendurch legt sie sich und "schiebt".
Da noch kein Fruchtwasser abgegangen ist, kann das alles noch lange so weitergehen.
Wir kennen das ja von Lilli... :O... :)
Noch haben wir das Haus voller Gäste :) die alle freudig begrüßt wurden.
Doch gleich wird es hier ruhig... dann können die Kleinen kommen :)
Hab ich schon erwähnt, wie müde man ist??? Gääähhhnnn... :)
Gestern Abend hatte sie so auf die Tube gedrückt, dass ich die ganze Nacht kein
Auge zugemacht habe...
Am Nachmittag:
Joe macht ihrer Stellung als Lilli-Tochter alle Ehre.
Sie schreibt ihren eigenen Geburts-Krimi :)
Seit gestern Morgen hat sich nicht viel geändert,
nur ein wilder Wille zum Graben ist dazugekommen.
Nachdem sie ca. 7 Baustellen im Garten für nicht perfekt erachtet hat,
war diese Kuhle der Favorit:

Als erstes wurde ein kleines, wohl in den letzten Tagen angelegtes Loch vergrößert,

dann jeder noch störende Zweig entfernt, um dann

vollkommen entspannt darin Platz zu nehmen.
Zum Glück hatte ich sie vorher angeleint,
es war sehr schwer sie wieder dazu zu bewegen diese tolle Kuhle zu verlassen.
Die Kuhle hätte unserem Namen I am ... behind the picket fence alle Ehre gemacht :) :) :)
Wie immer ist man mal ganz unruhig und denkt: Ist das alles noch normal??
Aber im Grunde muss man sich noch keine Sorgen machen!
Es ist noch kein Fruchtwasser abgegangen, die Kleinen strampeln wild und
somit ist alles noch im grünen Bereich.
Nur, dass ich mal wieder unter dem Schlafmangel leide, komme einfach nicht zur Ruhe...
möchte keinen wichtigen Moment verpassen ;)
24. Oktober - 63. Tag
Am frühen Morgen:
3 Uhr erstes Fruchtwasser, 5 Uhr erste Presswehen... es zieht sich..
melde mich erst wieder, wenn alles geschafft ist!!!

So sah die Nacht aus.. Joe lag entweder dicht bei Mama Lilli oder bei mir und war sooo unruhig..
Als nach einer langen Zeit mit Presswehen kein Vorankommen zu sehen war,
bin ich mit Franzi nach Herborn in die Kleintierpraxis Dr. Theo Schöne
und Dr. Birgit Schepp Schöne gefahren, da unsere Tierärzte im Urlaub waren.
Vielen Dank für die tolle Betreuung so früh am Tag!!!
Wir versuchten noch den ersten Welpen mit Unterstützung auf die Welt zu bekommen,
aber er passte einfach nicht durch den Geburtskanal.
Also wurde ein Kaiserschnitt durchgeführt.

Und hier sind unsere I-Dötzchen

8 Welpen, 5 Jungs und 3 Mädel
Ein Rüde hat es leider nicht geschafft, obwohl wir lange um ihn gekämpft haben :( :(
So haben wir nun 7 Zwerge :) mit einem Durchschnittsgewicht von 450 g

Joe ist eine tolle Mama, trotz Narkosenachwirkungen, Schmerzen und vollkommener
Überraschung, wo plötzlich 7 Schreihälse herkommen, hat sie sie sofort gesäugt und
nach kurzer Zeit auch geputzt!! Sie ist eine Supermama!!!!

Wir werden jetzt erst mal innehalten und uns erholen!!!
Danke Ihr Lieben, fürs Beten und an uns denken!!
Wir haben es gespürt!
Das Tagebuch ist nun beendet :) Alles weitere auf der Seite der I-Dötzchen :)