Ahnentafel des geplanten Wurfes
+
Joe(Franzis Betty Joe behind the picket fence) und Franzl (Landking Indian Summer)
Erster Eintrag am 05.08.2016
Joe ist läufig :)
Früher als erwartet startet so die Geschichte unseres J-Wurfes.
Mir klopft etwas das Herz... es ist immer aufregend und spannend!
Die Augenuntersuchung war letzte Woche in Pohlheim, alles in Ordnung, wie gut!
Jede/r Zuchthündin/rüde muss die Augen alle 2 Jahre auf erbliche Augenkrankheiten kontrollieren lassen.
Joe's Sohn Duke wurde auch untersucht und hat ebenso 1a Augen :)
Der Deckschein ist bestellt und Claudia, Franzl's Besitzerin, weiß Bescheid!
Am Montag melde ich Joe in der Uni Klinik Gießen für die
erste Deckzeitbestimmung, am ca. 8. Tag der Läufigkeit, an.
Im Tagebuch werde ich euch auf dem Laufenden halten ;)
07.08. 2016
Gerade habe ich überlegt, welchen Namen wir unseren J-Babys geben werden.
Naheliegend ist es mit Joe anzufangen :D
Also werden die Kleinen "Joes ... behind the picket fence" heißen.
Und jeder kann seinen Lieblingsnamen einsetzen (...wenn er mir gefällt ;)!
10.08.2016
Am Freitagmorgen fahren wir nach Gießen, dort wird der erste Progesteronwert ermittelt.
Auch das Zellbild schauen wir uns an. Ich bin sehr gespannt!
Der Deckschein liegt vor, alles ist parat.
Da Ferienzeit ist, herrscht im Hause Weigel Hochbetrieb :)
unsere Lilli ...................................'die' Pepper
unsere Joe
'der' Pepper
'Der' Pepper (Lilli's Sohn aus unserem E-Wurf) bewacht die heiße Joe und ist soo lieb,
ganz problemlos akzeptierte er Joe's "Nein!" am ersten Tag seines Urlaubs bei uns.
Seit dem sind beide total entspannt, aber andere Rüden dürfen nicht aufs Gelände, das haben wir gemerkt ;)
Die Oma's Lilli und 'die' Pepper(unser neuester Feriengast) verstehen sich auch prima
und tauschen schon mal das Kuschelbett ;D
12.08.2016
Heute morgen wurde Joe in der Vet. Uniklinik in Gießen von einer Tierärztin, die wir schon
kennen, untersucht. Sie wird uns auch weiter begleiten :)
Joe war zum ersten Mal richtig aufgeregt, na... sie weiß ja was jetzt kommt ;)
Und es ist eine aufwendige Untersuchung, mit Blutabnehmen und allem drum und dran.
Der Progesteronwert lag bei 1,89. Das ist vollkommen richtig für den ca. 7./8. Tag der Läufigkeit.
Ihr Abstrich (es wird nach Keimen/Bakterien geschaut, die nicht dort hin gehören...)
war sehr sauber, Joe ist also fit für Nachwuchs ;)
Das Zellbild sah schon gut aus, es waren zwar noch viele Zellen mit Kern,

aber auch einige kernlose Zellen und eine ganz leichte Clusterbildung zu sehen.
Deswegen warten wir nicht bis Montag, sondern fahren am Sonntag zum nächsten Progesterontest.
Dann wird hoffentlich feststehen, wann wir Richtung Bodensee fahren!
14.08.2016
Soo, Joe lässt sich Zeit :) Recht so!
Der Progesteronwert war heute bei 2,3.
Das Zellbild sah schon viel besser aus, viele Zellen ohne Kern und schöne Clusterbildung.
Wir werden am Dienstag wieder testen.
Ich denke, der Deckzeitpunkt wird so Donnerstag/Freitag sein..
Schauen wir mal :D
Sie ist gut drauf und auch Pepper behält noch die Ruhe.
Mal sehen, wie es wird, wenn die fruchtbaren Tage kommen ;)
(..getrennt schlafen ist aber schon die ganze Zeit angesagt..sicher ist sicher..*g*..)
16.08.2016
Alles wunderbar, Joe entschleunigt uns :)
Der Abstrich war super gut, man sah, der Eisprung steht kurz bevor.
Die meisten Zellen lagen schon auf Haufen und "zerkrumpelt" zusammen und waren ohne Zellkerne.
Der Progesteronwert, der über eine Blutprobe bestimmt wird, lag bei 4,02
Wir fahren also erst am Donnerstag Richtung Bodensee zu Franzl.
Pepper riecht seit heute öfter mal an Joe und sie ist auch nicht mehr ganz so abweisend.
Gute Vorzeichen :D
Ohne Aufsicht lassen wir sie nicht mehr zusammen!!! *g*
Jetzt heißt es alles gut planen, Unterkunft buchen und hier übernimmt Thea in diesen Tagen das
Regiment, dafür schon mal vielen herzlichen Dank!!
Lilli und die beiden Pepper's lieben sie! Sie werden viel spielen und die Zeit genießen!!
17.08.2016
Morgen Vormittag geht es los :)
Habe schon fast alles gepackt und vorbereitet, die Aufregung steigt.
Heute mussten wir Pepper und Joe komplett trennen, zu schnell wären sie sich einig gewesen ;)
Pepper ist mit mir auf die Arbeit gegangen, das hat ihm gefallen.
Er ist ein so lieber Kerl :)
Joe fragt heute sichtbar: "Fahren wir los??"
...bin sooo gespannt was sie zu Franzl sagt :D
Also, ihr lieben Tagebuchleser, bis ca. Samstag, vielleicht kann ich schönes erzählen!
21.08.2016
Sooo :) Jetzt werde ich berichten ;) ..danke für eure Geduld!
Wir fuhren am Donnerstag zu meinem auserwählten Franzl!
Die Fahrt war gut, früher als geplant konnten wir Joe mit Franzl bekannt machen.
Leider brach zur gleichen Zeit ein Gewitter mit Starkregen über uns aus :O
Als wir in einem trockenen Raum die beiden einander vorstellten,
war Joe erstmal nicht begeistert... zu eng, kein Spielen möglich..
Also gingen wir alle in den Regen auf die Wiese :) :) Danke Claudia für deinen Einsatz!
Es war wohl noch etwas früh, denn Joe zierte sich, aber dann ging es ganz schnell und sie hielt ihn 20 Minuten fest.
Wir beschlossen den Freitag frei zu nehmen und verbrachten mit Joe einen wunderbaren Tag.

Morgens machten wir eine Miniwanderung zum Mindelsee.
Den Rest des Tages verbrachten wir in Sipplingen am Bodensee.
Wir haben es sehr genossen!

Am Samstagmorgen fuhren wir direkt nach dem Frühstück zu Franzl.
Was soll ich sagen, ich kam noch zum Gartentor herein, weiter kam ich mit Joe nicht ;)
Alles ging so schnell, dass wir wirklich vergessen haben Fotos zu machen!!
Sie blieben über 30 Minuten zusammen, wunderbar :)
Es war wieder so schön bei Euch ihr Lieben! Danke für die Gastfreundschaft!
Ich konnte übrigens mit einem Franzl Baby schmusen, ich kann euch nicht beschreiben wie goldig die Kleine ist!!
Auf dem Rückweg machten wir einen kurzen Stopp bei unserer Brendy,

ein Daikakind aus unserem B-Wurf, die am Freitag ihren 15. Geburtstag(wie ihre Schwester Bille)feiern durfte.
Herrlich sie wiederzusehen!
Ein herzliches Dankeschön an Thea, die sich liebevoll um alle hier zu Hause gekümmert hat!!
...
Nun ist unser J-Wurf hoffentlich auf dem Weg ;)
Wenn alles gut geht, werden die Kleinen um den 21. Oktober geboren.
Bei ihren neuen Familien dürfen sie ca. um den 16. Dezember einziehen :)
In den nächsten Tagen werde ich euch erzählen, was in Joes Bauch passiert... eine tolle Zeit beginnt!
25.08.2016 - 6. Tag der Trächtigkeit
Joe genießt das schöne Wetter, ist sooo kuschelig und möchte immer ganz dicht bei mir liegen :)
Die kleinen Joes haben sich ca. um den 3. Tag herum mit den kleinen Franzls getroffen.
Nun sind hoffentlich viele kleine Zellhaufen gemeinsam auf dem Weg zu Joes Gebärmutter.
Sie sehen fast so aus.

Unterwegs geht die Zellteilung immer weiter.
Joes Läufigkeit geht langsam zu Ende und die Gebärmutter bereitet sich auf die Ankunft der Kleinen vor.
Die Gebärmutter sieht bei der trächtigen Hündin so aus:

Die Kleinen werden in zwei "Hörnern" hintereinander liegen.
Wir begleiten sie auf diesem Weg :)
27.08.2016 - 8. Tag der Trächtikeit
Es ist sooo heiß!
Gleich haben wir Training, ich denke wir werden alles im Wald und in Zeitlupe machen ;)
Joe ist ganz ruhig und bleibt immer in meiner Nähe, ganz in sich gekehrt :D
Ich hoffe sehr, dass sie wunderbare kleine Joes aufnehmen wird. So viel kann schief gehen und
unsere Daika und Annie waren öfter nicht tragend, obwohl die Deckakte super geklappt hatten.
Wenn alles gut läuft, dann sind die kleinen Kügelchen immer noch
auf dem Weg durch den Eileiter in Richtung Gebärmutter.
Man nennt sie nun Morulae(Vielzeller),
am 6. Tag war jedes noch ca. ein Achtzeller und jede Zelle teilt sich ja weiter.
Das geht dann plötzlich richtig flott ;)
Im Laufe dieses und des nächsten Tages kommen die ersten großen Veränderungen...
29.08.2016 - 10. Tag der Trächtigkeit
Die kleinen Joes sind nun schon etwas gewachsen und sehen fast so aus.

Noch immer werden sie durch die Kontraktion der glatten Muskulatur des Eileiters zum Uterus transportiert.
Heute verändert sich das Aussehen von außen, es erinnert an eine Zitrone
und sie sind natürlich winzig, winzig klein - so ca. 0,6 mm :)

(Entnommen aus meinem Buch "Neonatologie beim Hund")
Das kleine Mal ist die Neuralrinne, dort entstehen als erstes die drei Keimblätter, die so wichtig sind.

Und so könnten sie mit 6 Wochen aussehen :D
Ein Joe-Baby
...
Am Samstag mussten wir Abschied von Enzo nehmen, soo unendlich traurig....
Er ist das erste Kind von Lilli, welches wir gehen lassen müssen, viel zu früh..
Er lebte bei unseren Freunden..
02.09.2016 - 14. Tag der Trächtigkeit
Langsam wird es ernst :D
Ungefähr heute beginnt die Implantation!
Die kleinen Joes haben sich einen Platz in Joes Gebärmutter ausgesucht und beginnen sich mit ihr zu verbinden.
Das bedurfte einiger Vorbereitungen:
In Joes Gebärmutter entstanden langsam lokale Anschwellungen (Ampullen), das sind die Stellen,
an denen die Kleinen jetzt ihren Platz finden werden.
Damit dieser erste Kontakt zwischen Joe und den Kleinen überhaupt möglich ist, musste
die Blastozyste quasi aus ihrer Haut schlüpfen. Das sieht in etwas so aus..

Dies ist die Grundlage für das Wachstum des Embryos und die Kontaktaufnahme mit Joe :)
Doch noch besteht keine sichtbare Verbindung zwischen den Kleinen und der Mama.
Als nächstes nehmen sie an punktförmigen Kontaktstellen Verbindung zu Joe auf.
Dies nennt man Appositionsstadium.
Joe geht es sehr gut, sie ist sooo verschmust, wirklich noch mehr als sonst..
das ist schon kaum möglich ;) .. und so richtig gut gelaunt.
05.09.2016 - 17. Tag der Trächtigkeit
Joe ist da wo ich bin :) wie dieser Schnappschuss zeigt.

Ihr geht es gut und der Ultraschalltermin steht fest: Freitag, der 16. September
Dann werden wir wissen, ob wir uns auf kleine Joes freuen dürfen, juhuu :)
Sind die J-chen da,
haben sich bei ihnen die drei Keimblätter (Ektoderm, Entoderm und Mesoderm) entwickelt.
Aus diesen Keimblättern entwickeln sich die Organanlagen.
Als Erstes entsteht heute (am ca. 17. Tag) aus dem Ektoderm das Neuralrohr, das ist der Vorläufer von
Gehirn und Rückenmark. Aus dem Mesoderm haben sich die Somiten (Urwirbel) gebildet.
Noch sind die Kleinen nicht mit Joe verbunden, die Implantation dauert noch ca. bis zum 20. Tag.
Nachdem sie fest verbunden sind, tritt bei der tragenden Hündin oft ein glasiger Ausfluss auf,
den wirklich nur tragende Hündinnen haben. Scheinträchtige Hündinnen haben alle anderen
Anzeichen genauso wie die tragenden Hündinnen, die Zitzen schwellen an, das Gewicht steigt, sie schlafen
viel und schonen sich - doch der Ausfluss ist ein sicheres Zeichen für eine Trächtigkeit.
Die Lütten sind nun 2mm groß :D
07.09.2016 - 19. Tag der Trächtigkeit
Heute geht es Joe nicht so gut, letzte Woche hatte Lilli einen Infekt (Erbrechen)
den scheint Joe nun zu haben. Dachte zuerst es wäre die Übelkeit, die in diese Zeit passt, aber
der Stuhlgang ist auch dünn... hoffe so sehr, dass es den Kleinen nicht schadet.
Diese Zeit gerade ist so sensibel :(
Gerade heute geschieht nämlich folgendes:
Die Kleinen, heute ca. 4 mm groß,
haben ihren Platz in Joes Uterushörnern gefunden.
Wie kleine Perlen auf der Schnur, sind die Kleinen aneinandergereiht.
Es bildet sich für jeden der Kleinen eine eigene Plazenta.
Sie überwuchert die Keimblase und bildet einen gürtelförmigen Ring um die Mitte des kleinen Joechens,
das momentan ähnlich gebogen aussieht wie eine Bohne.
Die Kapillaren der Plazenta mit dem Blut von Joe und die Zotten des Keimlings mit dem Blut des
heranwachsenden Joe'chens sind getrennt, berühren sich aber
und führen durch die Gefäßwandungen hindurch den Austausch der Nährstoffe einerseits und den Abtransport der Abfallprodukte des Welpen andererseits. Jedes der Kleinen hat seinen eigenen Blutkreislauf,
und die Blutgruppe kann von Joes abweichen.
09.09.2016 - 21. Tag der Trächtigkeit
Drei Wochen ist es nun her, dass wir am Bodensee waren!
Heute ist mir aufgefallen, dass ich ganz vergessen habe,
Joes Bauchumfang am Beginn der Trächtigkeit zu messen ;)
Natürlich habe ich das schnell nachgeholt:
direkt hinten, vor den Hinterläufen: 60 cm (5 cm mehr als beim Start ihres ersten Wurfes)
und in der Bauchmitte 67 cm.
Sie sieht sehr schlank aus, hatte gar nicht damit gerechnet.
Noch eine Woche, dann wissen wir mehr!!
Gestern fiel der Startschuss für die rasante Entwicklung der Minijoe's :)
Sie sehen jetzt schon aus, wie man sich die Embryos so vorstellt,
zusammengerollt in der klassischen Fötenstellung, den Kopf nach vorne geneigt.
Man nennt sie nun Schwanzknospenembryo.
Gestern gab es auch den Startschuss für die Augenbläschen und das Herz, wie wunderbar!
Alle Organe beginnen nun mit der Entwicklung...
..und heute:
:D Die Herzchen beginnen zu schlagen! :D
Die Kleinen sind nun fest mit Joe verbunden.
Wenn man mit einem superguten Ultraschall nachschauen würde,
sind sie ab diesen Tagen sichtbar und man könnte sogar den Herzschlag sehen!
Wie gut, dass es Joe in dieser sensiblen Zeit wieder gut geht!
Vielleicht war es auch ein Zusammenkommen der normalen Übelkeit in dieser Zeit der Trächtigkeit
mit einer Magenverstimmung... auf jeden Fall frisst sie wieder ganz normal und ab heute
bekommt sie jeden Tag ein, von unseren Hühnern, frisch gelegtes Ei.
Denn ab jetzt steigt ihr Proteinbedarf.

Damit so etwas wunderbares entstehen kann :) Zwei I-Dötzchen :)
11.09.2016 - 23. Tag der Trächtigkeit
Bei unseren Kleinen ist enorm viel los in diesen Tagen!
Sie wachsen soo schnell, heute sind sie schon ca. 1cm groß!
Wenn man sie anschauen könnte, würde man nun die Knospen der Beine sehen können!
Auch die Anlage von Leber, Kiefer, Augen, Ohren und Nase hat begonnen.
In den nächsten 7 Tagen sind die Joe's sehr gefährdet.
Da sich nun alle Organe ausbilden, kann auch viel schief gehen.
Deswegen passen wir auch sehr gut auf Joe auf.
Jeder Virus, jede Verletzung könnte schlimme Folgen haben.
Noch 5 Tage bis zum Ultraschall...ohh ich hoffe soo, dass es geklappt hat!!
Oma Lilli ist nun läufig und die beiden Mädels spielen viel, ruhen aber auch in der Sonne.
Sie genießen das tolle Wetter :)
12.09.2016 - 24. Tag der Trächtigkeit
Joe würde gerne immer auf meinem Schoß sitzen :D

Sie ist soo kuschelig und liebesbedürftig.
Bei den kleinen Joes werden heute die Zähne angelegt.
Die Welpenzähnchen sind soo spitz :O damit werden wir noch viel Freude haben *g*.
Doch ganz schnell, schon im 4. Monat, kommen die ersten bleibenden Zähne durch.
In der Wirbelsäule beginnen sich heute die Nervenstränge zu bilden.
...noch 4 Tage, dann wissen wir mehr :D
14.09.2016 - 26. Tag der Trächtigkeit
...noch 2 Tage, ich bin soo gespannt :)
Die letzten drei Wochen habe ich viel Zeit im Kinderkrankenhaus Siegen verbracht.
Dort liegt mein süßes Enkelchen Emmi und meine Tochter Katharina schläft bei ihr.
Wenn alles gut geht, dürfen sie heute nach Hause, ich freue mich soo sehr!
Meine Gedanken waren deswegen nicht so dicht bei Joe, so dass ich gar kein sicheres Gespür habe.
Sie benimmt sich sehr schwanger ;) aber das machen auch scheinschwangere Hündinnen..
Ihr Bauchumfang hat einen Zentimeter zugelegt.. noch nicht viel.
Sie macht es wirklich spannend :O
Die kleinen Joes sind noch winzig, etwa so groß wie ein kleiner Walnusskern.

Heute beginnen sich diese unwiderstehlichen kleinen Ohren zu entwickeln,
die die ersten Tage wie kleine Dreiecke abstehen :D
Die Ohrmuscheln bleiben vierzehn Tage verschlossen, erst dann beginnen die Kleinen richtig zu hören.
Die Äuglein öffnen sich meist schon ab dem 9/10. Tag.
Gestern und vorgestern wurde Joes Schwester Joy gedeckt, auch sie soll noch dieses Jahr Babys bekommen.
Spannend :)
15.09.2016 - 27. Tag der Trächtigkeit
Morgen ist der Ultraschalltermin.
Ich bin aufgeregt und wirklich unsicher..
Wenn kleine Joe's da sind, entwickelt sich heute der kleine Dickkopf ;).. der Schädel.
Heute spricht man noch vom Embryo - ab morgen vom Fötus!
Eine sehr sensible Wachstumsphase liegt dann langsam hinter uns und wir haben Gewissheit!
Ebenso fällt heute der Startschuss für die wunderbaren Augen, die uns noch zu so
manchem "Konsequenz-über-Bord-werf-Moment" bringen werden.. :D

(Joe und ich, tja hergeben ging da nicht mehr.. ;) )
..und die Tasthärchen, die den Kopf so empfindsam machen,
oben auf dem Foto sieht man sie ganz wunderbar :)
Auch die Beinchen sind so gewachsen, dass man nun schon
die Pfoten und Zehen deutlich erkennen kann!
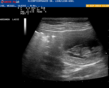
16.09.2016 - 28. Tag der Trächtigkeit
Joe ist trächtig!

Deutlich konnte man die kleinen Joes sehen, wie sie sich bewegten, die Herzchen und die Nabelschnur.
Leider konnten wir nur zwei entdecken :(
Es wird auf jeden Fall ein kleiner Wurf, der dann auch schon jetzt komplett vergeben ist.
Gerade bin ich mal ein wenigt traurig, hatte ich mich doch auf viele kleine Pfoten gefreut.
Aber jetzt schauen wir erst mal, vielleicht haben sich ja noch ein oder zwei Joes versteckt :)
Und die beiden sind auf jeden Fall da!!
Kleine Würfe sind ganz anders, hat man doch für jeden einzelnen Welpen viel mehr Zeit.
Lilli ist auch mit nur zwei Brüdern groß geworden,
und die drei D-chen sind und waren alle ganz besonders!
18.06.2016 - 30. Tag der Trächtigkeit
Die kleinen Joes beginnen nun enorm schnell zu wachsen und sind fast 2 cm groß!
Sogar die Krallen sind schon angelegt und legen los :)
Joe geht es jetzt so richtig gut :D, sie ist sooo verschmust und holt sich überall Streicheleinheiten.
Sie bekommt ab jetzt Welpenfutter, da aber der Wurf wahrscheinlich so klein ist, keine großen Portionen.
Dafür viel Obst und Gemüse, sie liebt es :)
20.09.2016 - 32. Tag der Trächtigkeit
63/69 cm... Joes Bauchumfang hat 3/2 cm zugelegt, ein gutes Zeichen :)
Am Futter kann es nicht liegen, denn sie bekommt wirklich nur eine Miniportion...
Die Hälfte der Trächtikeit liegt nun hinter uns. So ganz nebenbei laufen hier schon die Vorbereitungen.
Franzi und ich haben einen neuen PVC-Boden zum Auslegen des Wintergartens gekauft.
Unsere I-Dötzchen hatten dem vorigen in der 8. Lebenswoche doch arg zugesetzt :D
Mein Nesttrieb setzt ein...
Bei den Kleinen ist die endgültige Körperform bereits in ihren Grundzügen erkennbar und die
Gesichter nehmen Gestalt an. Auch die kleinen Zitzen kann man schon erkennen.
Joes Zitzen sind groß geworden und bereiten sich auf die kleinen Nuckelmäulchen vor.

Drei I-Dötzchen, Joes letzter Wurf... am 5. Lebenstag :)
22.09.2016 - 34. Tag der Trächtigkeit
Joe zeigt jedem, der es sehen will, ihr Bäuchlein :)

Hier sieht man wie mega sie für den Ultraschall rasiert wurde, ich habe nur noch einen halben Hund ;) :D
Deswegen ist auch das linke Foto(aktuell) schwierig mit diesem zu vergleichen (I-Wurf, gleicher Tag, 8 Welpen):
. 
Denn da hatte sie keinen rasierten Bauch... und die Perspektive ist etwas anders :)

..denn das Bäuchlein ohne Fell sieht schon ganz anders aus ;D
Aber es ist eins zu sehen, es fällt vor allem denen auf, die sie nicht jeden Tag sehen.
Das beruhigt mich sehr :) *g*
23.09.2016 - 35. Tag der Trächtigkeit
Die Organe der kleinen Joechen sind alle fertig ausgebildet, sie müssen nur noch wachsen und reifen.
Eine sehr kritische Phase ist zu Ende!
Sie sehen jetzt aus sie kleine Hunde, sogar die Hautpigmente entwickelt sich.
Von der Schulter bis zum Steiß sind sie etwa 3,5 cm lang.
Aus Platzgründen kommt es zu einem vorgesehenen Nabelbruch: Teile des Darms werden
aus Platzmangel für einige Zeit aus dem Körper heraus in die Nabelschnur verlagert.
Am 40. Tag ist alles groß genug und der Darm kommt wieder an seinen Platz.
Die Augenlider bilden sich und die Ohrmuscheln bedecken den Gehörgang.

Und diese süßen Fingerchen sind nun von einander getrennt :)
Ich finde es ein Wunder, dass diese filigranen Dinge immer wieder "einfach so"
ablaufen und wirklich neues Leben entsteht. Für mich ganz klar:
Das kann kein Zufall sein, unser Schöpfer hat sich das wunderbar ausgedacht!!
25.09.2016 - 37. Tag der Trächtigkeit

Gestern Abend lag Joe vor dem Sofa, mir geht es momentan nicht so gut.
Deswegen hatte ich mich hingelegt und da wo ich bin, ist auch Joe :)
Ich finde ihr Bäuchlein zu schön und könnte es den ganzen Tag streicheln.
Entweder gibt es zwei Riesenjoechen oder (ich hoffe so!!) es haben sich einige gut versteckt...
Jedes Joechen ist fest umschlossen von seinen eigenen Fruchthüllen und seiner Plazenta.
Da sie immer mehr Platz brauchen, nimmt der Abstand zwischen den Fruchthüllen ab.
Was vorher aussah wie eine Perlenkette, wird jetzt eher zum Schlauch ;)
Und wenn dieser Platz auch ausgereizt ist, faltet sich die Gebärmutter.
...aber nur, wenn sich mehr als ein oder zwei Welpen in jedem Gebärmutterhorn befinden...
Nun sind es nur noch 4 Wochen :D
Um ca. den 11. Oktober herum, werde ich ein Röntgenbild machen lassen.
Dann wissen wir hoffentlich sicher, wieviele Joe-chen wir erwarten.
Dies gibt uns leider keine Gewissheit, ob es alle schaffen, gesund und munter auf die Welt zu kommen.
Diese Spannung bleibt...
26.09.2016 - 38. Tag der Trächtigkeit
Joe geht es soo gut und sie genießt die Zeit!
Ich habe heute Bäuchlein gemessen :O
67/77 cm... wow.. 7/10 cm mehr als am 21. Tag (da waren es noch 60/67cm)
Dafür, dass noch 4 Wochen vor uns liegen, nicht schlecht.. auf das Überraschungspaket bin ich echt gespannt!
Die kleinen Joechen wiegen jetzt so ca. 6 Gramm.
Bin gespannt ob das Abschlussfoto unseres J-Wurfes eher so... oder so aussieht ;D
Unser D- und I-Wurf.

29.09.2016 - 41. Tag der Trächtigkeit
Heute ist es bei uns richtig sommerlich, nur mit vielen bunten Blättern, herrlich!
Joe genießt die Sonne und hat mit einem großen Projekt begonnen:

Man sieht es kaum, weil die Erde so trocken ist...
aber sie hat mit dem Ausbau einer neuen Wurfhöhle angefangen.
Sie kam eben zu mir und zeigte mir ihre herrliche Erdnase :D
Der Bau startet diesmal früher, als bei den I-Dötzchen.
Als eine erfahrene Mutter, weiß sie nun, was auf sie zu kommt ;)
Das Bäuchlein wächst, heute liegen wir bei 69/78 cm,
einmal vor den Hinterläufen gemessen und einmal um den Nabel.
...mhhh... sie hat genau so viel zugelegt, wie bei ihrem letzten Wurf...
Noch gut drei Wochen bis zur Geburt,
so langsam werde ich kribbelig und überlege, was ich noch vorbereiten muss.
Ich freue mich so sehr auf die kleinen Fellnäschen :)
03.10.2016 - 45. Tag der Trächtigkeit
Brendy macht bei uns Urlaub :) so schön, mal wieder ein Daikakind bei uns zu haben!
Im August hat sie ihren 15. Geburtstag gefeiert. Eine richtig alte Dame!
Joe und Lilli sind ganz vorsichtig mit ihr, sie machen das prima!
Joe hat aufgehört wild zu toben, sie liegt jetzt viel auf der Seite und ruht.
Ihr Bäuchlein ist gewachsen, wir liegen jetzt bei 73/80 cm.
Bisher immer noch die gleiche Umfangsvermehrung wie bei ihrem letzten Wurf... *g*
Die Kleinen schweben jetzt an ihrer Nabelschnur wie ein
Astronaut im Weltall und bewegen sich frei in der mit Fruchtwasser gefüllten Blase.
Sie sind wunderbar stoßgesichert und behütet.
Das Fell der Joechen ist noch dünn,
die endgültige Pigmentierung ist jedoch schon fertig.
Die Ohrmuscheln sind fertig ausgeprägt und die Gesichtchen sind schon gut zu erkennen!
Ich habe gelesen, dass die Kleinen bereits im Mutterleib hecheln,
dadurch schützen sie sich schon vor der Geburt vor Überhitzung, da ihnen die Schweißdrüsen fehlen.
Wie das ohne Luft geht, ist mir aber wirklich schleierhaft!! :) :)
05.10.2016 - 47. Tag der Trächtigkeit
Wir renovieren zur Zeit unseren Kellerflur, der als Haupteingang genutzt wird.
Ich entfernte gerade den alten Bodenbelag, als ich laute Geräusche in der Wand hörte...
Habe alle zusammengerufen und wir fragten uns, welches Tier es wohl bis in eine Kellerwand schafft.
Da in unserer Wohnzimmerdecke ein großer Wespenstaat sein Unwesen treibt,
sind wir etwas hellhörig ;) Wir leben in einem Fachwerkhaus, wo so etwas immer wieder vorkommt.
Immer wieder hörten wir es.. bis ich auf die Idee kam, mal draußen nachzuschauen..
Hihi...
Es war Joe, die beim Graben ihrer Wurfhöhle bis an unsere Hauswand vorgedrungen ist.
Ein riesen Loch.. etwas Isolierung musste auch dran glauben..
Ich denke, wir werden am Wochenende die Wurfkiste aufbauen,
da kann sie es den Kleinen dort gemütlich machen :) :)
Soeben habe ich einen Termin zum Röntgen gemacht.
Heute in einer Woche (Mittwoch) wissen wir mehr :)
Da die erste Geburt von Joe schwierig war, gibt mir diese Untersuchung etwas Sicherheit.
Die Knochen der Kleinen beginnen in diesen Tagen zu verkalkten und sind dann auf einem Röntgenbild sichtbar.
Es ist zwar schwierig sie genau zu zählen, weil sie auf dem Bild alle wild durcheinander liegen.
Aber wenn man nur die Köpfchen zählt, klappt es.
Spannend :)
06.10.2016 - 48. Tag der Trächtigkeit
Joe fängt an zu schnaufen ;)
Wenn sie sich putzt oder anstrengt, muss sie hinterher mal richtig tief Luft holen..*g*
Anscheinend nehmen die Kleinen doch viel Platz weg. Sie sind jetzt über 9 cm groß!
Joes Milchleiste ist schon dick gefüllt und die Haare um die Zitzen fallen aus,
machen Platz für die kleinen Mäulchen!

♥ Joe, drei Tage alt ♥
Ich kann es kaum glauben, die Zeit vergeht plötzlich so schnell...
07.10.2016 - 49. Tag der Trächtigkeit
Heute morgen hatte ich mal richtig Zeit.
Mit einer Tasse Kaffee hab ich mich zu Joe und Lilli auf die Decke gesetzt.
So schön, alles dunkel, alles still
(..bis auf die Wespen in unserer Zimmerdecke, die proben anscheinend den Ausflug...hoffentlich!!!)
Und was glaubt ihr :O
Als ich eine Weile meine Hand auf Joes Bauch liegen hatte..
..da tritt mich doch ein Joe-chen!!!
Das ist jedes Mal sooo wunderbar ♥
Ein richtig kräftiger Tritt :)
Herrlich!
08.10.2016 - 50. Tag der Trächtigkeit
Heute in 14 Tagen sind wir entweder mit der Geburt beschäftigt oder erfreuen uns schon an den Kleinen :)
Joes Bauch wächst, 82 cm.. bei den I-Dötzchen waren es 83 cm.


Wenn wir es zeitlich schaffen, bauen wir gleich die Wurfkiste auf.
Bin gespannt was Joe dazu sagt ;)
09.10.2016 - 51. Tag der Trächtigkeit
Sie steht :)
...zum elften Mal haben wir unsere Wurfkiste in unserem Wohnzimmer aufgebaut!
Zuerst dachte ich, wir hätten unser zehntes Jubiläum.
Doch dann ist mir eingefallen, dass unser erster D-Wurf nicht mitgezählt wurde.
Unsere Annie bekam nur ein einziges Mädchen.
Dieses starb leider bei der Geburt :( und mir wurde gesagt, das wird nicht mitgezählt.
Dabei hatten wir uns auf den kleinen Schatz gefreut...
Annie schenkte uns in dem darauf folgenden, gezählten D-Wurf unsere Lilli :)

Joe findet es super, Lilli auch!
Auf dem nächsten Bild sieht man auch schön den Bauchunterschied ;)

Witzig, dass Joe drin liegt und Lilli davor... es kann losgehen ♥
10.10.2016 - 52. Tag der Trächtigkeit
Für die kleinen Joechen geht es nun in den Endspurt :)
Sie haben dreiviertel ihres Geburtsgewichtes erreicht und
ihre vollständige Körperbehaarung ist ausgeprägt.
In den letzten beiden Wochen reifen die Organe aus und sie nehmen zu...
Da sie als Nesthocker geboren werden, ist die Ausreifung mit der Geburt noch nicht beendet.
Deswegen sind die ersten beiden Lebenswochen auch besonders spannend.
Augenlider und Gehörgänge sind dann noch geschlossen.
Eine wunderbare, aber auch sensible Zeit, in der noch viel passieren kann.
Diese Tage gehören so ganz uns...
...ich verbringe jeden freien Moment (und noch mehr ;) bei der Mama und den Kleinen.
Mein Bett schlage ich vor der Wurfkiste auf.
Die Mama muss oft raus, trinkt und isst sie in dieser Zeit ja sehr viel.
Manchmal braucht sie Hilfe, wenn sich ein kleiner Vorwitz hinter ihren Rücken verirrt.
Da sie die anderen Kleinen nicht stören möchte, gibt sie einen ganz besonderen Laut von sich.
Soll heißen: "Uli guck mal, hilf mir.."
Tage und Nächte, einfach sehr intensiv und wunderbar :)

Joe mit ihrem Sohn Duke :) am 5. Lebenstag ♥
13.10.2016 - 55. Tag der Trächtigkeit
Wunderbare Neuigkeiten :)
Auf dem Röntgenbild gestern waren fünf Welpen super zu sehen und ein Welpe zu erahnen :)
Sie sind schon ganz schön groß :O
Vom Bauchumfang her, hatte ich sechs Joechen geschätzt, aber nicht zu hoffen gewagt!
Danke liebe Katja, sie hat Joe zum Arzt gefahren.
Mich hat am Montagabend ein Lagerungsschwindel ereilt, so dass ich die vergangenen Tage
gar nichts machen konnte.
Es ist schon das dritte Mal, dass sich ein Kristall in meinem Innenohr gelöst hat.
Das ist wirklich nichts schönes... :(
So musstet ihr alle auf diese Nachricht warten.. sorry..
Mir geht es etwas besser, dank vieler Übungen und Medikamenten.
Aber gut ist es noch nicht..
Dafür geht es Joe blendend :)
Und den Kleinen auch, wie ihr hier vielleicht sehen könnt:
Hab es nicht so gut hinbekommen, aber wenn ihr auf die Stelle achtet,
an der die Haare im Wirbel stehen, könnt ihr sehen, wie sie Fußball spielen :)
14.10.2016 - 56. Tag der Trächtigkeit
Die Joechen könnten ab heute lebensfähig geboren werden,
die Lunge und andere wichtige Lebensfunktionen sind geburtsbereit entwickelt.
Die Kleinen legen jetzt nur noch an Gewicht zu.
Hoffen wir, dass sie das nicht übertreiben :D sie sahen auf dem Röntgenbild schon so riesig aus!
Meist sind unsere Welpen ziemlich groß und schwer, das ist nicht so leicht für die Mama..
Aber ich habe alles parat! Alle Mittelchen, die eine Geburt unterstützen, stehen neben der Wurfkiste.
Die erste Ladung Handtücher ist frisch gewaschen.
Joe und Lilli sind frisch getrimmt, auch sie sind bereit :)
15.10.2016 - 57. Tag der Trächtigkeit
Joe geht es sehr gut, sie geht noch ganz normal spazieren, ist fröhlich und sehr verfressen :D
Einzig, wenn sie sich hinlegt... dann muss sie schon mal laut ächzen.
Der Bauch hat an der dicksten Stelle einen Umfang von 87 cm.
Das ist, glaube ich, sogar noch ein Zentimeter mehr als beim letzten Mal...
Wir zwei beobachten die Bewegungen in ihrem Bauch :D

Heute startet das drei Mal tägliche Temperatur messen.
Die normale Körpertemperatur eines Hundes liegt so um die 38,2°.
Während der Trächtigkeit beträgt die Körpertemperatur ca. 38,5 - 39,0 Grad Celsius.
Diese leichte Temperaturerhöhung wird auf die hohe Progesteronkonzentration zurückgeführt.
Progesteron ist das Hormon, welches von den weiblichen Eierstöcken nach dem Eisprung produziert wird.
Es unterstützt und erhält die Schwangerschaft/Trächtigkeit, aber es besitzt auch noch andere wichtige Funktionen.
Gegen Ende der Trächtigkeit ( 8 -10 Tage vor der Geburt ) sinkt der Progesteronspiegel,
ebenso die Temperatur auf zunächst 38,0° ab.
Aktuell heute bei Joe: 37,6° - 0,2° weniger als am gleichen Tag bei den I-Dötzchen :)
24 - 36 Stunden vor der Geburt stürzt der Progesteronspiegel nochmals steil ab.
So ist auch der Temperaturabfall 24 Stunden vor der Geburt um 1 Grad auf unter 37 Grad zu erklären.
Fast immer hatten unsere Hündinnen einen Tag vor der Geburt für eine gewisse Zeit eine
Körpertemperatur unter 37 Grad (36,7° ....manchmal sogar 36,2°)
Um diesen Zeitpunkt mitzubekommen messe ich drei Mal täglich und habe mir wieder
fest vorgenommen, total ruhig zu bleiben bis die Temperatur GANZ unten ist!
Aber bis dahin sind es ja noch einige Tage :)
16.10.2016 - 58. Tag der Trächtigkeit
Heute hatten wir einen wunderschönen Spaziergang im Sonnenschein.
Joe ist gut drauf, aber man merkt, dass sich der Bauch verändert.
Auch eine leichte Wehentätigkeit, vor allem wenn sie sich hinlegt.
Alles ganz normal.
Nun steht wirklich alles bereit.
Listen zum Eintragen der Geburtsgewichte und Zeiten,
Bienenwachs in verschiedenen Farben um die Kleinen zu markieren.
Wir tupfen einen Punkt in den Nacken der Rüden und bei den Mädels auf den hinteren Rücken.
So kann man sie gut unterscheiden :)
Leider geht es meinem Rücken/Nacken noch sehr schlecht.
Ich hoffe sehr, dass sich das in den nächsten Tagen entspannt...
Es soll kalt werden, schade!
Ich dachte, wir würden die Kleinen noch bei schönem Wetter bekommen.
Es ist unangenehm, wenn man während der Geburt mit der Mama in die Kälte/Nässe muss...
Na..dann heizen wir den Ofen richtig ein und machen es uns kuschelig :)
17.10.2016 - 59. Tag der Trächtigkeit
Das Frühstück hat Joe heute nur halb gegessen..
Aber zwischendurch geht immer etwas, ein Ei, eine Banane, ein Apfel, ein großes Stück Zucchini
oder ein Brot mit guter Butter :)
..und Joghurt, Buttermilch, Quark..
Auch beim Spazierengehen ist sie etwas langsamer geworden.
Der große Tag rückt näher!
Ihr Bauch hängt jetzt tief und die Zitzen sind voller Milch.
So witzig:
Wenn Joe liegt, schaut sie oft ungläubig auf ihren Bauch,
wenn sich die Kleinen gerade wie wild bewegen, und schaut ihnen zu.
:D :D
Sie ist sehr ruhig und entspannt. Ihre Temperatur liegt ziemlich konstant bei 37,8°
Ich denke, ich kann heute Nacht noch in meinem Bett schlafen.
Tut meinem Aua-Rücken gut!!
Bald muss ich meine Matratze packen
(..oder viel mehr: irgendjemand, denn ich bekomme momentan nichts getragen...:O )
und ins Wohnzimmer ziehen...
19.10.2016 - 61. Tag der Trächtigkeit
Sorry, ich habe es gestern nicht mehr geschafft.
Liebe Grüße bekamen wir gestern von Joes Schwester Fenja ♥

:) :)
Wir sind in den Startlöchern der Geburt.
Schon gestern war Joe sehr ruhig und wollte kein Futter mehr. Nur noch Leckereien :)
Ihre Temperatur blieb aber tagsüber konstant, nur am Abend ein leichter Abwärtstrend.
Ich bin noch krank geschrieben, ruhe viel
und die Nacken- und Rückenschmerzen beginnen abzuklingen.
Bei ihr in der Wurfkiste sitzen konnte ich bis gestern nicht, aber langsam geht es.
Das ist gut, denn heute Nacht war die erste Unruhe zu spüren.
Joe musste mal raus..
..brauchte Streicheleinheiten und hat viel gehechelt, dann wieder geschlafen.
Das ist ganz normal für die letzten Tage vor der Geburt.
Und heute Morgen der erste tiefe Wert: 36,9°
Es könnte der Startschuss sein, möglich ist aber auch ein auf und ab
über den Tag, mit letztendlich einem noch tieferem Wert. Wir werden sehen :)
20.10.2016 - 62. Tag der Trächtigkeit
Heute vor genau neun Wochen hatten Joe und Franzl ihr erstes Date :)
Joe und ich haben die vergangene Nacht durchgehechelt, die Eröffnungsphase hat begonnen.
Kurze Schlafzeiten, großer Unruhe und ein unwiderstehlicher Drang Löcher zu graben, wechseln sich ab.
Sie braucht ganz doll meine Nähe. Wir gehen viele kleine Spaziergänge, das tut gut.
Vom letzten nahm sie sich einen Tennisball aus dem Garten mit und legte ihn sich unter ihren Bauch.
Soviel wie: "So, hier ist schon mal eins....!"
Die Maus, hoffentlich wird es nicht zu schwer..
Ihre Temperatur lag schon zweimal unter 37°.
Bin gespannt, wann der wirkliche Startschuss fällt.. es kann noch dauern..
Joes Tochter Mila hat Grüße geschickt:

Dankeschön, du süße Motte :)
Ihr Lieben, ich gehe jetzt wieder zu Joe, meine Matratze liegt seit gestern neben ihrem Kuschelbett.
So kann ich auch zwischendurch schön ruhen. Sehr gut!!!
21.10.2016 - 63. Tag der Trächtigkeit
Hier eine kleine Fotostory des Tages:

Joe ging es erst noch ganz gut, sie hechelte viel und wir haben viele,viele kleine Spaziergänge gemacht.
In der Nacht zu heute ging es richtig mit Wehen los, sie brach aber immer wieder ab..
..es war auch sonst vieles anders als normal, und sie hatte große Schmerzen.
Um 03.00 Uhr beschloss ich die Tierärztin anzurufen.
In der Praxis wurde eine Infusion gelegt und sie bekam ein Wehenmittel.
Mit dieser Hilfe konnte ich das Mädchen, welches im Geburtskanal steckte, mit sehr viel Mühe auf die Welt holen.
Zu unserer Freude, war sie quitschvergnügt!

Joes Geburtswege sind soo eng, dass wir beschlossen, die anderen per Kaiserschnitt zu holen.
Wie sich unter der Geburt zeigte, die richtige Entscheidung.
Anscheinend neigen meine Hündinnen zu "Gebärmutterverdrehungen".
Denn die Lage im Bauch war so, dass die anderen Welpen wahrscheinlich gar nicht normal hätten kommen können.
Es ging ihnen schon nicht mehr so gut, es war also höchste "Eisenbahn".
Mit viel Rubbeln und absaugen, haben wir die Kleinen schnell stabilisieren können :) :)

Und so konnten wir mit einer noch fast schlafenden Joe und sechs wunderbaren Welpen nach Hause fahren.
Joe umsorgt die Lütten wieder vorbildlich :)

Die Kleinen sind sooo wunderschön!
Zwei Rüden und vier Mädels, mit Geburtsgewichten zwischen 440 g und 560 g!!

Und alle sind nun satt und zufrieden..

..und wir sind zufrieden und sooooo müde...
Ihr Lieben, hier endet mal wieder ein Tagebuch...
weiter geht es in den nächsten Tagen auf der J-Wurf-Seite :) :)
Wir werden uns erst einmal ausruhen, Joe verwöhnen und die Welpen mit tausend Schmuseeinheiten
positiv auf den Menschen prägen :D :D